Foram encontradas 50 questões.
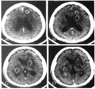
Mulher de 22 anos de idade procurou o pronto-socorro com história de quatro dias de queda do estado geral, rebaixamento de nível de consciência e dois episódios de convulsões tônico-clônicas generalizadas. Exame neurológico na chegada mostrava hemiparesia à esquerda, Glasgow 13, sem sinais de irritação meníngea e com fundo de olho normal. Foi solicitada tomografia computadorizada de crânio, cujas imagens estão apresentadas a seguir. O médico da CCIH foi chamado para o parecer na conduta medicamentosa.


Considerando que a principal hipótese diagnóstica foi confirmada, qual deve ser a conduta?
Provas

Provas
Provas
Provas
A Agência Nacional de Vigilância Sanitária (ANVISA), em 2010, estabeleceu novos princípios básicos para limpeza e desinfecção de superfícies em serviços de saúde.
De acordo com essas recomendações, assinale a alternativa correta.
Provas
Paciente branca, de 32 anos, apresentou placa eritematosa, infiltrada, com uma pústula isolada no centro, no membro inferior direito (região da coxa), com dor e calor no local. Apresentava lesão semelhante, com tamanho menor, na perna esquerda.
O resultado da cultura do conteúdo da pústula revelou o isolamento de Staphylococcus aureus com o seguinte antibiograma:

A partir da interpretação do antibiograma, qual a opção terapêutica correta?
Provas
Provas
Provas
Provas
Provas
Caderno Container