Foram encontradas 698 questões.

A radiografia apresentada refere-se ao exame de um paciente de vinte e cinco anos de idade que se queixava de dor espontânea na região inferior direita da face. Na realização do teste térmico de sensibilidade pulpar a frio no dente 46, houve exacerbação da dor.
Nesse caso clínico, o diagnóstico do paciente é de pulpite
Provas

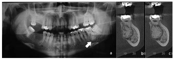
Homem de vinte e cinco anos de idade, melanoderma, compareceu a unidade odontológica para a remoção de terceiro molar superior. Por imagem radiográfica, constatou-se aumento de volume radiopaco fundido ao ápice do dente 37 circundado por um fino halo radiolúcido, conforme indicado pela seta na imagem radiográfica a. Foi solicitada a realização de tomografia, para confirmação das características previamente identificadas. As imagens da tomografia correspondem às indicadas pelas letras b e c.
Considerando-se o aspecto patognomônico da lesão, é correto afirmar que se trata de
Provas
Com relação às contraindicações de substâncias destinadas ao controle da ansiedade na prática odontológica, julgue os itens a seguir.
I Os benzodiazepínicos não devem ser administrados em grávidas, pois esse fármaco ultrapassa a placenta e pode deprimir o sistema nervoso central do feto.
II O óxido nitroso não deve ser administrado em portadores de porfiria intermitente aguda, devido ao risco de aumento da síntese de porfiria.
III O hidrato de cloral não deve ser administrado em pacientes que possuam restrição à inalação de gases administrados.
IV Opioides não devem ser administrados em portadores de asma, devido ao potencial de liberação de histamina.
Estão certos apenas os itens
Provas
Uma mulher de vinte e seis anos de idade foi submetida à cirurgia bucal. Inadvertidamente, não utilizou o medicamento prescrito pelo profissional no pós-cirúrgico, tendo optado por utilizar um analgésico que já tinha em casa. Após dois dias da intervenção, a paciente entrou em contato com o profissional, relatando que, embora não estivesse sentindo dor, havia percebido um sangramento constante na região onde havia sido feita a cirurgia.
Considerando os efeitos adversos provocados na paciente do caso clínico, assinale a opção que apresenta um medicamento contraindicado para o controle da dor no pós-operatório de cirurgia bucal.
Provas

Assinale a opção que corresponde aos pontos anatômicos identificados pelos numerais de 1 a 4 na imagem radiográfica apresentada.
Provas
Provas
Uma criança de nove anos de idade sofreu um acidente de bicicleta e teve trauma facial envolvendo três dentes anteriores. No exame clínico, constatou-se que o dente 11 encontrava-se no alvéolo sem mobilidade, estava sensível à percussão e respondeu normalmente ao teste de sensibilidade elétrica. Não havia sinais de sangramento no sulco gengival. O dente 21 apresentava discreta mobilidade, sangramento de pequena intensidade do sulco gengival, porém sem deslocamento. O dente 22 estava deslocado axialmente do seu alvéolo e preso por suas fibras gengivais intactas por palatino.
Nesse caso, houve lesões pulpares e do ligamento periodontal
Provas
Provas
Uma paciente do sexo feminino, de dezoito anos de idade, compareceu a clínica odontológica apresentando primeiro molar inferior em relação distal ao primeiro molar superior, no lado direito, e chave molar normal do lado esquerdo, com perfil facial levemente convexo, sem sobressaliência, com discreta lingualização dos incisivos.
Conforme a classificação de Angle, a má oclusão verificada no caso enquadra-se na classe
Provas
Provas
Caderno Container