Foram encontradas 100 questões.
Provas
Provas
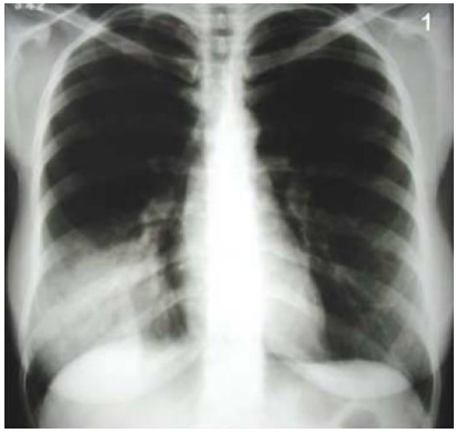
Mulher, 70 anos, é trazida por familiares à emergência com história de cinco dias de tosse seca e três dias de queda do apetite e apatia intensa. Tem história de insuficiência cardíaca congestiva. Apresenta-se alerta, sem taquidispneia e SpO2: 96% em ar ambiente. Normotensa e afebril. Ausculta cardíaca com ritmo regular em 2 tempos e Fc: 90 bpm. Ausculta respiratória com crepitações bibasais mais intensas, à direita. O hemograma não mostra anemia, nem plaquetopenia e leucograma com 12.000/mm3 sem desvios. Proteína C reativa 6,0 (normal até 0,5), Glicemia 110 mg/dl, Ureia de 40 mg/dl , Creatinina 0,8 mg/dl, Sódio 133 mEq/L, Potássio 3,9 mEq/L Swab nasal com painel viral negativo (SARS-Cov 2, Influenza, VSR e Rinovírus). A radiografia de tórax em PA é mostrada na figura abaixo.

Neste contexto, e considerando o diagnóstico mais provável, a abordagem de escolha para essa paciente seria:
Provas
Provas
Mulher, 56 anos, hipertensa e diabética chegou na emergência referindo palpitação e taquicardia há 3 dias. Refere episódios semelhantes, esporadicamente, que costumam melhorar espontaneamente, porém o episódio atual não melhorou, procurando então a emergência. Chegou com pressão arterial = 120 x 80 mmHg, frequência cardíaca = 140 batimentos por minuto e o eletrocardiograma está abaixo.

Conferir figura correspondente com melhor resolução no anexo (FIGURA 2)
Qual é a melhor conduta para essa paciente?
Provas
Mulher, 24 anos, diagnóstico de diabetes mellitus tipo 1 aos 10 anos, em uso de insulina e losartana 50 mg/dia, e diagnóstico de lúpus eritematoso sistêmico aos 20 anos, em uso de hidroxicloroquina 400 mg/dia, prednisona 5 mg/dia, e vitamina D3 1000UI/dia, relata há 4 meses apresentar turvação visual, fadiga, dispneia aos médios esforços e ganho de peso. Ao exame: anasarca e PA 150 x 80 mmHg. Exames complementares: hemograma, PCR, TGO, TGP, TP: normais; VHS 28 mm/h (VR 20 mm na 1 hora); Cr 1.5 mg/dl (VR 1,2 mg/dl); Ur 60 mg/dl (VR 15-45 mg/dl); albumina 3.0 mg/dl (VR 3.5-4mg/dl); Hb Glicada 6.6%; Colesterol total 250mg/dl (VR < 200mg/dl), LDL 140mg/dl (VR< 100 mg/dl); Triglicerídeos 300 (VR< 150 mg/dl); SU: proteína 4+; proteinúria em 24h: 4g/24h; fator antinúcleo reagente 1:160 padrão pontilhado fino denso. Sorologias HIV, antiHBsAg, anti-HCV e VDRL: negativas.
Que alteração na investigação complementar confirmaria o diagnóstico mais provável?
Provas
Provas
Provas
Considere o caso clínico abaixo e os personagens nele ilustrados, para responder à questão.
Após ser aprovado e ingressar no Programa de Residência Médica em Medicina de Família e Comunidade, você é direcionado para uma Unidade de Atenção Primária à Saúde (UAPS) para ser recebido pelo médico preceptor da Unidade. Em sua primeira participação de reunião de equipe, uma das agentes comunitárias de saúde (ACS) da equipe do médico preceptor traz o relato de uma gestante de sua microárea que não procurou a Unidade de Saúde para começar o pré-natal. A gestante era Vanessa e ela era antiga conhecida da equipe, porque seu finado pai, Seu Odair, fora uma liderança comunitária e era muito querido por todos. Vanessa tinha a primeira consulta de pré-natal agendada para o primeiro horário depois da reunião de equipe. Dr. Marcos Júlio, seu preceptor, relata que Vanessa nunca teve boa relação com os pais e saiu de casa cedo, passando a morar, aos 14 anos, na casa de Ubiratan, seu primeiro parceiro. Após alguns anos morando juntos, Vanessa engravidou e chegou a ser acompanhada pela UAPS no pré-natal, mas teve perda gravídica com aproximadamente 12 semanas de seguimento. Durante esse acompanhamento pré-natal, a equipe ficou ciente de que Vanessa vivia em contexto de violência doméstica, mas continuava vivendo com Ubiratan, porque não aceitava voltar para a casa dos pais. Por volta de seus 24 anos, Vanessa teve episódio de hemiplegia desproporcional em dimídio esquerdo, desvio de rima labial e disartria, enquanto trabalhava em uma casa como diarista. Foi levada à urgência e hospitalizada. Durante hospitalização, confirmou-se um infarto cerebral. A família de Vanessa possui histórico de AVCs em idades precoces: Vanusa apresentou episódio de AVC durante uma de suas gestações e dona Benzarina teria apresentado o primeiro AVC antes da menopausa. Segundo a Assistente Social do hospital em que Vanessa ficou internada por quase dois meses, Ubiratan nunca teria realizado uma visita, mas Edberto, um ex-namorado, foi companhia assídua. Após a alta hospitalar, Vanessa descobriu que Ubiratan estava vivendo com outra mulher e se mudou para casa de Edberto, que a acolheu, a despeito da não-aceitação do pai de Edberto, Seu Eduardo. Depois de seis anos morando juntos, Vanessa engravidou novamente, mas não procurou a UAPS. A ACS fazia visitas domiciliares na mesma rua em que Edberto e Vanessa moram, quando viu Vanessa, já com barriga gravídica, varrendo a calçada. Após breve conversa, a ACS agenda atendimento para Vanessa na UAPS.
Provas
Provas
Caderno Container