Foram encontradas 732 questões.
Um paciente de 81 anos de idade foi admitido na emergência
com fibrilação atrial não valvular. Relatou história prévia de
diabetes tipo 2, hipertensão, dislipidemia e DRC G5 (com
base em uma TFGe de 12 mL/min/1,73 m²). O paciente tinha
uma pontuação CHA2DS2-VASC de 3, e a anticoagulação
foi considerada para reduzir o risco de acidente vascular
cerebral futuro. Com base na história relatada, assinale a
alternativa que indica o anticoagulante oral que corresponde
à melhor recomendação para esse paciente.
Provas
Questão presente nas seguintes provas
Uma paciente de 27 anos de idade compareceu à consulta de
rotina queixando-se de ardor ao urinar, há três dias, com
aumento da frequência urinária e desconforto na parte
inferior do abdome. Ela relatou ter tido os mesmos sintomas
há um ano, e ter sido tratada para ITU. A paciente é
saudável, não toma medicamentos, e sua última menstruação
foi há duas semanas. Qual é a melhor conduta no tratamento
dessa paciente?
Provas
Questão presente nas seguintes provas
Caso clínico para responder à questão.
Uma paciente de 17 anos de idade foi internada durante a
pandemia da Covid-19. Sete dias antes da admissão, Ela
iniciou febre e tosse produtiva com escarro claro,
vermelhidão nos olhos, dor de garganta, congestão nasal,
rinorreia e mialgias. Dois dias após a admissão, a paciente
piorou com desconforto respiratório e escarro com manchas
de sangue. Os testes rápidos de antígeno para influenza A e B
e Covid-19 foram negativos. A tosse piorava com esforço e
respiração profunda, associada a dores no peito e nas costas.
Outros sintomas incluíam fadiga e dor em ambos os joelhos
ao caminhar. A paciente apresentava crescimento e
desenvolvimento normais e havia recebido todas as vacinas
infantis de rotina. Estava em tratamento apenas dos sintomas,
e não havia alergias medicamentosas conhecidas. Era
vegetariana, não bebia álcool, não fumava tabaco e nem
usava drogas ilícitas. Tinha pais e irmão saudáveis. A família
estava seguindo as recomendações de isolamento social. Ao
exame físico, apresentou-se febril, com FC = 124 bpm, PA =
142 mmHg x 62 mmHg, FR = 30 rpm e saturação de
oxigênio = 90% em ar ambiente. Os exames realizados
apresentaram creatinina = 2,00 mg/dL, proteína C reativa =
77,5 mg/L, hemoglobina = 6,7 g/dL, leucócitos = 11.890 e
plaquetas = 526.000. O EAS revelou 3+ sangue e 2+
proteína; com mais de 100 glóbulos vermelhos e 20 glóbulos
brancos por campo de grande aumento.
Provas
Questão presente nas seguintes provas
Caso clínico para responder à questão.
Uma paciente de 17 anos de idade foi internada durante a
pandemia da Covid-19. Sete dias antes da admissão, Ela
iniciou febre e tosse produtiva com escarro claro,
vermelhidão nos olhos, dor de garganta, congestão nasal,
rinorreia e mialgias. Dois dias após a admissão, a paciente
piorou com desconforto respiratório e escarro com manchas
de sangue. Os testes rápidos de antígeno para influenza A e B
e Covid-19 foram negativos. A tosse piorava com esforço e
respiração profunda, associada a dores no peito e nas costas.
Outros sintomas incluíam fadiga e dor em ambos os joelhos
ao caminhar. A paciente apresentava crescimento e
desenvolvimento normais e havia recebido todas as vacinas
infantis de rotina. Estava em tratamento apenas dos sintomas,
e não havia alergias medicamentosas conhecidas. Era
vegetariana, não bebia álcool, não fumava tabaco e nem
usava drogas ilícitas. Tinha pais e irmão saudáveis. A família
estava seguindo as recomendações de isolamento social. Ao
exame físico, apresentou-se febril, com FC = 124 bpm, PA =
142 mmHg x 62 mmHg, FR = 30 rpm e saturação de
oxigênio = 90% em ar ambiente. Os exames realizados
apresentaram creatinina = 2,00 mg/dL, proteína C reativa =
77,5 mg/L, hemoglobina = 6,7 g/dL, leucócitos = 11.890 e
plaquetas = 526.000. O EAS revelou 3+ sangue e 2+
proteína; com mais de 100 glóbulos vermelhos e 20 glóbulos
brancos por campo de grande aumento.
Provas
Questão presente nas seguintes provas
Uma paciente de 42 anos de idade, com peso = 50 kg, fadiga
e dor de cabeça há duas semanas foi admitida na emergência
com confusão mental e erupção cutânea petequial difusa, FC
= 115 bpm e PA = 120 mmHg x 65 mmHg. Os resultados
dos exames laboratoriais revelaram anemia, com hematócrito
= 20%, plaquetopenia = 12.000, creatinina sérica = 1,6
mg/dL (basal de 0,8 mg/dL), DHL = 2.100 U/mL e
haptoglobina < 6 mg/dL. Um esfregaço de sangue periférico
mostrou 15% de esquistócitos. A plasmaférese foi indicada
para tratamento de provável púrpura trombocitopênica
trombótica enquanto se aguardava o resultado da atividade
ADAMTS13. Qual é o volume plasmático estimado a ser
trocado, e qual o fluido de substituição a ser utilizado
respectivamente?
Provas
Questão presente nas seguintes provas
Uma paciente de 30 anos de idade, portadora de nefropatia
membranosa primária confirmada por biópsia renal, com
nível de anti-PLA2R de 185 UR/mL (VR menor que 14
UR/mL). Na consulta de retorno de seis meses, os exames
laboratoriais mostram creatinina sérica de 1,1 mg/dL,
albumina sérica de 2,8 g/dL e proteínúria de 8,6 g na urina
de 24 horas. Sua pressão arterial está controlada em 130
mmHg x 78 mmHg em uso de 100 mg de losartana. A nova
dosagem de anti-PLA2R foi de 312 UR/mL. Qual é a
conduta recomendada para o caso?
Provas
Questão presente nas seguintes provas
Caso clínico para responder à questão.
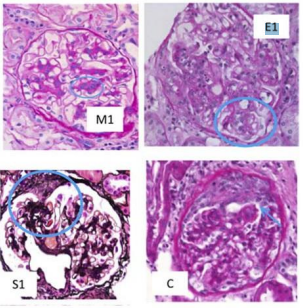
Um paciente de 32 anos de idade foi diagnosticado,
recentemente, com hipertensão de diagnóstico (PA =
160 mmHg x 90 mmHg) e hematúria microscópica repetida e
confirmada. Exames complementares revelaram creatinina
sérica = 1,0 mg/dL e proteinúria na urina de 24 horas =
650 mg. Ele foi submetido a biópsia renal, segundo a figura
apresentada, que confirmou o diagnóstico de nefropatia por
IgA com pontuação MEST-C M1, E1, S1, T1, С.
Provas
Questão presente nas seguintes provas
Caso clínico para responder à questão.
Um paciente de 32 anos de idade foi diagnosticado,
recentemente, com hipertensão de diagnóstico (PA =
160 mmHg x 90 mmHg) e hematúria microscópica repetida e
confirmada. Exames complementares revelaram creatinina
sérica = 1,0 mg/dL e proteinúria na urina de 24 horas =
650 mg. Ele foi submetido a biópsia renal, segundo a figura
apresentada, que confirmou o diagnóstico de nefropatia por
IgA com pontuação MEST-C M1, E1, S1, T1, С.
Provas
Questão presente nas seguintes provas
A intoxicação por alumínio é uma complicação que pode
causar neurotoxicidade grave e pode se manifestar de
diversas maneiras, por exemplo, crises convulsivas,
mioclonias e encefalopatia. Além da otimização da terapia
dialítica, o tratamento inclui a (o)
Provas
Questão presente nas seguintes provas
Caso clínico para responder à questão.
Durante um turno de hemodiálise, uma paciente apresentou
dor abdominal intensa de início súbito, náuseas, vômitos e
hipertensão. Ao avaliar o dialisador, notou-se sangue
vermelho vivo, sem ruptura das fibras capilares. Então, a
sessão de diálise foi encerrada e os exames demonstraram
queda importante da hemoglobina de 11 g/dL para 6g/dL e
potássio = 6,5mg/dL.
Provas
Questão presente nas seguintes provas
Cadernos
Caderno Container