Magna Concursos

Foram encontradas 820 questões.

4000751 Ano: 2025
Disciplina: Medicina
Banca: UFPA
Orgão: UFPA
Homem, 75 anos, hipertenso e diabético, com diagnóstico prévio de insuficiência cardíaca com fração de ejeção reduzida (FEVE = 32%) em uso de nifedipino 20mg/dia, furosemida 40mg/dia e metformina 850mg 3 vezes ao dia. Procura o pronto atendimento por palpitações e dispneia aos esforços moderados. Ao exame físico: pressão arterial 128/78 mmHg, frequência cardíaca irregular em torno de 112 bpm, estertores bibasais discretos, sem edema periférico. ECG confirma fibrilação atrial.
Com base nos critérios de anticoagulação e no manejo da insuficiência cardíaca associado à fibrilação atrial, a conduta mais adequada para este paciente segundo diretrizes da SBC é a seguinte:
 

Provas

Questão presente nas seguintes provas
4000750 Ano: 2025
Disciplina: Medicina
Banca: UFPA
Orgão: UFPA
Sobre o calendário vacinal do idoso, considere as afirmativas seguintes.
I. A vacina pneumocócica 23-valente (polissacarídica) – VPP23 deve ser ofertada no esquema de 3 doses para idosos acamados, institucionalizados ou de população indígena.
II. A vacina adsorvida difteria e tétano adulto (dupla bacteriana adulto) deve ser realizada 1 dose de reforço com dT a cada 10 anos após a última dose do esquema básico, porém deve ser antecipada para 5 anos em caso de exposição ao risco de difteria ou tétano.
III. A vacinação para covid, tal qual a vacinação para influenza, deve ser realizada anualmente para pessoas acima de 60 anos.
Está(ão) correta(s)
 

Provas

Questão presente nas seguintes provas
4000749 Ano: 2025
Disciplina: Medicina
Banca: UFPA
Orgão: UFPA
Gumercindo, portador de cirrose hepática alcoólica há 4 anos, comparece à consulta em UBS do seu bairro. Relata abstinência alcoólica nos últimos dois anos e nunca apresentou episódios de hematêmese ou melena. Encontra-se assintomático no momento, mas traz consigo resultado de endoscopia digestiva alta realizada há 6 meses na qual foram identificadas varizes esofágicas de médio calibre, sem sinais de sangramento recente. Encontra-se em acompanhamento por hipertensão arterial sistêmica, em uso de losartana 100 mg/dia, mas mantém valores pressórico sem torno de 150/95 mmHg, confirmados em diferentes aferições ambulatoriais. No exame físico atual, apresenta pressão arterial de 152/96 mmHg, frequência cardíaca de 82 bpm, ausência de ascite, fígado não palpável, telangiectasias no tronco e circulação colateral discreta, sem edemas periféricos. Exames laboratoriais recentes mostram creatinina de 0,9 mg/dL, bilirrubina total de 1,5mg/dL, INR de 1,3 e albumina sérica de 3,6 g/dL.
Diante do quadro descrito e considerando as comorbidades apresentadas pelo paciente, a conduta mais apropriada para o manejo da hipertensão neste caso é
 

Provas

Questão presente nas seguintes provas
4000748 Ano: 2025
Disciplina: Medicina
Banca: UFPA
Orgão: UFPA
Homem de 68 anos, hipertenso e coronariopata, é internado por quadro de pneumonia comunitária grave. Evolui com hipotensão (PA 80/50 mmHg), taquicardia e débito urinário de 0,3 mL/kg/h nas últimas 8 horas. Ureia: 78 mg/dL; creatinina: 2,2 mg/dL (prévia 0,9 mg/dL). Sódio urinário: 10 mEq/L; FEUrea < 35%. Ultrassonografia de rins e vias urinárias sem dilatações ou alterações estruturais.
Diante do quadro descrito, a conduta imediata mais adequada para manejo da função renal do paciente é a seguinte:
 

Provas

Questão presente nas seguintes provas
4000747 Ano: 2025
Disciplina: Medicina
Banca: UFPA
Orgão: UFPA
À admissão hospitalar do paciente de 42 anos, homem trans, para correção cirúrgica de fratura de tíbia, após acidente automobilístico, é identificada glicemia capilar de 184 mg/dl. O paciente nega antecedente pessoal de hiperglicemia fora do hospital, assim como diabetes mellitus. Tem diagnóstico de asma controlada com uso diário de budesonida e formoterol inalatórios. Paciente nega outras doenças, está assintomático e demais sinais vitais encontram-se normais. Com base no Manejo da hiperglicemia hospitalar em pacientes não críticos da Diretriz Brasileira de Diabetes (2025), a conduta mais adequada seria, além do monitoramento da glicemia capilar (MGC), propor
 

Provas

Questão presente nas seguintes provas
4000746 Ano: 2025
Disciplina: Medicina
Banca: UFPA
Orgão: UFPA
Homem de 68 anos vai à consulta em UBS por queixa de “tontura” há cerca de 1 ano de caráter intermitente, descrita como sensação de instabilidade e turvação visual ao levantar-se da cama, com melhora após deitar-se novamente, que se intensificou no último mês. Nega náuseas, vômitos, tinnitus ou hipoacusia. Faz uso de losartana e nifedipino, cuja dose foi otimizada recentemente. Ao exame físico, apresenta pressão arterial de 135/80 mmHg em decúbito e de 100/65 mmHg após 3minutos em ortostatismo, acompanhada de frequência cardíaca de 102 bpm, sem outras alterações em sinais vitais. Na propedêutica neurológica, a manobra de Dix-Hallpike não desencadeia nistagmo ou sintomas, o teste de Romberg é negativo e o teste de Fukuda não mostra lateropulsão significativa.
Considerando o quadro clínico descrito, o exame complementar indicado para confirmar a hipótese diagnóstica etiológica mais provável é o(a)
 

Provas

Questão presente nas seguintes provas
4000745 Ano: 2025
Disciplina: Medicina
Banca: UFPA
Orgão: UFPA

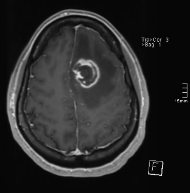
Helena, mulher cis, 56 anos, é levada ao pronto atendimento devido a episódio de fraqueza súbita em membro inferior direito, que dificultou a marcha, há cerca de 6 horas, evoluindo com crises convulsivas. O acompanhante informa que a paciente é acompanhada em UBS por hipertensão arterial, dislipidemia e diabetes mellitus, com antecedente de AVE isquêmico há 8 anos, do qual se recuperou sem déficits. Ao exame neurológico, apresenta Glasgow 14, déficit neurológico focal restrito a membro inferior direito, preservando força nos demais membros, sem alteração de fala, com reflexos pupilares normais, sem desvio de rima labial e ausência de sinais de irritação meníngea. Sinais vitais estáveis, exceto temperatura axilar de 37,7°C. Teste rápido para HIV na admissão foi reagente. Realizada RM de crânio abaixo.

Enunciado 4938421-1

O diagnóstico mais provável para este caso é

 

Provas

Questão presente nas seguintes provas
4000744 Ano: 2025
Disciplina: Medicina
Banca: UFPA
Orgão: UFPA
Paciente de 58 anos, é trazido ao pronto-socorro devido a aumento progressivo do abdome associado à falta de ar que piorou nas últimas 48 horas, dificultando até mesmo a permanência em decúbito dorsal. Ele possui histórico de hipertensão arterial sistêmica, diabetes mellitus tipo 2,dislipidemia e esteatose hepática. Ao exame físico, observa-se: dispneia em repouso mesmo quando sentado, bulhas cardíacas rítmicas em dois tempos e hipofonéticas, murmúrio vesicular diminuído nas bases pulmonares, sem crepitações. O abdome apresenta ascite volumosa, tensa, com piparote positivo e indolor à palpação. Há edema de membros inferiores cacifo positivo 3+/4+bilateralmente. Foi realizada sondagem vesical de demora com débito urinário abundante. Sinais vitais: PA 140/90 mmHg, FC 98 bpm, FR 22 irpm, SpO₂ 96%, temperatura 36,5 °C.
Considerando o quadro clínico, a alternativa que indica a conduta medicamentosa mais adequada para o manejo imediato da ascite neste paciente é a
 

Provas

Questão presente nas seguintes provas
4000743 Ano: 2025
Disciplina: Medicina
Banca: UFPA
Orgão: UFPA

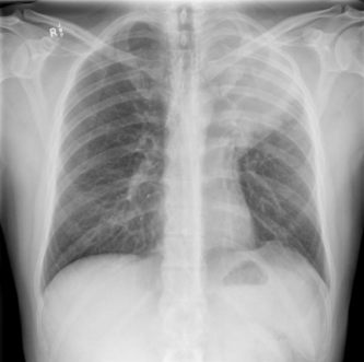
Homem de 30 anos, previamente hígido, farmacêutico, é atendido em ambulatório devido à queixa de tosse seca de mais de 6 meses de evolução. Buscou atendimento, pois vem tendo episódios de febre durante a noite, acompanhados de sudorese profusa, que cessam ao uso de dipirona. Durante anamnese, nega escarro produtivo, hemoptise, dor torácica ou dispneia, mas refere perda de peso discreta no período. No exame físico, evidencia-se adenomegalia de cerva de 2 centímetros em cadeia cervical anterior esquerda, pouco endurecida, aderida a planos profundos, sem sinais flogísticos, além de abaulamento discreto em fossa supraclavicular ipsilateral. Ausculta pulmonar com murmúrio vesicular reduzido, percussão com submacicez e frêmito toracovocal aumentado em ápice esquerdo, além de sibilos discretos em hemitórax esquerdo. Realizou a radiografia abaixo.

Enunciado 4938419-1

Com base no caso acima, a hipótese diagnóstica mais provável para o paciente é

 

Provas

Questão presente nas seguintes provas
4000742 Ano: 2025
Disciplina: Medicina
Banca: UFPA
Orgão: UFPA
Disponibilizado no Brasil em 2024, o LOKELMA® (ciclossilicato de zircônio sódico hidratado) atua promovendo a troca de íons ao longo do trato gastrointestinal, ligando-se ao potássio em troca de sódio e hidrogênio. Esse mecanismo reduz a quantidade de potássio livre na luz intestinal, aumenta sua excreção fecal e, consequentemente, promove a queda dos níveis séricos de potássio, sendo indicado no manejo da hipercalemia. Considerando o mecanismo de ação descrito e os fármacos utilizados para o tratamento da hipercalemia, o medicamento com efeito mais semelhante ao citado acima é a(o)
 

Provas

Questão presente nas seguintes provas