Foram encontradas 1.568 questões.

A respeito do artefato mostrado na figura acima pode-se dizer que:
Provas
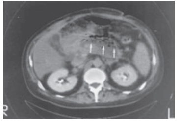
Paciente internado no CTI com pancreatite aguda apresenta piora do quadro e necessita de instalação de aminas vasopressoras. Solicitada uma tomografia abdominal do paciente, a imagem é a seguinte:

A conduta a ser seguida é:
Provas
Os fenômenos retratados abaixo são manifestações características do seguinte quadro infeccioso:

Provas
Os eletrocardiogramas abaixo representam, respectivamente, as seguintes alterações eletrolíticas:

Provas
Um paciente de 48 anos foi admitido na UTI com história de uma forte gripe até uma semana atrás. Apresentava síndrome febril, tosse, dispnéia; há uma hora, apresentou hipotensão arterial. Baseado na história e na imagem, podemos afirmar o diagnóstico de:

Provas
O conjunto de imagens abaixo representa o diagnóstico de:

Provas
O cálculo do ânion gap AG = Na+ – X. Então, X corresponde a:
Provas
Entre as recomendações baseadas em estudos randomizados para a prevenção de infecções relacionadas a cateteres intravasculares, encontra-se:
Provas
A respeito das heparinas de baixo peso molecular, é correto afirmar que:
Provas
Paciente na UTI em pós-operatório de cirurgia urológica (prostatectomia radical) apresenta quadro de dor torácica em região pré-cordial. O plantonista ordena a realização de um eletrocardiograma, que revela elevação difusa do segmento ST e depressão do segmento PR. O contorno da elevação é côncavo, assim como o segmento de repolarização, precoce. O provável diagnóstico é:
Provas
Caderno Container