Foram encontradas 630 questões.
- GestãoGestão de Incidentes de SegurançaResposta a Incidentes
- GestãoGestão de Incidentes de SegurançaISO/IEC 27035: Gerenciamento de Incidentes
Segundo a norma ABNT NBR 27035-3:2021, as fases do processo de operação de resposta a incidentes incluem operações para identificação, avaliação e qualificação de incidentes, coleta de inteligência de ameaças, contenção, erradicação e recuperação de incidentes, análise de incidentes e
Provas
Com relação às transações nos aplicativos de serviço de uma organização, considere:
I. Transmissões incompletas e erros de roteamento.
II. Alterações não autorizadas de mensagens.
III. Divulgação não autorizada.
IV. Duplicação ou reapresentação de mensagem não autorizada.
A norma ABNT NBR 27001:2013 recomenda que as informações envolvidas em transações nos aplicativos de serviços devem ser protegidas para prevenir o que consta de
Provas
Um Técnico está participando da implantação de um sistema de microsserviços e utilizou um Servidor de Borda para proteger os microsserviços expostos contra solicitações de clientes mal-intencionados. Para proteger os serviços expostos e garantir que os clientes sejam confiáveis utilizou protocolos padrão e práticas recomendadas, incluindo um padrão aberto (RFC 7519) que consiste no uso de objetos JSON como uma maneira de transmitir informações com segurança entre as partes. Este padrão é conhecido como JSON
Provas
Analisando as características, vantagens e desvantagens da assinatura digital um Analista concluiu corretamente que
Provas
Considere o seguinte texto:
Nowadays, firewalls are way more sophisticated than they used to be. They are now capable of inspecting the application-level protocols and are often not only deployed at the forefront of the infrastructure but also between each component, to monitor and limit unauthorized accesses.
For the same reason, some container orchestrator tools (such as ....I.... , but also the public cloud providers) offer the possibility to implement the so-called network policies, which are essentially ....II.... acting as a network firewall, hence not allowing (or dropping) unwanted network connections. Firewalls can be hardware appliances (with major vendors including Cisco and Check Point, among others), or even software distributions (such as PFSense and Zeroshell).
(Adaptado de: BONOCORE, Giuseppe. Hands-On Software Architecture with Java. Packt Publishing, 2022)
As lacunas I e II devem ser preenchidas, correta e respectivamente, com
Provas
O protocolo OAuth 2.0 permite que serviços de terceiros troquem informações sem que seja necessário fornecer uma senha. No OAuth 2.0
Provas
Para documentar uma API acessível externamente a partir de um cenário de microsserviços, um Analista utilizou a especificação Swagger. Para cada operação RESTful na API, ele adicionou uma anotação A, juntamente com anotações B no método Java correspondente, para descrever a operação e suas respostas de erro esperadas. As anotações A e B são, respectivamente,
Provas
Para gerenciar a configuração de um panorama do sistema de microsserviços, o Spring Cloud contém o Spring Cloud Config, que fornece o gerenciamento centralizado de arquivos de configuração. O Spring Cloud Config
Provas
O mecanismo de configuração automática baseado em convenção do Spring Boot pode ser iniciado anotando a classe que contém o método principal estático, com a anotação
Provas
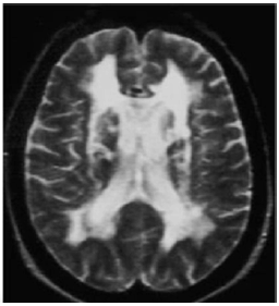
Paciente de 57 anos apresenta quadro de dificuldade motora com lentidão e marcha com pequenos passos e instabilidade postural. Roda denteada ausente. Apresenta dificuldade de encontrar palavras (afasia de expressão) e períodos de confusão mental. Ao longo de 2 anos, foi apresentando declínio cognitivo perceptível e evoluiu com incontinência urinária. A RM apresenta leucoencefalopatia periventricular, acompanhada por múltiplos infartos na substância branca (imagem abaixo). O declínio cognitivo impactou sua funcionalidade tornando-a dependente para atividades instrumentais de vida diária.

A descrição clínica e o exame de imagem sugerem o diagnóstico de Demência
Provas
Caderno Container