Foram encontradas 120 questões.
A respeito desse caso clínico, julgue os itens subsequentes.
No caso em apreço, o diagnóstico clínico é de púrpura trombocitopênica idiopática aguda.
Provas

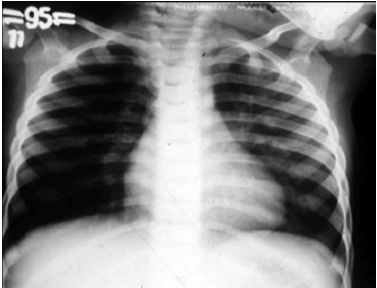
Um lactente de quatro meses de idade cronológica, nascido prematuro de vinte e nove semanas gestacionais, apresentou, durante o inverno, febre, tosse e dificuldade respiratória nos últimos três dias antes de ser levado por sua mãe à emergência pediátrica. A mãe relatou que a criança nunca havia apresentado um episódio semelhante a esse. O calendário vacinal mostrou que a criança recebeu duas doses da vacina antipneumocócica decavalente, porém não recebeu palivizumabe. O exame físico da criança mostrou desidratação, taquipnéia, retração intercostal e sibilos inspiratórios e expiratórios. O resultado do hemograma solicitado pelo médico revelou hematócrito de 40%, concentração de hemoglobina de 13 g/dL, 9.000 leucócitos/mm3, 55% de linfócitos, 34% de neutrófilos, 2% de eosinófilos, 1% de basófilos, 8% de monócitos, 340.000 plaquetas/mm3. O médico solicitou radiografia de tórax da criança, cuja imagem é apresentada na figura.
Com relação a esse caso clínico, julgue o item subsequente.
Provas
Um adolescente de quinze anos de idade procurou atendimento médico, queixando-se de ter notado, havia um mês, a presença de gânglios aumentados no pescoço. Na anamnese, o paciente relatou a presença de sintomas como febre, perda de peso e sudorese noturna. No exame físico, o médico identificou, por meio de palpação, gânglios aumentados nas regiões cervical e supraclavicular. A radiografia de tórax e a tomografia de abdome mostrou aumento apenas de linfonodos mediastinais.A biópsia de gânglio cervical revelou infiltrado linfocitário e eosinofílico, trabeculações fibrosas e células de Reed-Sternberg. O mielograma do paciente jovem apresentou resultado normal. Nesse caso, o diagnóstico é de linfoma de Hodgkin no estágio III A.
Provas
Um recém-nascido macrossômico foi levado a um centro de saúde para uma consulta de rotina. Durante o atendimento, o profissional observou que a criança apresentava hemi-hipertrofia, macroglossia, onfalocele, proeminência occipital, sulcos anormais nos lóbulos das orelhas, hipoplasia maxilar, dorso nasal alargado e hipoplasia do terço médio da face. Nesse caso, constatou-se, após a avaliação médica, que há baixa probabilidade de a referida criança apresentar tumores malignos, especialmente tumor de Wilms, nos dez primeiros anos de vida.
Provas
A protoporfirina eritrocitária livre tende a diminuir em casos de pacientes com deficiência de ferro.
Provas
Considerando esse caso clínico, julgue os itens a seguir.
A criança deve receber, como tratamento empírico de primeira linha, o antibiótico ceftriaxone, na dose de 100 mg/kg, em dose única, por via intramuscular.
Provas
Situação hipotética: Um escolar de cinco anos de idade apresentava febre havia três semanas, período em que foi levado ao médico pelos pais em duas ocasiões. Nessas ocasiões, foram-lhe prescritos, em sequência, dois antibióticos distintos, sem que a criança mostrasse melhora. No exame físico, o médico observou que a criança estava com bom estado geral e apresentava, como única alteração, o fígado palpável a 6 cm do rebordo costal direito. O hemograma completo mostrou hematócrito de 38%, 40.000 leucócitos/mm3, 50% de eosinófilos e 180.000 plaquetas/mm3. Assertiva: Nesse caso, o diagnóstico mais provável é toxocaríase; já o diagnóstico confirmatório deve ser feito pelo teste imunoenzimático específico (ELISA).
Provas
A hipovitaminose A pode acarretar ceratomalacia e causar cegueira.
Provas
Uma criança de oito anos de idade foi levada a um hospital por apresentar, havia um mês, irritabilidade, sudorese, rubor e palpitação. No exame físico, além de precórdio agitado e hipertensão arterial, identificaram-se equimoses periorbitárias. Nesse caso, deve-se indicar a realização de dosagem do ácido vanilmandélico e do ácido homovanílico no sangue ou na urina da paciente.
Provas
Situação hipotética: Uma criança de cinco anos de idade, com histórico de ronco e apneia ao dormir, apresentou, em radiografia do cavum orofaríngeo, redução acentuada da coluna aérea por hipertrofia das adenoides. Assertiva: Nesse caso, essa criança deverá ser submetida a adenoidectomia.
Provas
Caderno Container