Foram encontradas 374 questões.
A cirurgia é uma opção terapêutica reservada
para casos específicos de abscesso pulmonar. A
situação clínica abaixo que indica a necessidade
de tratamento cirúrgico é:
Provas
Questão presente nas seguintes provas
O rastreamento para detecção precoce de câncer
de pulmão utilizando Tomografia
Computadorizada (TC) helicoidal de baixa dose é
recomendado para populações específicas com
base no risco relacionado ao tabagismo e outros
fatores. A alternativa que representa um
paciente que preenche os critérios para o
rastreamento segundo as recomendações da
National Comprehensive Cancer Network
(NCCN) é:
Provas
Questão presente nas seguintes provas
O protocolo ERAS (Enhanced Recovery After
Surgery) é uma abordagem multimodal baseada
em evidências que busca melhorar os resultados
cirúrgicos, reduzindo o tempo de internação
hospitalar e acelerando a recuperação do
paciente. Entre os pilares que compõem o
protocolo ERAS, assinale a alternativa correta.
Provas
Questão presente nas seguintes provas
Um paciente será submetido a uma
colecistectomia videolaparoscópica sob
anestesia geral. Durante a verificação de cirurgia
segura, ele informa que ingeriu os seguintes
alimentos: suco de maçã 2 horas antes do
horário previsto para a cirurgia e uma refeição
leve 5 horas antes. Com base nos tempos
mínimos de jejum recomendados, a conduta
mais apropriada para esse paciente é:
Provas
Questão presente nas seguintes provas
A cirurgia robótica tem se tornado uma
alternativa cada vez mais utilizada em
procedimentos minimamente invasivos. Com
base nas vantagens tecnológicas oferecidas pela
plataforma robótica em comparação à
videolaparoscopia convencional, a característica
abaixo que NÃO representa um benefício
exclusivo da cirurgia robótica é:
Provas
Questão presente nas seguintes provas
Paciente masculino, 28 anos, vítima de acidente
automobilístico em colisão frontal, é admitido no
pronto-socorro hemodinamicamente estável. Na
avaliação inicial, apresenta dor abdominal
difusa, sem sinais de irritação peritoneal. A
Tomografia Computadorizada (TC) de abdome
revelou lesão esplênica grau III com pequeno
hematoma subcapsular, sem extravasamento de
contraste e mínimo líquido livre na cavidade
peritoneal. Foi iniciado Tratamento Não
Operatório (TNO), com monitorização rigorosa
em Unidade de Terapia Intensiva (UTI). Após 12
horas, o paciente evolui com aumento da dor
abdominal, taquicardia (FC 120 bpm),
hipotensão (PA 85/55 mmHg) e queda de 3
pontos nos níveis de hemoglobina. A reavaliação
por ultrassonografia FAST evidenciou líquido
livre na cavidade peritoneal nas três janelas
abdominais. A conduta indicada neste caso é:
Provas
Questão presente nas seguintes provas
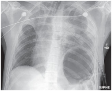
Paciente masculino, 35 anos, vítima de
politraumatismo após acidente automobilístico, é
admitido no pronto-socorro. Ao exame inicial,
apresenta-se intubado e com dreno torácico
inserido no hemitórax esquerdo devido a
suspeita de pneumotórax. Os sinais vitais
incluem pressão arterial de 90/60 mmHg,
frequência cardíaca de 120 bpm, frequência
respiratória de 30 irpm e saturação de oxigênio
de 88% em ventilação mecânica. Foi realizada a
seguinte radiografia de tórax:
Fonte: Sabiston Tratado de Cirurgia / Courtney M.
Townsend et al. 20° edição - Rio de Janeiro:
Elsevier, 2019.
Com base no caso clínico acima e nos achados da imagem, o diagnóstico mais provável é:
Fonte: Sabiston Tratado de Cirurgia / Courtney M.
Townsend et al. 20° edição - Rio de Janeiro:
Elsevier, 2019. Com base no caso clínico acima e nos achados da imagem, o diagnóstico mais provável é:
Provas
Questão presente nas seguintes provas
Paciente masculino, 40 anos, vítima de colisão
veicular em alta velocidade, é admitido
hemodinamicamente estável. A radiografia
inicial de tórax evidenciou mediastino alargado.
Foi realizada angiotomografia de tórax, que
revelou: pseudoaneurisma na aorta
descendente, localizado após o istmo aórtico,
sem sinais de ruptura completa ou hemorragia
significativa. De acordo com a classificação de
Lesões Traumáticas da Aorta (LTCA), o grau
correspondente à lesão apresentada é:
Provas
Questão presente nas seguintes provas
Paciente masculino, 30 anos, vítima de ferimento
penetrante por arma branca no hemitórax
esquerdo, chega ao pronto-socorro
apresentando hipotensão (PA 80/50 mmHg) e
taquicardia (FC 130 bpm). Na avaliação inicial,
foi identificada ausência de murmúrio vesicular
no lado esquerdo. Realizou-se drenagem
torácica com dreno 32F com saída imediata de
1.200 mL de conteúdo hemático e nas últimas 2
horas houve débito de 600ml pelo dreno. Após
1000ml de Ringer lactato o paciente mantém os
mesmos parâmetros citados acima. A conduta
prioritária para o tratamento deste paciente é:
Provas
Questão presente nas seguintes provas
Paciente masculino, 35 anos, apresenta
ferimento penetrante por arma branca na região
cervical anterior, zona 2. O paciente chega ao
pronto-socorro consciente, com dispneia e
hematoma expansivo na região do pescoço,
associado a estridor respiratório. Sinais vitais
revelam: FC 120 bpm; PA 89x62mmHg; FR 32
irpm; e saturação de oxigênio de 83% em ar
ambiente. A prioridade na conduta inicial no
atendimento desse paciente é:
Provas
Questão presente nas seguintes provas
Cadernos
Caderno Container