Foram encontradas 576 questões.
Respondida
No que concerne ao controle da dor e a analgesia preemptiva,
assinale a opção correta.
Respondida
Com relação a cirurgias perirradiculares e aos aspectos terapêuticos
e farmacológicos relacionados ao procedimento, assinale a opção
correta.
A
Em relação à qualidade do tratamento endodôntico, a indicação
cirúrgica deve ser baseada na possibilidade de reintervenção.
A via convencional sempre deve ser a escolha inicial frente à
abordagem cirúrgica.
B
Em caso de fraturas radiculares, a indicação cirúrgica deve se
basear no nível e no sentido do traço de fratura. Assim, as
fraturas no terço médio e as oblíquas contraindicam o
procedimento cirúrgico.
C
Em relação à reabilitação protética, a indicação cirúrgica se
baseia na resistência mecânica do remanescente radicular.
O procedimento, em situações de amputação apical, deve ser
a ressecção, no máximo, dos últimos 3 mm apicais.
D
Na osteotomia perirradicular, a cirurgia parendodôntica é
indicada somente quando o volume ósseo retirado permite uma
posterior reabilitação por implante.
E
Em situações de infecção na fase aguda ou supurativa, a
profilaxia antibiótica envolve a administração de 1 g de
amoxicilina ou 600 mg de clindamicina, 1 hora antes da
intervenção.
Respondida
As cirurgias mucogengivais são técnicas cirúrgicas idealizadas para
a correção das relações entre a gengiva e a membrana mucosa oral,
em relação a três problemas específicos: gengiva inserida,
vestíbulos rasos e freio interferindo com a gengiva marginal. A
respeito desse assunto, assinale a opção correta.
Respondida
Acerca do diagnóstico e do tratamento de traumatismo
dento-alveolar, assinale a opção correta.
Respondida
Paciente do sexo masculino de vinte e três anos de idade
compareceu ao consultório odontológico portando exames
radiográficos para avaliar a necessidade de fazer um tratamento.
A figura apresentada ilustra a radiografia panorâmica do paciente,
a qual mostra a presença de quatro dentes supranumerários retidos
(representados pelos círculos pontilhados) e terceiros molares
retidos (indicados pelos numerais 1, 2, 3 e 4).
Considerando esse caso clínico e tendo a figura como referência,
assinale a opção correta que corresponde aos procedimentos
cirúrgicos que devem ser adotados pelo odontólogo.
Respondida
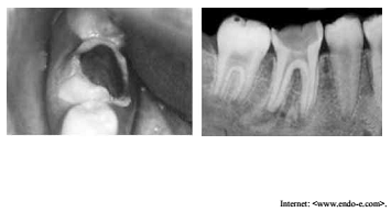
As imagens precedentes referem-se a um paciente com
quatorze anos de idade que procurou atendimento odontológico,
queixando-se da presença de uma gengiva no meio de um dente do
lado direito.
Considerando as imagens apresentadas, assinale a opção correta.
A
A gengiva no meio do dente, a qual o paciente se referiu, é o
tecido conjuntivo da alteração pulpar, que tem características
gerais de tecidos inflamados em fase aguda, com
predominância de linfócitos, plasmócitos e macrófagos
associados a fibroblastos e vasos sanguíneos neoformados,
além de mastócitos.
B
Nesse tipo de lesão, a neoformação vascular proporciona um
rico suplemento sanguíneo e possibilita uma resistência a
infecções quando associada à defesa do indivíduo jovem. Essa
situação pode justificar o fato de a polpa jovem não sofrer
necrose após uma exposição, mas sofrer hiperplasia.
C
No caso relatado, o tecido granulomatoso confere a
característica de reversibilidade da polpa, uma vez que as
fibras nervosas pulpares controlam o fluxo sanguíneo e
participam do processo inflamatório neurogênico.
D
Essa forma aguda de inflamação pulpar, provocada pela cárie,
produziu um tecido de granulação hiperplásico que invade a
câmara pulpar, preenchendo toda a cavidade cariosa.
E
Além da possível sensação de pressão durante a mastigação,
esse pólipo pulpar possui, em geral, sintomatologia dolorosa
espontânea, severa, contínua, exacerbada em posição
horizontal.
Respondida
As imagens precedentes referem-se a um paciente com
quatorze anos de idade que procurou atendimento odontológico,
queixando-se da presença de uma gengiva no meio de um dente do
lado direito.
Ainda com relação às imagens do paciente de quatorze anos de
idade apresentadas anteriormente, assinale a opção correta no que
se refere ao tratamento imediato mais indicado para esse paciente.
A
Deve-se prescrever antibiótico e anti-inflamatório por cinco a
sete dias antes da remoção definitiva da lesão em razão de a
colonização bacteriana ter-se estendido para a porção mais
apical do canal, envolvendo os tecidos periapicais.
B
Deve-se remover parte do tecido pulpar e aplicar um curativo
à base de óxido de zinco e eugenol, com efeito analgésico e
anti-inflamatório. Essa medicação servirá como proteção
pulpar indireta, sobre a qual será confeccionada a restauração
estética.
C
Deve-se extrair o elemento 46 e utilizar um mantenedor de
espaço fixo confeccionado com cerômero reforçado por fibra
de vidro pré-impregnado, cimentado com cimento resinoso,
possibilitando, dessa forma, um tratamento reabilitador no
futuro, após a concretização do crescimento dento facial do
paciente.
D
Deve-se submeter o paciente à remoção completa da polpa
dentária. Consequentemente, o dente perderá toda a sua
capacidade de transmitir estímulos térmicos e mecânicos,
preservando apenas sua capacidade proprioceptiva oriunda do
periodonto.
E
Deve-se remover o pólipo pulpar com broca esférica
diamantada em alta rotação sob isolamento absoluto, e utilizar
hemostático para contenção do sangramento. Em seguida,
deve-se fazer pulpotomia e utilizar formocresol diluído, com
ação bactericida e propriedades de fixação da polpa.
Respondida
As imagens precedentes referem-se a um paciente com
quatorze anos de idade que procurou atendimento odontológico,
queixando-se da presença de uma gengiva no meio de um dente do
lado direito.
Ainda tomando como referência as imagens do paciente
apresentadas anteriormente e considerando os procedimentos
indicados para a reconstrução estética e funcional do dente 46,
assinale a opção correta.
A
O fato de o preparo do dente 46 para receber uma restauração
indireta do tipo onlay ser obrigatoriamente expulsivo e
promover o reforço da estrutura dental remanescente com o
recobrimento de cúspide, torna possível a escolha, por parte do
paciente, entre resina composta ou cerâmica, até o momento de
a moldagem ser enviada ao laboratório para sua confecção.
B
Na restauração direta com resinas compostas
fotopolimerizáveis de incremento único, a grande extensão
vestibulolingual, tanto na face oclusal como nas proximais,
facilita a obtenção do contorno adequado e dos contatos
proximais.
C
A presença de pouco esmalte na margem gengival lingual
indica a necessidade de tratamento cirúrgico periodontal para
ampliação da extensão da gengiva inserida na região do
dente 46, a ser realizado após a adaptação definitiva da
restauração estética.
D
Tanto a restauração direta em resina composta como a
restauração indireta do tipo inlay para o dente 46 passa pelo
mesmo processo de polimerização, que assegura as
propriedades físicas e mecânicas do material. A diferença é
que a primeira é inteiramente intrabucal, enquanto a segunda
é feita em laboratório.
E
O condicionamento interno da superfície da porcelana com
ácido fluorídrico cria microporosidades na restauração
cerâmica, permitindo sua união ao esmalte e à dentina do
dente 46, por meio de cimentos resinosos, o que pode
favorecer a retenção, propiciar resistência à restauração e
minimizar a microinfiltração.
Respondida
Assinale a opção correta relativa às ações de fluoretação destinadas
à prevenção da cárie dentária, no âmbito da saúde pública no Brasil.
Respondida
Com relação às ações destinadas à prevenção e ao controle das
doenças bucais, no âmbito da saúde pública no Brasil, assinale a
opção correta.
A
Para atender aos padrões aceitáveis de saúde periodontal
propostos pela Organização Mundial de Saúde, o serviço
odontológico de âmbito local, estadual ou nacional deve
estabelecer como meta a eliminação de prevalência de placa
dental e de inflamação gengival em uma comunidade ou em
uma população.
B
A prática da odontotomia profilática é considerada eficiente
para utilização em massa porque remove cirurgicamente os
defeitos presentes da formação de esmalte (sulcos e fissuras),
principalmente nas superfícies oclusais, criando uma zona de
fácil limpeza da superfície dos dentes.
C
O ato de remover frequentemente a placa antes de seu
amadurecimento e consequente efeito deletério, por meio da
escovação, representa, para o paciente, a melhor forma de
evitar a instalação e a progressão da doença periodontal.
D
Os programas nacionais de atenção odontólogica demonstram
eficácia no desenvolvimento de estratégias preventivas para a
redução de atendimentos de problemas periodontais em âmbito
nacional.
E
O controle químico da placa bacteriana, por meio da utilização
de solução de clorexidina para bochecho diário, é eficaz como
estratégia de ação preventiva populacional para tratamento e
manutenção da saúde periodontal, porque atua na remoção de
placa bacteriana supra e subgengival.