Foram encontradas 2.076 questões.
Provas
Há dois meses, um escolar apresenta interrupções bruscas de suas atividades rotineiras, piscando as pálpebras repetidamente, em episódios que duram aproximadamente trinta segundos. Nessas ocasiões, ele fica com o olhar vago e não responde às solicitações.
Tendo como referência esse caso clínico, julgue o item abaixo.
Provas
Uma criança de quatro anos de idade foi levada à consulta ambulatorial devido à preocupação dos pais com a ingesta excessiva de água e alimento pela criança, que apresentava intensa diurese e baixo ganho de peso. O médico solicitou um exame de glicemia de jejum, cujo resultado foi de 110 mg/dL. Em seguida, o médico solicitou um teste oral de tolerância à glicose, cujo resultado mostrou, duas horas após a sobrecarga de glicose, glicemia igual a 170 mg/dL.
Considerando esse caso clínico, julgue o item seguinte.
Provas
A mãe de um lactente de sete meses de idade queixa-se de que, desde que, há cerca de um mês, iniciou a alimentação complementar ao aleitamento materno — papa de frutas e legumes, e leite de vaca —, a criança passou a apresentar vômitos e diarreia com rajas de sangue. No exame físico, o médico observou peso/idade no escore Z !1; bom estado geral, hidratado, corado; e eritema descamativo em couro cabeludo e face.
Com referência ao caso clínico acima apresentado, julgue o próximo item.
Provas
Um menino de cinco anos de idade, nascido vigoroso de parto vaginal, de termo, foi levado a uma consulta com oftalmologista devido a um desvio do olho esquerdo identificado por sua mãe havia dois meses. Na consulta, o médico constatou estrabismo com esotropia e leucocoria à esquerda.
Com base no caso clínico acima apresentado, julgue o item abaixo.
Provas
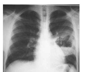
Um menino de quatro anos de idade, morador de uma instituição de apoio a menores abandonados, foi levado a uma emergência pediátrica com história de febre alta havia três dias. Nesse período, o quadro clínico evoluiu para dificuldade respiratória e gemência. No exame físico da criança, foram constatados, além de febre e dificuldade respiratória, palidez, aspecto toxêmico, sinais de desidratação e uma lesão pustulosa tensa no membro inferior direito. A radiografia de tórax do paciente apresentou o seguinte aspecto.

Nesse caso, a criança deverá receber tratamento específico à base de oxacilina.
Provas
Um lactente de um mês de idade, nascido de parto vaginal, apresentava tosse seca havia uma semana. O exame físico do bebê constatou temperatura axilar de 37 ºC, hiperemia, edema e secreção serosa em conjuntivas, leve taquipneia e murmúrio vesicular rude com creptações disseminadas à ausculta pulmonar. Foi realizada radiografia do tórax, conforme ilustrado a seguir.

Nesse caso, o diagnóstico mais provável é pneumonia por Chlamydia trachomatis, e o tratamento do paciente deve ser realizado com azitromicina, na dose de 30 mg/kg por cinco dias.
Provas
Provas
Considere o seguinte caso clínico.
O exame de VDRL de uma parturiente no período pós-parto foi positivo. A paciente reportou que havia tido sífilis sete anos atrás, tendo feito tratamento conforme recomendação médica; informou, ainda, que, após doze meses, o resultado do VDRL tinha sido positivo 1/2 e que, na gestação atual, ela não havia feito testagem para sífilis. O teste treponêmico e o TPHA da parturiente feitos após o exame de VDRL pós-parto foram positivos. No recém-nascido, o teste treponêmico e o TPHA foram positivos, e o VDRL positivo 1/1.
No caso clínico descrito, o médico deverá concluir que o recém-nascido está infectado; portanto, o profissional procederá à coleta de líquido cefalorraquidiano para exame, incluindo o VDRL, realizará radiografia de ossos longos, e iniciará tratamento do bebê com penicilina cristalina na dose de 100.000 UI/kg/dia durante dez dias.
Provas
Provas
Caderno Container