Foram encontradas 660 questões.
Existem diversas técnicas para se conseguir o controle da dor com anestésicos locais. O tipo de injeção administrada para um tratamento específico está relacionado à extensão da área operatória. Sobre as considerações referentes às técnicas de anestesia em odontologia, analise as afirmativas a seguir.
I. O bloqueio do nervo alveolar superior é contraindicado em pacientes que utilizam medicamentos inibidores da agregação plaquetária.
II. O bloqueio do nervo infraorbital promove anestesia da polpa dos incisivos centrais superiores até o canino, no lado anestesiado, além do periodonto e osso vestibular desses mesmos dentes.
III.O bloqueio do nervo palatino anterior produz anestesia na parte anterior do palato duro.
IV.A anestesia do nervo bucal não é necessária para a maioria dos procedimentos odontológicos restauradores, porque fornece inervação sensitiva somente aos tecidos moles vestibulares adjacentes aos molares inferiores.
Está correto o que se afirma apenas em
Provas
Para o surgimento da doença periodontal é fundamental que ocorra o desequilíbrio entre as agressões do biofilme e a resposta do hospedeiro. Esse desequilíbrio está profundamente relacionado ao acúmulo de biofilme e alterações na sua composição. A disbiose é a alteração na proporção relativa das espécies de uma comunidade associada ao desenvolvimento de doenças, como ocorre na periodontite. Corresponde ao novo ambiente formado pelas alterações ecológicas da bolsa periodontal:
Provas
Apesar dos avanços no tratamento dentário, existem algumas situações clínicas em que a exodontia é considerada o tratamento de escolha, seja para fins ortodônticos ou devido à impossibilidade de se realizar um tratamento restaurador. Assim, é necessário, para realizar uma técnica cirúrgica mais atraumática possível, o conhecimento dos princípios que regem a técnica de exodontia dentária. Sobre a técnica de exodontia, marque V para as afirmativas verdadeiras e F para as falsas.
( ) Na extração de um dente com raiz única por um fórceps, o excesso de movimento do ápice da raiz para um centro de rotação alto apresenta maior chance de fraturar o ápice radicular.
( ) Uma grande força de tração é desejável para melhorar a luxação radicular de dentes com raízes únicas e cônicas.
( ) No movimento de luxação a principal pressão deve ser realizada com o pulso.
( ) Após extração, os alvéolos devem ser sempre curetados e irrigados.
A sequência está correta em
Provas
A saúde periodontal, a gengivite e a periodontite estão associadas à presença de comunidades bacterianas distintas. Tal variedade microbiana é resultado do somatório das influências endógenas e exógenas a que somos submetidos no nosso cotidiano. Nossas características individuais e estilo de vida têm a capacidade de modular as microbiotas, modificando os microambientes em cada um dos diferentes nichos orais. Nesse contexto, assinale a alternativa que descreve corretamente esse tipo de influência.
Provas
A periodontite apical é essencialmente uma doença inflamatória de etiologia microbiana, causada devido à infecção do sistema de canais radiculares. Sobre a microbiologia das infecções endodônticas, analise as afirmativas a seguir.
I. O tecido pulpar necrótico presente dentro do canal radicular por si só, ou seja, na ausência de infecção, é capaz de induzir ou perpetuar lesões de periodontite apical.
II. Bactérias do biofilme subgengival associadas à doença periodontal podem alcançar a polpa através dos canais laterais e promover necrose pulpar significante, levando a um dano pulpar irreversível.
III. O tamanho da lesão de periodontite apical é proporcional ao número de espécies de bactérias encontradas no canal radicular.
IV. Canais radiculares associados à fístula são associados a um número maior de espécies bacterianas contaminantes.
Está correto o que se afirma apenas em
Provas
Os espaços fasciais são áreas anatômicas potenciais que existem entre as fáscias e os órgãos subjacentes e outros tecidos. Durante a infecção endodôntica, tais espaços são potenciais áreas de disseminação de exsudato purulento. O espaço fascial com maior chance do exsudato purulento proveniente de uma infecção endodôntica se disseminar para o seio cavernoso é:
Provas
Os raios-X são altamente energéticos, com a capacidade de atravessar as estruturas que compõem o corpo humano. São as denominadas radiações ionizantes. Sobre os efeitos biológicos e radioproteção, assinale a afirmativa correta.
Provas
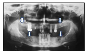
Paciente, 48 anos, sexo feminino, melanoderma, apresentou-se para consulta odontológica com radiografia panorâmica, solicitada por um cirurgião-dentista para programação cirúrgica de raízes residuais. Ao analisar a radiografia, foram observadas áreas radiopacas permeadas por áreas radiolúcidas nas regiões posteriores da mandíbula (quadrante posterior direito e esquerdo). Na maxila, foram identificadas duas áreas radiopacas localizadas nos quadrantes posteriores de ambos os lados (direito e esquerdo). As lesões eram assintomáticas e não provocavam nenhuma alteração nas corticais; portanto, se tratava de achado radiográfico. Nenhuma outra informação da saúde da paciente foi digna de nota. Analise a radiografia a seguir:

Após análise dos aspectos clínicos e radiográficos, assinale a conduta correta a ser instituída para a paciente em relação às lesões observadas.
Provas
Os compósitos à base de resina composta foram criados para combinar com a aparência natural dos dentes. Eles se tornaram os mais populares dos materiais de preenchimento estéticos e são amplamente utilizados para uma variedade de aplicações odontológicas. Sobre os compósitos à base de resina composta, assinale a afirmativa correta.
Provas
As resinas duais foram criadas com a finalidade de superar os limites da profundidade de polimerização e alguns outros problemas associados à fotopolimerização. Sobre as resinas duais, assinale a afirmativa correta.
Provas
Caderno Container