Foram encontradas 70 questões.
Uma jovem servidora do poder judiciário desenvolve um quadro
de hipertensão arterial sistêmica, durante a gestação. Ela recebe
indicação de ser submetida a tratamento farmacológico.
A paciente não apresenta outras comorbidades.
Em relação ao tratamento medicamentoso em gestantes, assinale a afirmativa correta.
Em relação ao tratamento medicamentoso em gestantes, assinale a afirmativa correta.
Provas
Questão presente nas seguintes provas
A estimativa de trabalhadores na área de saúde, na Paraíba, é de
cerca de 111 mil. No ano de 2022, por ocasião da campanha de
vacinação contra influenza, estes trabalhadores foram
convocados para atualizarem também, a vacinação contra o
sarampo. Na campanha foi utilizada a vacina tríplice viral dos
laboratórios Serum Institute of India Ltd e Fiocruz/BioManguinhos.
(Secretaria Estadual de Saúde – Paraíba)
Em relação a vacinação contra o sarampo nas trabalhadoras da saúde gestantes, assinale a afirmativa correta.
(Secretaria Estadual de Saúde – Paraíba)
Em relação a vacinação contra o sarampo nas trabalhadoras da saúde gestantes, assinale a afirmativa correta.
Provas
Questão presente nas seguintes provas
De acordo com o Código de Ética Médica, no que diz respeito aos
documentos médicos, assinale V para a afirmativa verdadeira e
F para a falsa.
( ) é vedado ao médico expedir documento médico sem ter praticado ato profissional que o justifique, que seja tendencioso ou que não corresponda à verdade.
( ) é vedado ao médico atestar como forma de obter vantagem.
( ) é vedado ao médico usar formulários institucionais para atestar, prescrever e solicitar exames ou procedimentos fora da instituição a que pertençam tais formulários.
As afirmativas são, respectivamente
( ) é vedado ao médico expedir documento médico sem ter praticado ato profissional que o justifique, que seja tendencioso ou que não corresponda à verdade.
( ) é vedado ao médico atestar como forma de obter vantagem.
( ) é vedado ao médico usar formulários institucionais para atestar, prescrever e solicitar exames ou procedimentos fora da instituição a que pertençam tais formulários.
As afirmativas são, respectivamente
Provas
Questão presente nas seguintes provas
O Estudo da Sífilis Não Tratada de Tuskegee foi um experimento
médico realizado na cidade de Tuskegee, no Alabama, entre os
anos de 1932 e 1972. O experimento feriu vários princípios da
ética médica e é usado como exemplo de má conduta em
pesquisa clínica.
O Código de Ética Médica (CEM) contém as normas que devem ser seguidas pelos médicos no exercício de sua profissão, inclusive nas atividades relativas a ensino e pesquisa.
De acordo com o capítulo XII do CEM (versão atualizada/2019), dedicado ao ensino e pesquisa médica, assinale V para a afirmativa verdadeira e F para a falsa.
( ) é vedado ao médico participar de qualquer tipo de experiência envolvendo seres humanos com fins bélicos, políticos, étnicos, eugênicos ou outros que atentem contra a dignidade humana.
( ) é vedado ao médico obter aprovação de protocolo para a realização de pesquisa em seres humanos, de acordo com a legislação vigente.
( ) é vedado ao médico obter do paciente ou de seu representante legal o termo de consentimento livre e esclarecido para a realização de pesquisa envolvendo seres humanos, após as devidas explicações sobre a natureza e as consequências da pesquisa.
As afirmativas acima são, respectivamente,
O Código de Ética Médica (CEM) contém as normas que devem ser seguidas pelos médicos no exercício de sua profissão, inclusive nas atividades relativas a ensino e pesquisa.
De acordo com o capítulo XII do CEM (versão atualizada/2019), dedicado ao ensino e pesquisa médica, assinale V para a afirmativa verdadeira e F para a falsa.
( ) é vedado ao médico participar de qualquer tipo de experiência envolvendo seres humanos com fins bélicos, políticos, étnicos, eugênicos ou outros que atentem contra a dignidade humana.
( ) é vedado ao médico obter aprovação de protocolo para a realização de pesquisa em seres humanos, de acordo com a legislação vigente.
( ) é vedado ao médico obter do paciente ou de seu representante legal o termo de consentimento livre e esclarecido para a realização de pesquisa envolvendo seres humanos, após as devidas explicações sobre a natureza e as consequências da pesquisa.
As afirmativas acima são, respectivamente,
Provas
Questão presente nas seguintes provas
Na avaliação de um indivíduo com um quadro compatível com
anemia hemolítica autoimune, assinale a opção que indica o
achado laboratorial que corrobora a presença de hemólise.
Provas
Questão presente nas seguintes provas
Nos portadores de anemia hemolítica a suplementação com
ácido fólico é recomendada pelo aumento da eritropoiese.
O ácido fólico é uma das vitaminas do complexo B.
Ele representa a
Ele representa a
Provas
Questão presente nas seguintes provas
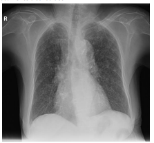
Uma mulher de 40 anos, com sintomas respiratórios e
emagrrecimento apresenta alterações em radiografia de
tórax,em posição póstero-anterior, compatíveis com padrão
miliar (imagem).
Em relação a este padrão, considere os itens a seguir.
I. Representam tênues opacidades nodulares agrupadas, de difícil visualização, localizadas nas regiões apicais e axilares
II. Representam opacidade lobar associada a linhas que convergem para o hilo (convergência hilar)
III. Representam micronódulos entre 2 e 3mm de diâmetro difusamente distribuídos

"https://radiopaedia.org/?lang=us">Radiopaedia.org. From the case <ahttps://radiopaedia.org/cases/31375?lang=us">rID: 31375</a>
Está correto o que se afirma em
I. Representam tênues opacidades nodulares agrupadas, de difícil visualização, localizadas nas regiões apicais e axilares
II. Representam opacidade lobar associada a linhas que convergem para o hilo (convergência hilar)
III. Representam micronódulos entre 2 e 3mm de diâmetro difusamente distribuídos

"https://radiopaedia.org/?lang=us">Radiopaedia.org. From the case <ahttps://radiopaedia.org/cases/31375?lang=us">rID: 31375</a>
Está correto o que se afirma em
Provas
Questão presente nas seguintes provas
Uma magistrada de 45 anos apresenta pirose e regurgitação, há
pelo menos quatro meses. Ela apresenta estes sintomas três
vezes por semana. Nas últimas quatro semanas ela observou
perda de peso e do apetite. Ontem ela apresentou um episódio
de náuseas e vômitos, isolados. Os sintomas já não respondem ao
uso de medicamentos antissecretores e as medidas
comportamentais. Antecedentes mórbidos: hipertensão arterial e
diabetes mellitus.
Destacamos no caso os seguintes sinais e sintomas de alarme
Destacamos no caso os seguintes sinais e sintomas de alarme
Provas
Questão presente nas seguintes provas
Um servidor de 50 anos apresenta há 2 semanas sintomas
dispépticos. História patológica pregressa e familiar: sem
particularidades. Ele desconhece alergia a medicamentos. Nesta
manhã, ele foi submetido a uma endoscopia digestiva alta: lesão
ulcerada gástrica, sem estigmas de sangramento recente. O teste
de urease revelou-se positivo. A análise histopatológica está em
curso.
A conduta inicial mais adequada, seguindo as recomendações do IV Consenso Brasileiro sobre a infecção por Helicobacter pylori (HP) é
A conduta inicial mais adequada, seguindo as recomendações do IV Consenso Brasileiro sobre a infecção por Helicobacter pylori (HP) é
Provas
Questão presente nas seguintes provas
Campina Grande polo industrial e tecnológico do estado da
Paraíba, notável por seu centro universitário, apresenta uma
população adulta com altas taxas de infecção pelo Helicobacter
pylori (HP).
[Helicobacter pylori em indivíduos procedentes de Campina Grande ... (Tese de Doutorado: Basilio, ILD - 2017)].
No Brasil, os principais fatores de risco para aquisição do HP são
[Helicobacter pylori em indivíduos procedentes de Campina Grande ... (Tese de Doutorado: Basilio, ILD - 2017)].
No Brasil, os principais fatores de risco para aquisição do HP são
Provas
Questão presente nas seguintes provas
Cadernos
Caderno Container