Magna Concursos

Foram encontradas 3.880 questões.

2893622 Ano: 2021
Disciplina: Medicina
Banca: CESPE / CEBRASPE
Orgão: SESAU-AL
Provas:

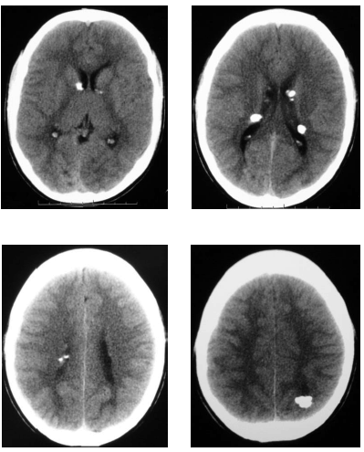
Paciente com 11 anos de idade, do sexo masculino, apresenta moderada deficiência intelectual e crises convulsivas, além de lesões cutâneas do tipo adenoma sebáceo, sem outras queixas ou outras patologias conhecidas. Realizou uma tomografia computadorizada cujas imagens são mostradas a seguir.

Enunciado 3064467-1

Em relação à patologia desse paciente, julgue o item a seguir.

O diagnóstico mais provável é da Síndrome de Sturge-Weber, sendo as calcificações subependimárias a sua manifestação de imagem mais típica na tomografia computadorizada.

 

Provas

Questão presente nas seguintes provas
2893621 Ano: 2021
Disciplina: Medicina
Banca: CESPE / CEBRASPE
Orgão: SESAU-AL
Provas:

Enunciado 3064466-1

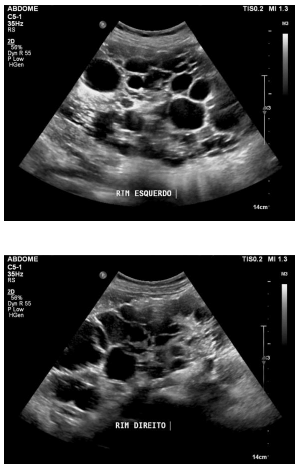
Paciente de 40 anos de idade, que não necessita de hemodiálise, apresenta as alterações identificadas nas imagens precedentes.

Com base nesse quadro clínico, julgue o item seguinte.

Os pacientes acometidos pela doença em questão apresentam maior risco de carcinoma de células renais, mesmo que não tenham a necessidade de realizar diálise.

 

Provas

Questão presente nas seguintes provas
2893620 Ano: 2021
Disciplina: Medicina
Banca: CESPE / CEBRASPE
Orgão: SESAU-AL
Provas:

Enunciado 3064465-1

Paciente de 40 anos de idade, que não necessita de hemodiálise, apresenta as alterações identificadas nas imagens precedentes.

Com base nesse quadro clínico, julgue o item seguinte.

Pacientes que apresentam as alterações mostradas nessas imagens raramente evoluem para quadros de insuficiência renal com necessidade de diálise, sendo essa doença responsável por menos de 1% dos pacientes dialíticos.

 

Provas

Questão presente nas seguintes provas
2893619 Ano: 2021
Disciplina: Medicina
Banca: CESPE / CEBRASPE
Orgão: SESAU-AL
Provas:

Enunciado 3064464-1

Paciente de 40 anos de idade, que não necessita de hemodiálise, apresenta as alterações identificadas nas imagens precedentes.

Com base nesse quadro clínico, julgue o item seguinte.

Os achados são típicos da doença renal policística autossômica recessiva.

 

Provas

Questão presente nas seguintes provas
2893618 Ano: 2021
Disciplina: Medicina
Banca: CESPE / CEBRASPE
Orgão: SESAU-AL
Provas:

Enunciado 3064463-1

Paciente de 40 anos de idade, que não necessita de hemodiálise, apresenta as alterações identificadas nas imagens precedentes.

Com base nesse quadro clínico, julgue o item seguinte.

As imagens mostram múltiplos cistos renais bilateralmente e, portanto, o paciente não demanda acompanhamento específico, pois as alterações observadas são benignas e sem significado clínico.

 

Provas

Questão presente nas seguintes provas
2893617 Ano: 2021
Disciplina: Medicina
Banca: CESPE / CEBRASPE
Orgão: SESAU-AL
Provas:

Enunciado 3064462-1

Paciente de 40 anos de idade, que não necessita de hemodiálise, apresenta as alterações identificadas nas imagens precedentes.

Com base nesse quadro clínico, julgue o item seguinte.

Anomalias associadas à doença em tela incluem aneurismas cerebrais, aneurismas da aorta abdominal e divertículos nos cólons.

 

Provas

Questão presente nas seguintes provas
2893616 Ano: 2021
Disciplina: Medicina
Banca: CESPE / CEBRASPE
Orgão: SESAU-AL
Provas:

Enunciado 3064461-1

Paciente do sexo masculino realizou exame do aparelho urinário, cujo resultado é mostrado na imagem precedente.

Considerando esse caso clínico, julgue o próximo item.

Em se tratando de uma criança, a primeira hipótese diagnóstica para a imagem corresponde provavelmente ao quadro de megacálices congênitos associado à pelve extrarrenal.

 

Provas

Questão presente nas seguintes provas
2893615 Ano: 2021
Disciplina: Medicina
Banca: CESPE / CEBRASPE
Orgão: SESAU-AL
Provas:

Enunciado 3064460-1

Paciente do sexo masculino realizou exame do aparelho urinário, cujo resultado é mostrado na imagem precedente.

Considerando esse caso clínico, julgue o próximo item.

Os diagnósticos diferenciais para essa imagem devem incluir, entre outras possibilidades, estenose da junção ureteropélvica e refluxo vesicoureteral; o calibre do ureter ajuda na diferenciação das duas condições.

 

Provas

Questão presente nas seguintes provas
2893614 Ano: 2021
Disciplina: Medicina
Banca: CESPE / CEBRASPE
Orgão: SESAU-AL
Provas:

Enunciado 3064459-1

Paciente do sexo masculino realizou exame do aparelho urinário, cujo resultado é mostrado na imagem precedente.

Considerando esse caso clínico, julgue o próximo item.

A imagem apresentada pode ser identificada tanto em criança quanto em adultos, sintomáticos ou assintomáticos, congênita ou adquirida; no público infantil, pode estar associada ainda a malformações no rim contralateral, como rim multicístico displásico.

 

Provas

Questão presente nas seguintes provas
2893613 Ano: 2021
Disciplina: Medicina
Banca: CESPE / CEBRASPE
Orgão: SESAU-AL
Provas:

Enunciado 3064458-1

Considerando o diagnóstico evidenciado nas imagens precedentes, julgue o item a seguir.

Segundo a regra de Weigert-Meyer, em casos de duplicação completa do sistema coletor, o ureter que drena a porção superior do rim está mais sujeito a refluxo vesicoureteral, enquanto o ureter que drena a porção inferior do rim está mais sujeito a estenose.

 

Provas

Questão presente nas seguintes provas