Magna Concursos

Foram encontradas 1.315 questões.

1735027 Ano: 2006
Disciplina: Odontologia
Banca: CESPE / CEBRASPE
Orgão: TSE

Um dos fatores etiológicos da má oclusão, a perda de dentes decíduos se torna um fato importante a ser prevenido ou interceptado. Com relação à perda dos segundos molares decíduos, julgue os itens a seguir.

I Essa perda não traz comprometimentos a longo prazo.

II Ocorre, com essa perda, uma mesialização dos primeiros molares permanentes.

III Pode ocorrer impacção dos segundos pré-molares permanentes.

Assinale a opção correta.

 

Provas

Questão presente nas seguintes provas
1735026 Ano: 2006
Disciplina: Odontologia
Banca: CESPE / CEBRASPE
Orgão: TSE

As características da condição de normalidade da dentição decídua não incluem

 

Provas

Questão presente nas seguintes provas
1735025 Ano: 2006
Disciplina: Odontologia
Banca: CESPE / CEBRASPE
Orgão: TSE

Na transição da dentadura mista para a permanente, os primeiros molares permanentes podem sofrer ajustes no posicionamento, conforme o padrão esquelético de crescimento e o tamanho dos segundos molares decíduos. Nesse caso, da dentição decídua para a dentição permanente é menos provável que ocorra transição de

 

Provas

Questão presente nas seguintes provas
1735024 Ano: 2006
Disciplina: Odontologia
Banca: CESPE / CEBRASPE
Orgão: TSE

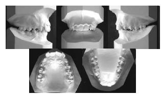
enunciado 287435-1

As figuras apresentadas acima apresentam os moldes das arcadas dentárias de um paciente. Assinale a opção correta quanto à fase da dentição em que o paciente se encontra e o tipo de má oclusão apresentado, de acordo com a classificação proposta por Angle.

 

Provas

Questão presente nas seguintes provas
1735023 Ano: 2006
Disciplina: Odontologia
Banca: CESPE / CEBRASPE
Orgão: TSE

No que se refere às características de um paciente portador de má oclusão de classe II, divisão 1, de Angle, assinale a opção incorreta.

 

Provas

Questão presente nas seguintes provas
1735022 Ano: 2006
Disciplina: Odontologia
Banca: CESPE / CEBRASPE
Orgão: TSE

Com relação ao desgaste seletivo, assinale a opção incorreta.

 

Provas

Questão presente nas seguintes provas
1735021 Ano: 2006
Disciplina: Odontologia
Banca: CESPE / CEBRASPE
Orgão: TSE

Assinale a opção correta relativamente aos determinantes horizontais da morfologia oclusal.

 

Provas

Questão presente nas seguintes provas
1735020 Ano: 2006
Disciplina: Odontologia
Banca: CESPE / CEBRASPE
Orgão: TSE

Acerca dos determinantes verticais da morfologia oclusal, assinale a opção correta.

 

Provas

Questão presente nas seguintes provas
1735019 Ano: 2006
Disciplina: Odontologia
Banca: CESPE / CEBRASPE
Orgão: TSE

enunciado 287430-1

Com relação aos movimentos mandibulares bordejantes no plano horizontal representados no esquema acima, assinale a opção que apresenta a identificação correta dos números de 1 a 4.

 

Provas

Questão presente nas seguintes provas
1735018 Ano: 2006
Disciplina: Odontologia
Banca: CESPE / CEBRASPE
Orgão: TSE

enunciado 287429-1

No gráfico de Posselt acima, que representa os movimentos bordejantes que a mandíbula consegue realizar, os pontos I, II e III correspondem, respectivamente, a

 

Provas

Questão presente nas seguintes provas