Foram encontradas 1.121 questões.
A NBR 15220 - Desempenho térmico de edificações estabelece características térmicas de materiais, elementos e componentes construtivos, tais como definição, unidade e símbolo. A coluna da esquerda apresenta a grandeza física e a da direita, a definição de cada uma. Numere a coluna da direita de acordo com a da esquerda.
1 - Condutividade Térmica
2 - Transmitância térmica
3 - Calor específico
4 - Capacidade Térmica
( ) Quantidade de calor necessária para variar em uma unidade a temperatura de um sistema.
( ) Propriedade física de um material homogêneo e isótropo, no qual se verifica um fluxo de calor constante, com densidade de 1 W/m², quando submetido a um gradiente de temperatura uniforme de 1 Kelvin por metro.
( ) Quociente da capacidade térmica pela massa.
( ) Inverso da resistência térmica total.
Marque a sequência correta.
Provas
Considerando uma edificação com um telhado em duas águas, com telha cerâmica, vão a ser coberto de 5,4m e a inclinação a ser utilizada de 30%, qual a altura da cumeeira em metro?
Provas
Disciplina: Desenho Técnico e Industrial
Banca: UFMT
Orgão: Pref. Tangará Serra-MT
Segundo a NBR 6492 - Representação dos projetos de arquitetura, qual planta compreende o projeto como um todo, contendo, além do projeto de arquitetura, as informações necessárias dos projetos complementares, tais como movimento de terra, arruamento, redes hidráulica, elétrica e de drenagem, entre outros?
Provas
São consideradas rampas as superfícies de piso com declividade igual ou superior a 5 %. Para garantir que uma rampa seja acessível, são definidos na NBR 9050 - Acessibilidade à edificações, mobiliário, espaços e equipamentos urbanos os limites máximos de inclinação, os desníveis a serem vencidos e o número máximo de segmentos da mesma. Considerando uma rampa com inclinação de 8,33% e desnível máximo de cada segmento de rampa de 0,80m, qual o comprimento máximo permitido de cada lance, aproximadamente?
Provas
Analise a tabela a seguir, que apresenta resultados de uma pesquisa sobre a redução percentual do número de estreptococos do sulco gengival em diferentes tempos após antissepsia com três soluções de bochecho: a) clorexedina 0,12%; b) clorexedina 0,12% associada à limpeza com cotonete embebido com a mesma solução; c) cetilpiridíneo.
Redução percentual do número de estreptococos do sulco gengival segundo o método de antissepsia.
Tempo (minutos) | Clorexedina 0,12% bochecho | Clorexina 0,12% (bochecho + cotonete) | Cetilpiridíneo (2 bochechos) |
5 | 67,9 | 70,1 | 82,0 |
15 | 84,5 | 90,0 | 93,9 |
30 | 94,0 | 97,8 | 95,2 |
45 | 91,3 | 98,2 | 96,8 |
50 | 92,4 | 97,9 | 98,9 |
Fonte: Barros (1998) |
Qual teste estatístico é mais adequado para comparar o efeito dos antissépticos sobre a redução quantitativa de estreptococos?
Provas
Leia o seguinte caso clínico:
Paciente de 50 anos, masculino, com obesidade mórbida, hipertensão arterial, hipercolesterolemia, dor lombar crônica e resistência à insulina. Há um mês, foi submetido à cirurgia de redução do estômago. Cinco dias após a alta, retornou com dor e distensão abdominal. Exames complementares mostraram pneumoperitôneo. Foi reoperado, sendo detectada e corrigida uma fístula de uma das suturas gástricas. Evoluiu com peritonite e sepse, falecendo seis dias após a segunda cirurgia.
No preenchimento correto da declaração de óbito desse paciente, qual agravo deve constar no campo referente a outras condições significativas que contribuíram para a morte, mas não entraram na cadeia de eventos que levou à morte?
Provas
RN a termo, nascido por parto normal, apresentou deformidade craniana no osso parietal esquerdo. Foi solicitado RX de crânio. Ao ser radiografado, o raio X pegou o corpo inteiro da criança e mostrou sinais de periostite nos ossos: fêmur, úmero, ulna e fíbula.
Qual o diagnóstico e que exames devem ser solicitados para confirmação/tratamento?
Provas
Em relação à prevenção da Anemia Ferropriva, assinale a afirmativa correta.
Provas
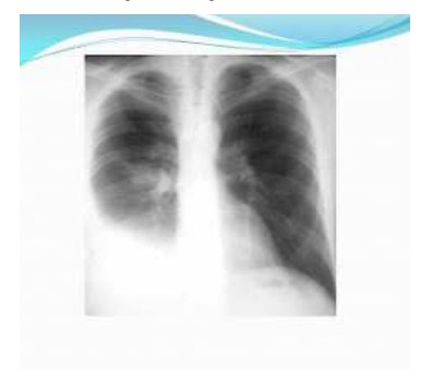
Pré-escolar de cinco anos, sexo masculino com história de febre há 3 dias, tosse produtiva apresenta-se à ausculta: diminuição do MV no hemitórax direito, principalmente em base, onde se ouve estertores crepitantes, macicez à percussão, FTV aumentado. Imagem radiológica abaixo.

Esse quadro é compatível com
Provas
INSTRUÇÃO: Leia o texto abaixo e responda às questões 46 e 47.
Pré-escolar de 05 anos de idade apresenta oligúria e hematúria há 3 dias. A revisão dos sistemas revelou apenas edema de pálpebras e pernas. Ao exame físico, ele se encontra afebril, pressão arterial de 130/90 mmHg (p95de PA/estatura/idade= 110/80), ativo, sem sinais de toxemia, edema periorbital bilateral e de membros inferiores onde se notam lesões cicatriciais de piodermite. Ausculta cardíaca e respiratória sem alterações. A Urina tipo I com densidade de 1.020, +++/4+ para eritrócitos, +/4+ para proteínas e presença de cilindros hemáticos, configurando o quadro de Síndrome Nefrítica, provavelmente pós-estreptocócica.
Qual deve ser a conduta?
Provas
Caderno Container