Foram encontradas 50 questões.
Disciplina: Terapia Ocupacional
Banca: CESPE / CEBRASPE
Orgão: Pref. Vitória-ES
Texto para as questões de 11 a 13

Tendo o texto como referência inicial, assinale a opção correta acerca de conceitos relativos à HND.
Provas
Uma jovem senhora, portadora de enxaqueca desde a adolescência, teve súbita cefalalgia após coito, de intensidade jamais sentida. Tomou analgésicos em sua residência, sem sucesso. Após seis horas, foi ao pronto-socorro com a finalidade de tomar analgésico intravenoso. Enquanto aguardava atendimento, a cefaléia começou a piorar e a paciente iniciou náuseas e vômitos. Ao tomar conhecimento da história da paciente, o médico clínico aferiu-lhe a pressão arterial e prescreveu-lhe anti-hipertensivo, dipirona e metoclopramida. O marido da paciente, que a acompanhava, alertou que nunca a mulher tivera sintomas tão exuberantes. A paciente começou a ficar agitada e confusa, não permitindo a avaliação física.
Tendo como base o caso hipotético acima, assinale a opção que apresenta a patologia mais provável e o procedimento mais adequado à situação.
Provas
Entre os tipos de crises epilépticas, a que tem um bom prognóstico é a
Provas
Texto para as questões 47 e 48
Uma jovem de 27 anos de idade, solteira, previamente hígida, apresentou quadro de lombalgia após ter ajudado a transportar sua avó que sofrera um derrame. No dia seguinte ao do sintoma, além da dor, a jovem sentiu fraqueza em membros inferiores e dificuldade para urinar. Ao ser examinada por um clínico, verificaram-se ausência de sensibilidade da cicatriz umbilical para baixo, arreflexia em membros inferiores e reflexos cutâneo-plantares ausentes. A paciente era recém-chegada do interior de Minas Gerais, região onde a esquistossomose e cisticercose são endêmicas. O hemograma da paciente apresentou 20% de eosinófilos.
De acordo com as informações relacionadas ao exame clínico apresentado nessa situação hipotética, estaria correta a solicitação de exame complementar de
Provas
Texto para as questões 47 e 48
Uma jovem de 27 anos de idade, solteira, previamente hígida, apresentou quadro de lombalgia após ter ajudado a transportar sua avó que sofrera um derrame. No dia seguinte ao do sintoma, além da dor, a jovem sentiu fraqueza em membros inferiores e dificuldade para urinar. Ao ser examinada por um clínico, verificaram-se ausência de sensibilidade da cicatriz umbilical para baixo, arreflexia em membros inferiores e reflexos cutâneo-plantares ausentes. A paciente era recém-chegada do interior de Minas Gerais, região onde a esquistossomose e cisticercose são endêmicas. O hemograma da paciente apresentou 20% de eosinófilos.
Nesse caso hipotético, o diagnóstico mais provável da patologia apresentada pela paciente é
Provas
Paciente com patologia medular com envolvimento de região central apresenta alteração neurológica do tipo
Provas
Um paciente com idade de 63 anos, em tratamento para tumor de pulmão, apresentou, em uma das sessões de quimioterapia, quadro de vômitos incoercível. Após vários episódios e medicações sintomáticas, foi suspenso o tratamento oncológico e iniciada hidratação parenteral com solução glicosada. Depois de persistência dos vômitos, foi colhido sangue para avaliar distúrbio metabólico. Com a constatação de hiponatremia (100 mEq/L ) e hipocalemia (2,8 mEq/L), foi feita a correção imediata do sódio e do potássio, que subiram para 155 e 5,1, respectivamente. Foi remitido o quadro de êmese, porém iniciou-se quadro de fraqueza muscular e dificuldade de fala e deglutição. O paciente foi internado e, após alguns dias, encontrava-se disártrico, com nistagmo ao olhar horizontal, humor depressivo e fraqueza muscular nos quatro membros.
Com relação ao caso hipotético acima, o diagnóstico mais provável é de
Provas
Entre as causas de mononeuropatia múltipla, não se inclui
Provas
Um paciente de 43 anos de idade, com queixa de fraqueza muscular, após tomar vitaminas e chás diversos, resolve procurar ajuda médica e visita de imediato um neurologista. Durante a consulta, o paciente vai três vezes ao banheiro. Ao ser questionado pelo médico sobre esse fato, ele informa que vem tomando comprimidos de furosemida (dois por dia) para fazer os membros inferiores "desincharem". Relata ainda o paciente que ele também faz uso de hidroclorotiazida, segundo ele,"remédio para pressão alta". Conforme relato do paciente, as medicações foram indicadas por um vizinho que trabalha como atendente em uma farmácia. Ao exame físico, é verificado sutil hiporreflexia e diminuição de força proximal, principalmente em membros inferiores.
Considerando-se o quadro clínico apresentado acima, o diagnóstico mais provável é
Provas

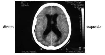
Uma professora de 21 anos de idade apresentou crise convulsiva na fazenda onde dava aulas e, por falta de transporte, somente após quatro horas foi levada ao hospital geral. Ao chegar ao hospital apresentava a seguinte pontuação na escala de coma de glasgow: resposta visual — 3/4, verbal — 3/5 e motora — 4/6. A família revelou que a paciente estava cada vez mais sonolenta e negou sintomas, tais como febre, cefaléia, náuseas, vômitos ou crises epilépticas prévios ao quadro. Foi realizada tomografia de crânio, cujo resultado é mostrado na figura acima, mas não havia neurologista no hospital naquele momento.
No caso hipotético apresentado, a conduta mais prudente consistiria em
Provas
Caderno Container