Foram encontradas 395 questões.
Certo médico é chamado para avaliar paciente do sexo feminino, obesa, 33 anos de idade, internada no box de emergência por dispneia que não melhora, apesar da oferta suplementar sob máscara de venturi. A paciente encontra-se taquidispneica. Ela manifestou febre com calafrios nos últimos dias. A ausculta pulmonar dela é típica, sem ruídos adventícios. A paciente tem saturação arterial de oxigênio de 92% com curva de oximetria segundo padrão da figura apresentada. O plantonista anterior foi obrigado a canular acesso venoso central por dificuldade de obtenção de acesso venoso periférico nela e aproveitou para colher exame de gasometria. A gasometria arterial mostra pH = 7,20 com PCO2 = 30, SO2 = 92%, BE = -7 e lactato = 4 mmol. A gasometria venosa (do acesso central) mostra pH = 7,15 com PCO2 = 20, SO2 = 60% e BE = -8.

Nesse caso hipotético, o provável diagnóstico é
Provas
Provas

Disponível em: <http://www.radiopaedia.org/>. Acesso em: 20 maio 2018.
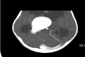
Um lactente de 3 meses de vida é encaminhado para atendimento em razão de aumento do perímetro cefálico (PC). A mãe não havia realizado pré-natal, mas nega uso de substâncias ou processos infecciosos durante a gestação. A criança foi encaminhada para avaliação cardiológica em razão de sopro cardíaco. Ao exame, percebe-se taquipneia leve, PC superior a 2 desvios-padrão, ausência de dismorfismos faciais e fontanela anterior aberta e abaulada. Tônus e trofismo estão preservados, e o paciente eleva os quatro membros contra a gravidade e tem reflexos normoativos. A tomografia de crânio é apresentada na figura. A respeito das informações apresentadas, qual é o diagnóstico para esse paciente?Provas
Provas
Chega a 40 o número de casos de sarampo
confirmados em Roraima
(26/3/2018) Chegou a 40 o número de casos de sarampo confirmados em Roraima, informou, nessa segunda-feira (26), a Secretaria Estadual de Saúde do estado. [...] Exames da Fiocruz já comprovaram que o vírus do sarampo em circulação em Roraima é importado da Venezuela, segundo a Secretaria de Saúde de Roraima. A maior parte dos diagnosticados e com suspeita da doença são crianças venezuelanas. Desde 2015, o estado recebe um número crescente de imigrantes venezuelanos. Muitos vêm em busca de atendimento médico, o que acaba por sobrecarregar o sistema de saúde em Roraima, que decretou situação de emergência no final de 2017.
COSTA, Emily. Disponível em:<https://g1.globo.com/rr/roraima/noticia/chega-a40-o-numero-de-casos-de-sarampo-confirmados-em-roraima.ghtml> . Acesso em: 20 abr. 2018 (fragmento), com adaptações.
Considerando as informações do texto, quanto ao princípio, diretriz do Sistema Único de Saúde, que garante vacina gratuita à população em todo o território nacional, assinale a alternativa correta.
Provas
Provas
Provas
Provas
Provas
Provas
Caderno Container