Foram encontradas 30 questões.
Para assegurar um exame confiável de parasitos sanguíneos, as lâminas devem estar livres de sujeira, de gordura e de qualquer detrito; caso contrário, o sangue não adere à lâmina nem se cora adequadamente.
Nessa perspectiva, são condutas corretas quanto ao uso e/ou à manutenção de lâminas microscópicas:
Provas
Observe as figuras abaixo.

Em relação a essas figuras, é correto afirmar:
Provas
Becker e Erlenmeyer são tipos de vidraria muito comuns em laboratório. Em relação às características específicas, desses tipos de vidraria, é correto afirmar:
Provas
A figura abaixo representa um condensador.

No laboratório, esse equipamento é utilizado
Provas
São procedimentos adequados que devem ser adotados, respectivamente, na captura e na conservação de moluscos transmissores da esquistossomose, em áreas endêmicas:
Provas
Para a coleta de flebotomíneos, podem-se utilizar
Provas
Sobre o manejo de triatomíneos criados em laboratório, para pesquisa em doença de Chagas, é correto afirmar que
Provas
São parasitos que podem ser diagnosticados em amostras biológicas de seres humanos ou de animais domésticos:
Provas
Para se proceder ao exame de pulgas, deve-se, primeiramente, submetê-las à temperatura do congelador, o que determina a morte desses insetos. Em caso de suspeita de peste bubônica, o agente a ser pesquisado e o material a ser examinado, são, respectivamente,
Provas
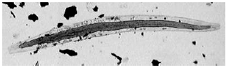
A figura abaixo representa um achado em uma lâmina preparada com sedimento de matéria fecal de um paciente.

Essa forma biológica corresponde a:
Provas
Caderno Container