Foram encontradas 120 questões.
Um paciente de 69 anos de idade, com antecedentes de tabagismo, hipertensão arterial e diabetes, apresentava, havia três dias, episódios de precordialgia ao repouso, em queimação, de moderada intensidade, sem irradiação e com alívio espontâneo em menos de 20 minutos, que se tornaram mais frequentes e de maior intensidade álgica nas últimas 24 horas, período em que os episódios ocorreram três vezes. Na admissão, ele relatou persistência do desconforto torácico havia uma hora. Estava em uso regular de enalapril e metformina. No exame físico, encontrava-se eupneico, com pressão arterial de 148 mmHg × 74 mmHg, frequência cardíaca de 92 bpm e ritmo cardíaco regular, em dois tempos, sem sopros. O restante do exame físico foi normal. A dosagem da troponina ultrassensível foi normal. O paciente foi submetido ao exame de eletrocardiograma (com calibração padrão), que evidenciou o seguinte resultado.

Considerando esse caso clínico hipotético e as Diretrizes da Sociedade Brasileira de Cardiologia de 2021, julgue o item seguinte.
Recomenda-se o uso de metoprolol por via oral.
Provas
Um paciente de 69 anos de idade, com antecedentes de tabagismo, hipertensão arterial e diabetes, apresentava, havia três dias, episódios de precordialgia ao repouso, em queimação, de moderada intensidade, sem irradiação e com alívio espontâneo em menos de 20 minutos, que se tornaram mais frequentes e de maior intensidade álgica nas últimas 24 horas, período em que os episódios ocorreram três vezes. Na admissão, ele relatou persistência do desconforto torácico havia uma hora. Estava em uso regular de enalapril e metformina. No exame físico, encontrava-se eupneico, com pressão arterial de 148 mmHg × 74 mmHg, frequência cardíaca de 92 bpm e ritmo cardíaco regular, em dois tempos, sem sopros. O restante do exame físico foi normal. A dosagem da troponina ultrassensível foi normal. O paciente foi submetido ao exame de eletrocardiograma (com calibração padrão), que evidenciou o seguinte resultado.

Considerando esse caso clínico hipotético e as Diretrizes da Sociedade Brasileira de Cardiologia de 2021, julgue o item seguinte.
O paciente deverá realizar o teste ergométrico em regime ambulatorial, para avaliação diagnóstica e prognóstica.
Provas
Um paciente de 69 anos de idade, com antecedentes de tabagismo, hipertensão arterial e diabetes, apresentava, havia três dias, episódios de precordialgia ao repouso, em queimação, de moderada intensidade, sem irradiação e com alívio espontâneo em menos de 20 minutos, que se tornaram mais frequentes e de maior intensidade álgica nas últimas 24 horas, período em que os episódios ocorreram três vezes. Na admissão, ele relatou persistência do desconforto torácico havia uma hora. Estava em uso regular de enalapril e metformina. No exame físico, encontrava-se eupneico, com pressão arterial de 148 mmHg × 74 mmHg, frequência cardíaca de 92 bpm e ritmo cardíaco regular, em dois tempos, sem sopros. O restante do exame físico foi normal. A dosagem da troponina ultrassensível foi normal. O paciente foi submetido ao exame de eletrocardiograma (com calibração padrão), que evidenciou o seguinte resultado.

Considerando esse caso clínico hipotético e as Diretrizes da Sociedade Brasileira de Cardiologia de 2021, julgue o item seguinte.
A CK-MB massa deve ser dosada para confirmação diagnóstica.
Provas
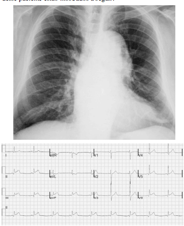
Um paciente de 68 anos de idade e hipertenso apresentava dor torácica lancinante na parede anterior com irradiação para a região cervical, de forte intensidade e sem alívio com analgésicos comuns havia duas horas. No exame físico, ele se encontrava sudorético e acianótico, com saturação de oxigênio em ar ambiente de 90%, pressão arterial de 182 mmHg × 112 mmHg e frequência cardíaca de 88 bpm. Apresentava ritmo cardíaco regular em dois tempos, com sopro diastólico (+/4) no segundo espaço intercostal à direita. Os valores da troponina ultrassensível foram normais. A radiografia de tórax e o eletrocardiograma desse paciente estão mostrados a seguir.

Com relação ao caso clínico hipotético anterior, julgue o item que se segue.
Recomenda-se o uso de nitroprussiato de sódio para a redução de até 25% da pressão arterial média em uma hora.
Provas
Um paciente de 68 anos de idade e hipertenso apresentava dor torácica lancinante na parede anterior com irradiação para a região cervical, de forte intensidade e sem alívio com analgésicos comuns havia duas horas. No exame físico, ele se encontrava sudorético e acianótico, com saturação de oxigênio em ar ambiente de 90%, pressão arterial de 182 mmHg × 112 mmHg e frequência cardíaca de 88 bpm. Apresentava ritmo cardíaco regular em dois tempos, com sopro diastólico (+/4) no segundo espaço intercostal à direita. Os valores da troponina ultrassensível foram normais. A radiografia de tórax e o eletrocardiograma desse paciente estão mostrados a seguir.

Com relação ao caso clínico hipotético anterior, julgue o item que se segue.
A angiografia coronariana é o método de escolha para a confirmação diagnóstica.
Provas
Um paciente de 68 anos de idade e hipertenso apresentava dor torácica lancinante na parede anterior com irradiação para a região cervical, de forte intensidade e sem alívio com analgésicos comuns havia duas horas. No exame físico, ele se encontrava sudorético e acianótico, com saturação de oxigênio em ar ambiente de 90%, pressão arterial de 182 mmHg × 112 mmHg e frequência cardíaca de 88 bpm. Apresentava ritmo cardíaco regular em dois tempos, com sopro diastólico (+/4) no segundo espaço intercostal à direita. Os valores da troponina ultrassensível foram normais. A radiografia de tórax e o eletrocardiograma desse paciente estão mostrados a seguir.

Com relação ao caso clínico hipotético anterior, julgue o item que se segue.
A origem desse processo é explicada por ruptura de ateroma com grande atividade proteolítica, núcleo lipídico e necrótico proeminente, o que resulta na formação de um trombo sobrejacente.
Provas
Um paciente de 68 anos de idade e hipertenso apresentava dor torácica lancinante na parede anterior com irradiação para a região cervical, de forte intensidade e sem alívio com analgésicos comuns havia duas horas. No exame físico, ele se encontrava sudorético e acianótico, com saturação de oxigênio em ar ambiente de 90%, pressão arterial de 182 mmHg × 112 mmHg e frequência cardíaca de 88 bpm. Apresentava ritmo cardíaco regular em dois tempos, com sopro diastólico (+/4) no segundo espaço intercostal à direita. Os valores da troponina ultrassensível foram normais. A radiografia de tórax e o eletrocardiograma desse paciente estão mostrados a seguir.

Com relação ao caso clínico hipotético anterior, julgue o item que se segue.
A dupla antiagregação plaquetária e a heparina não fracionada devem ser iniciadas na admissão.
Provas
Quanto aos métodos diagnósticos da insuficiência cardíaca (IC), julgue o item a seguir.
O teste de esforço cardiopulmonar é recomendado aos pacientes com IC avançada, como critério de avaliação prognóstica e indicação de transplante cardíaco.
Provas
Quanto aos métodos diagnósticos da insuficiência cardíaca (IC), julgue o item a seguir.
A avaliação da deformação miocárdica pela técnica de speckle tracking adiciona informações ao cenário clínico, constituindo um marcador precoce de disfunção ventricular, antes mesmo da alteração da fração de ejeção.
Provas
Quanto aos métodos diagnósticos da insuficiência cardíaca (IC), julgue o item a seguir.
O peptídeo natriurético tipo B (BNP) pode elevar-se na presença de anemia, insuficiência renal crônica e idade avançada e apresentar níveis mais baixos na presença de obesidade.
Provas
Caderno Container