Foram encontradas 40 questões.
O exame da motricidade pode determinar se a clínica do paciente é decorrente de lesão piramidal e extrapiramidal. Com relação ao exame da motricidade, leia os excertos, abaixo:
I- A revelará o estado de trofismo muscular e a presença de atitudes anormais ou movimentos involuntários. As atrofias musculares acompanham a lesões do neurônio motor inferior, por exemplo.
II- A dos músculos permite avaliar a consistência muscular. Nas hipotonias observa-se consistência flácida, e o contrário acontece nas hipertonias. Nas miosites, por exemplo, os músculos podem apresentar consistência endurecida e dolorosas.
As lacunas dos itens, acima, devem ser completadas, correta e respectivamente, por:
Provas
É CORRETO afirmar que o tremor da Doença de Parkinson é, tipicamente:
Provas
Frente ao achado no exame radiográfico, o Pneumologista decide entrar com uma Quinolona. Qual dos fármacos, abaixo, foi prescrito:
Provas
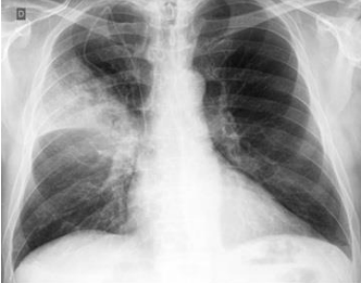
Observe a imagem, a seguir:

Podemos observar, nitidamente, nesta radiografia, um infiltrado à direita, compatível com uma consolidação lobar, o que configura:
Provas
Acetilcisteína é um fármaco indicado em pneumologia como:
Provas
Dos testes treponêmicos mais utilizados no Brasil, é considerado o teste de referência ou padrão ouro dentre os testes treponêmicos:
Provas
Na tomografia computadorizada de tórax, o clínico pode observar alguns sinais, dos quais podemos citar:
I- Bandas.
II- Cavidades de paredes finas.
III- Bronquiectasias de tração.
IV- Espessamento de paredes brônquicas.
V- Nódulos centrolobulares confluentes.
São sinais sugestivos de tuberculose ativa os citados em:
Provas
Acarbose, como hipoglicemiante oral, pelo seguinte mecanismo:
Provas
Leia a descrição, abaixo:
“Não é percebida clinicamente. Não há retenção de escórias sanguíneas e a diurese se processa normalmente. Porém, já se iniciou a insuficiência renal, sendo a fase inicial da lesão renal ainda com filtração glomerular preservada – ritmo de filtração glomerular acima de 90mL/min/1,73m2 . Só é surpreendida pela resposta deficiente ante a prova de concentração urinária que não atinge 1.030.”
https://paginas.uepa.br/eduepa/wpcontent/uploads/2019/06/MANUAL-DE-SEMIOLOGIAMEDICA.pdf
O excerto acima nos remente ao diagnóstico de:
Provas
Por velocidade de redução da pressão ventricular, a segunda bulha cardíaca pode apresentar hipofonese por:
Provas
Caderno Container