Foram encontradas 959 questões.
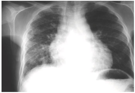
Jonas, 17 anos, portador de drepanocitose, comparece ao pronto atendimento com
relato de dor torácica, taquipneia, febre, tosse e dispneia. Ao exame clínico, ausculta pulmonar sem ruídos adventícios. FR 26 irpm, oximetria 92% em ar ambiente.
Laboratório evidenciou leucocitose. Radiografia de tórax segue abaixo:

Sobre o quadro em questão, é INCORRETO afirmar:

Sobre o quadro em questão, é INCORRETO afirmar:
Provas
Questão presente nas seguintes provas
Mulher, 55 anos, portadora de cirrose hepática pelo vírus B, admitida devido a
descompensação da doença hepática. Refere aumento importante do volume abdominal nas últimas semanas, ultimamente até dificultado sua respiração. Apresentava, ainda, segundo familiares, quadro de confusão mental e agitação nos últimos dois dias.
Em relação a esse caso, é CORRETO afirmar:
Em relação a esse caso, é CORRETO afirmar:
Provas
Questão presente nas seguintes provas
Mulher, 27 anos, comparece à consulta com gastroenterologista para avaliar elevação de transaminases. Apresentava elevação leve transaminases (TGO 165
U/L, TGP 172 U/L), elevação de bilirrubina indireta, anemia leve. Ao exame clínico,
foi observado um anel esverdeado ao redor da íris. Refere 2 abortamentos prévios.
Nega tabagismo, mas refere ingerir aproximadamente 500 ml de cerveja ao dia.
Em relação ao caso relatado, é CORRETO afirmar:
Em relação ao caso relatado, é CORRETO afirmar:
Provas
Questão presente nas seguintes provas
Homem, 53 anos, portador de insuficiência cardíaca de etiologia chagásica. Comparece ao pronto atendimento com relato de episódios de pré-síncope nos últimos
3 dias. Durante espera para o atendimento, apresentou novo episódio associado
a sudorese. Ao exame clínico, apresentava confusão mental, FC 160 bpm, PA
70/50 mmHg, extremidades frias. ECG na urgência segue abaixo:
A conduta mais adequada para o caso é:
A conduta mais adequada para o caso é:
Provas
Questão presente nas seguintes provas
Aline, 54 anos, recebeu vacina para influenza recentemente. Após alguns dias,
observou dificuldade progressiva para deambular. Procurou o serviço de urgência
referindo fadiga, incapaz de elevar os braços acima do nível dos ombros. Nega
febre. Ao exame clínico, apresentava-se afebril, orientada, corada. PA
140/80 mmHg, FC 98 bpm. Ausculta pulmonar normal, frequência respiratória
26 irpm, saturimetria 87%. Força muscular grau I de membros inferiores e grau III
em membros superiores. Avaliação da neurologia evidenciou hiporreflexia. Hemograma e função renal sem alterações. Submetida a punção liquórica que evidenciou 4 células/mm3, sem hemácias, proteinorraquia 39 mg/dL, glicorraquia
51 mg/dL.
A conduta mais adequada para o caso é:
A conduta mais adequada para o caso é:
Provas
Questão presente nas seguintes provas
Homem, 62 anos, hipertenso e coronariopata (infarto miocárdico com supradesnivelamento do segmento ST há três anos tratado com angioplastia com stent farmacológico da artéria descendente anterior). Refere praticar atividade física regular (bicicleta e musculação) quatro vezes por semana, sem limitação ou sintomas
cardiovasculares. Faz uso regular de AAS 100 mg/dia, losartana 50 mg/dia, atenolol 50 mg/dia e rosuvastatina 40 mg/dia. Comparece para avaliação pré-operatória para colecistectomia videolaparoscópica eletiva. Ao exame clínico, apresenta
PA 124/80 mmHg, FC 54 bpm. Restante do exame clínico normal. ECG dentro da
normalidade. Traz resultados de hemograma, coagulograma, função renal e glicemia normais.
Em relação ao caso, a conduta é:
Em relação ao caso, a conduta é:
Provas
Questão presente nas seguintes provas
Homem de 35 anos comparece com queixa de cefaleia hemicraniana direita pulsátil intensa, associada a rinorreia e lacrimejamento ipsilateral. Refere que iniciou
crises recorrentes de dor há 5 dias.
Em relação ao tratamento, a primeira escolha seria:
Provas
Questão presente nas seguintes provas
A miocardiopatia hipertrófica é, junto à displasia arritmogênica do VD, a principal
causa de morte súbita em jovens.
Qual dos fatores abaixo NÃO é fator de risco a ser considerado ao indicar o cardiodesfibrilador implantável?
Provas
Questão presente nas seguintes provas
Paciente hipertenso e diabético, 55 anos, comparece à consulta de controle apresentando níveis tensionais elevados (PA 164/90 mmHg). Atualmente, em uso de
indapamida 1,5 mg MID, olmesartana 40 mg MID, anlodipina 5 mg BID. Exames
laboratoriais evidenciavam Cr 1,4 mg/dL (ClCr 52,62 mL/min), K 4,7 mEq/L.
A conduta mais adequada é:
A conduta mais adequada é:
Provas
Questão presente nas seguintes provas
Em relação ao mieloma múltiplo, é INCORRETO afirmar:
Provas
Questão presente nas seguintes provas
Cadernos
Caderno Container