Foram encontradas 49 questões.
De acordo com o achado da angiografia abaixo, assinale a alternativa CORRETA.

Fonte da Imagem: cedida pelo autor
Provas
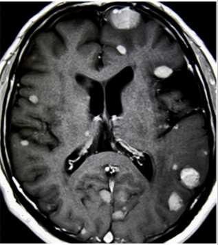
Caso clínico 4 para a questão 29.
S.S.A, 50 anos, sexo masculino, procedente de Palmares-PE, vai ao ambulatório de neurocirurgia, encaminhado pela oncologia. Relata perda de peso (14Kg) e alguns episódios de crise convulsiva. É etilista e tabagista. Ao exame: consciente, orientado e com motricidade preservada. Trouxe imagens de RM do encéfalo com contraste.

Sobre as metástases cerebrais, assinale a alternativa INCORRETA.
Provas
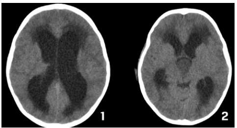
Caso clínico 3 para as questões 27 e 28.
Criança feminina, 04 anos, é encaminhada de Unidade de Pronto Atendimento (UPA) de Olinda-PE com história de cefaleia acompanhada de vômitos, inapetência e sonolência há 03 dias, sendo solicitado parecer da neurocirurgia. Ao exame: ECG Pediátrica de 13 (Resposta Ocular = 3 + Resposta Verbal = 4 + Resposta Motora = 6), isocórica e RFM lentificado bilateralmente, mobilizando todos os membros e reflexos presentes e simétricos.
Seguem, abaixo, as imagens de TC de crânio sem e com contraste da paciente, com índice de Evans de 0,41.


Pelas imagens mostradas, qual o mais provável diagnóstico e o objetivo do tratamento para a paciente?
Provas
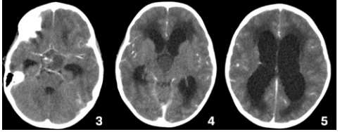
Caso clínico 3 para as questões 27 e 28.
Criança feminina, 04 anos, é encaminhada de Unidade de Pronto Atendimento (UPA) de Olinda-PE com história de cefaleia acompanhada de vômitos, inapetência e sonolência há 03 dias, sendo solicitado parecer da neurocirurgia. Ao exame: ECG Pediátrica de 13 (Resposta Ocular = 3 + Resposta Verbal = 4 + Resposta Motora = 6), isocórica e RFM lentificado bilateralmente, mobilizando todos os membros e reflexos presentes e simétricos.
Seguem, abaixo, as imagens de TC de crânio sem e com contraste da paciente, com índice de Evans de 0,41.


Como se calcula o índice de Evans que foi de 0,41 e o que se fazer pela urgência nesse caso, respectivamente?
Provas
Caso Clínico 1 para as questões 21, 22, 23 e 24.
Paciente, 35 anos, sexo masculino, procedente de Recife-PE, é admitido em unidade de trauma, com história de agressão física por arma de fogo há 30 min. Veio trazido por policiais e sem profissional de saúde. Estava hipocorado, hipotérmico e possuía múltiplos orifícios de entrada de projétil de arma de fogo (PAF) em tórax, entrada e saída em região cervical e entrada em zigoma esquerdo. Apresentou parada cardiorrespiratória (PCR), revertida após 03 ciclos de reanimação cardiopulmonar, incluindo entubação orotraqueal sem sedação, expansão volêmica e drenagem torácica bilateral. Logo em seguida, após melhora hemodinâmica, não tinha abertura ocular e não tinha resposta motora, e pupilas estavam médio-fixas. De exame de imagem, fez apenas tomografia computadorizada (TC) de crânio.


Para o caso clínico mencionado acima, devem estar presentes os seguintes pré-requisitos para abertura de Protocolo de ME:
Provas
Paciente do sexo feminino de 44 anos com diagnóstico de meningioma de asa de esfenóide foi submetida a procedimento de embolização pré-operatória. Em sala de recuperação pós-anestésica fora observada uma assimetria facial sugestiva de paralisia facial periférica à direita.
Diante do caso supracitado, qual ramo arterial pode ter sido embolizado de maneira iatrogênica:
Provas
Um paciente com diagnóstico de aneurisma gigante de segmento cavernoso de artéria carótida interna esquerda foi submetido à angiografia cerebral com teste de oclusão de carótida. Sobre isso, assinale a alternativa CORRETA.
Provas
A onda espectral arterial normal é multifásica. Sobre isso, assinale a alternativa CORRETA.
Provas
O exame de ecografia vascular das carótidas é amplamente realizado para diagnóstico de aterosclerose carotídea e avaliação de risco cardiológico.
Assinale a alternativa que contém o sinal patognomônico de que estamos insonando a carótida externa.
Provas
Masculino, 25 anos, vítima de acidente automobilístico, deu entrada na emergência com alargamento de mediastino. Levantou-se a hipótese de ruptura parcial da aorta, com dissecção e hematoma mural.
Qual o segmento mais comumente acometido por essa situação?
Provas
Caderno Container