Foram encontradas 50 questões.
Um paciente jovem, de 15 anos de idade, sem
antecedentes patológicos conhecidos, compareceu ao
pronto-socorro com mal-estar, dor abdominal, náuseas,
poliúria e polidipsia. Na admissão, foi visto pH 7,1; BIC 12;
glicemia 550; potássio 3,7; corpos cetônicos presentes na
urina tipo 1 (3+); e sódio 142.
Com base nessa situação hipotética, assinale a alternativa correta.
Com base nessa situação hipotética, assinale a alternativa correta.
Provas
Questão presente nas seguintes provas
Um homem de 45 anos de idade, tabagista com
30 anos/maço e hipertenso, foi ao pronto-socorro e
relatou desconforto precordial de início há algumas horas,
inespecífico. Não soube informar fatores de melhora ou
de piora, sem irradiações. Foi realizado eletrocardiograma,
mostrado a seguir.

Provas
Questão presente nas seguintes provas
Um homem de 45 anos de idade, tabagista com
30 anos/maço e hipertenso, foi ao pronto-socorro e
relatou desconforto precordial de início há algumas horas,
inespecífico. Não soube informar fatores de melhora ou
de piora, sem irradiações. Foi realizado eletrocardiograma,
mostrado a seguir.

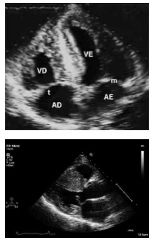
Com base na situação hipotética apresentada e nas
imagens resultantes da realização do POCUS, assinale a
alternativa correta.Provas
Questão presente nas seguintes provas
Um homem de 45 anos de idade, tabagista com
30 anos/maço e hipertenso, foi ao pronto-socorro e
relatou desconforto precordial de início há algumas horas,
inespecífico. Não soube informar fatores de melhora ou
de piora, sem irradiações. Foi realizado eletrocardiograma,
mostrado a seguir.

Provas
Questão presente nas seguintes provas
Um paciente de 47 anos de idade, DRC dialítico,
compareceu à consulta com Hb 8,7, assintomático, sem
exteriorizações, anemia hipocrômica e microcítica, RDW
aumentado e reticulócitos totais de 32.000.
Com base nessa situação hipotética, assinale a alternativa correta.
Com base nessa situação hipotética, assinale a alternativa correta.
Provas
Questão presente nas seguintes provas
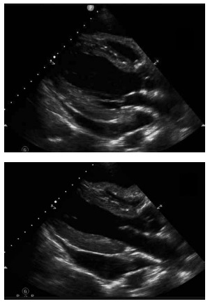
Um paciente de 41 anos de idade, hipertenso,
em uso de losartana, com queixa de dispneia durante os
esforços e desconforto precordial inespecífico nas últimas
semanas. Seguem imagens do ecocardiograma a seguir.
Com base nessa situação hipotética e nas imagens acima, assinale a alternativa que apresenta a etiologia adequada do quadro.
Com base nessa situação hipotética e nas imagens acima, assinale a alternativa que apresenta a etiologia adequada do quadro.
Provas
Questão presente nas seguintes provas
Um paciente de 17 anos de idade, com antecedente
de hipotireoidismo, em uso de levotiroxina, compareceu
ao consultório médico com queixa de mal-estar, de leve
desconforto abdominal, de diarreia e de fraqueza há seis
meses, de caráter intermitente. O jovem relatou cansaço
associado e ter passado em consulta na unidade básica
de saúde (UBS), onde foi diagnosticado com ferropenia e
vem fazendo uso de reposição oral de ferro, porém sem
melhora significativa. Relatou, ainda, consultas prévias com
dermatologista, com lesões cutâneas inicialmente pápulas
avermelhadas e, posteriormente, vesículas nas regiões do
cotovelo. A diarreia ocorria em poucos episódios durante
o dia, todavia eram volumosas e, algumas vezes, com
pequenos restos alimentares.
Provas
Questão presente nas seguintes provas
Um paciente de 17 anos de idade, com antecedente
de hipotireoidismo, em uso de levotiroxina, compareceu
ao consultório médico com queixa de mal-estar, de leve
desconforto abdominal, de diarreia e de fraqueza há seis
meses, de caráter intermitente. O jovem relatou cansaço
associado e ter passado em consulta na unidade básica
de saúde (UBS), onde foi diagnosticado com ferropenia e
vem fazendo uso de reposição oral de ferro, porém sem
melhora significativa. Relatou, ainda, consultas prévias com
dermatologista, com lesões cutâneas inicialmente pápulas
avermelhadas e, posteriormente, vesículas nas regiões do
cotovelo. A diarreia ocorria em poucos episódios durante
o dia, todavia eram volumosas e, algumas vezes, com
pequenos restos alimentares.
Provas
Questão presente nas seguintes provas
Um idoso de 74 anos de idade compareceu
no pronto-socorro desidratado, confuso, sonolento e
desorientado. Foram solicitados exames laboratoriais,
que apontaram: sódio 127; potássio 3,7; cálcio total
12 (albumina 1.8); Hb 12,8; leucócitos 8.700; plaquetas
125.000; ureia 83; creatinina 1,8. A TC de crânio não
registrou alterações dignas de nota.
Provas
Questão presente nas seguintes provas
Um idoso de 74 anos de idade compareceu
no pronto-socorro desidratado, confuso, sonolento e
desorientado. Foram solicitados exames laboratoriais,
que apontaram: sódio 127; potássio 3,7; cálcio total
12 (albumina 1.8); Hb 12,8; leucócitos 8.700; plaquetas
125.000; ureia 83; creatinina 1,8. A TC de crânio não
registrou alterações dignas de nota.
Provas
Questão presente nas seguintes provas
Cadernos
Caderno Container