Foram encontradas 698 questões.
A síndrome do túnel do carpo é uma afecção frequente e está associada de forma MENOS documentada a
Provas
Questão presente nas seguintes provas
Nos estudos de sensibilidade de detecção de isquemia com teste ergométrico, ecocardiografia sob estresse e cintilografia
miocárdica a representação gráfica comparando o produto frequência/pressão com o tempo de teste, a disfunção regional
miocárdica visível no ecocardiograma surge
Provas
Questão presente nas seguintes provas
Em pacientes que se apresentam com queixa de dispneia a radiografia de tórax é um teste útil para avaliar a suspeita de
insuficiência cardíaca. Nesse caso ocorrem alterações características, como as abaixo, EXCETO
Provas
Questão presente nas seguintes provas
Um paciente no sexto dia de uso de heparina não fracionada para profilaxia de trombose venosa profunda, apresenta queda de
plaquetas de 450.000/mm3 para 200.000/mm3. Neste indivíduo, outras etiologias de trombocitopenia que não a heparina são
improváveis. A conduta correta é
Provas
Questão presente nas seguintes provas
Nível elevado de adenosina deaminase no liquido pleural, é mais provável nos casos de
Provas
Questão presente nas seguintes provas
Em pacientes com doença pulmonar obstrutiva crônica que apresentam cor pulmonale ou insuficiência cardíaca direita ou
hematócrito superior a 55%, é recomendado oxigênio domiciliar a longo prazo a partir do pO2 cronicamente menor ou igual a
(em gasometria arterial em ar ambiente)
Provas
Questão presente nas seguintes provas
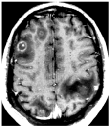
Um homem de 24 anos, portador de infecção por HIV é investigado por apresentar história de febre e rebaixamento do nível de
consciência. A ressonância nuclear magnética mostrou:

Foi realizado um mapeamento cerebral com Thallium-201 que foi negativo para captação do isótopo. Esses achados, somados aos dados epidemiológicos do Brasil permitem afirmar, com alta probabilidade, tratar-se de

Foi realizado um mapeamento cerebral com Thallium-201 que foi negativo para captação do isótopo. Esses achados, somados aos dados epidemiológicos do Brasil permitem afirmar, com alta probabilidade, tratar-se de
Provas
Questão presente nas seguintes provas
Metimazol e propiltiouracil, drogas empregadas no tratamento da doença de Graves, podem ter efeitos colaterais de importância
menor, que não justificam a interrupção do tratamento, até outros que colocam a vida dos pacientes em risco, tais como
Provas
Questão presente nas seguintes provas
Considere três pacientes com as seguintes características
Paciente I: tabagismo de 70 maços-ano.
Paciente II: índice de massa corpórea de 51 kg/m2.
Paciente III: hemograma com 10% de eosinófilos.
E os seguintes achados laboratoriais (LAB) sendo GAaO2 o gradiente alvéolo-arterial de oxigênio.
LAB 1: hipercapnia com GAaO2 próximo do normal.
LAB 2: hipercapnia com GAaO2 aumentado.
LAB 3: hipocapnia com GAaO2 aumentado.
As correspondências mais prováveis são:
Provas
Questão presente nas seguintes provas
São índices de atividade da nefrite lúpica:
Provas
Questão presente nas seguintes provas
Cadernos
Caderno Container