Foram encontradas 120 questões.
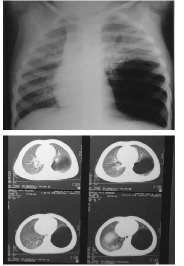
Um paciente de 6 anos de idade, com história de dispneia progressiva, principalmente após atividade física, apresenta tosse seca não incomodativa. Foi realizada radiografia de tórax seguida de tomografia, reproduzidas abaixo.

A respeito da situação apresentada, julgue os itens a seguir.
Provas
Um paciente de 6 anos de idade, com história de dispneia progressiva, principalmente após atividade física, apresenta tosse seca não incomodativa. Foi realizada radiografia de tórax seguida de tomografia, reproduzidas abaixo.

A respeito da situação apresentada, julgue os itens a seguir.
Provas
Um paciente de 6 anos de idade, com história de dispneia progressiva, principalmente após atividade física, apresenta tosse seca não incomodativa. Foi realizada radiografia de tórax seguida de tomografia, reproduzidas abaixo.

A respeito da situação apresentada, julgue os itens a seguir.
Provas
Um paciente de 6 anos de idade, com história de dispneia progressiva, principalmente após atividade física, apresenta tosse seca não incomodativa. Foi realizada radiografia de tórax seguida de tomografia, reproduzidas abaixo.

A respeito da situação apresentada, julgue os itens a seguir.
Provas
Um paciente de 6 anos de idade, com história de dispneia progressiva, principalmente após atividade física, apresenta tosse seca não incomodativa. Foi realizada radiografia de tórax seguida de tomografia, reproduzidas abaixo.

A respeito da situação apresentada, julgue os itens a seguir.
Provas
Provas
Provas
Provas
Provas
Provas
Caderno Container