Foram encontradas 520 questões.
Homem de 45 anos foi submetido a uma espirometria, cujo resultado foi:
- Volume expiratório forçado de primeiro segundo (VEF1): diminuído
- Capacidade vital forçada
- CVF: diminuída
- VEF1/CVF: normal
- Capacidade difusional: mantida
O diagnóstico etiológico mais provável é
- Volume expiratório forçado de primeiro segundo (VEF1): diminuído
- Capacidade vital forçada
- CVF: diminuída
- VEF1/CVF: normal
- Capacidade difusional: mantida
O diagnóstico etiológico mais provável é
Provas
Questão presente nas seguintes provas
São características dos distúrbios de secreção de hormônios adrenais:
Provas
Questão presente nas seguintes provas
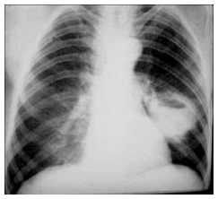
Um homem de 36 anos procura o pronto-socorro com queixa de febre baixa, tosse produtiva e perda de peso há 3 semanas. Trabalha na zona rural como cortador de cana, é tabagista e “bebe socialmente”. Tem epilepsia desde a infância e nos últimos 3 meses tem apresentado convulsões por ter abandonado o tratamento. A radiografia de tórax mostra:

O diagnóstico mais provável é

O diagnóstico mais provável é
Provas
Questão presente nas seguintes provas
Em pacientes com queixa de dispepsia a avaliação diagnóstica encontra uma doença orgânica subjacente em cerca de
Provas
Questão presente nas seguintes provas
São apresentados quatro pacientes com anemia, além das características abaixo:
I. Hemólise com intensa reticulocitose.
II. Etilista com hepatopatia crônica.
III. Eletroforese de hemoglobina com Hb A2 superior a 4%.
IV. Câncer de cólon direito.
Um volume corpuscular médio superior a 100 fL será encontrado com maior probabilidade APENAS nos pacientes
I. Hemólise com intensa reticulocitose.
II. Etilista com hepatopatia crônica.
III. Eletroforese de hemoglobina com Hb A2 superior a 4%.
IV. Câncer de cólon direito.
Um volume corpuscular médio superior a 100 fL será encontrado com maior probabilidade APENAS nos pacientes
Provas
Questão presente nas seguintes provas
Em pacientes com rubéola além do rash cutâneo característico e febre podem surgir complicações sistêmicas, sendo a mais frequente:
Provas
Questão presente nas seguintes provas
Um homem de 44 anos apresenta dor abdominal intensa episódica há cerca de 3 meses, algumas vezes com diarreia prolongada. Procurou vários prontos-socorros nessas ocasiões e em algumas delas foi cogitada cirurgia com suspeita de apendicite e várias vezes recebeu antibiótico como tratamento. Realizou colonoscopia que mostrou inflamação extensa transmural do cólon em que áreas acometidas se alternam com áreas de mucosa preservada; o exame físico mostrou fístula perianal. O diagnóstico mais provável é
Provas
Questão presente nas seguintes provas
Na distinção entre necrose tubular aguda e insuficiência pré-renal a fração de excreção de
Provas
Questão presente nas seguintes provas
Em alguns casos são indicados a quimioprofilaxia de tuberculose, por exemplo, para reatores fortes ao teste tuberculínico (PPD > 10 mm) sem sinal de doença ativa com condição clínica associada a alto risco de desenvolvê-la. Considerando que não tenha ocorrido exposição a cepa resistente, a medicação indicada, neste caso, é
Provas
Questão presente nas seguintes provas
Acerca do Planejamento e da Gestão Estratégica, no âmbito do Poder Judiciário, considere:
I. É composto de missão, visão e atributos de valor do Poder Judiciário.
II. Possui objetivos estratégicos distribuídos em temas, entre os quais se insere a eficiência operacional.
III. Contém indicadores de resultado que devem ser revistos anualmente.
De acordo com as disposições da Resolução n° 70/2009, do Conselho Nacional de Justiça, está correto o que consta APENAS em
I. É composto de missão, visão e atributos de valor do Poder Judiciário.
II. Possui objetivos estratégicos distribuídos em temas, entre os quais se insere a eficiência operacional.
III. Contém indicadores de resultado que devem ser revistos anualmente.
De acordo com as disposições da Resolução n° 70/2009, do Conselho Nacional de Justiça, está correto o que consta APENAS em
Provas
Questão presente nas seguintes provas
Cadernos
Caderno Container