Foram encontradas 60 questões.
A máscara facial de oxigênio ligada num fluxo de 5-10 litros por minuto gera, em geral, uma FiO2 aproximada de
Provas
No Brasil, o tratamento inicial da rinossinusite bacteriana aguda, considerando não haver contra-indicação é feito com
Provas
O zumbido de maior prevalência na população geral é o de origem
Provas
O câncer de mama é, no Brasil, mais incidente na
Provas
A síndrome dos ovários policísticos consiste na presença de
Provas
No tratamento da crise aguda da asma recomenda-se o uso de corticoesteróide. A retirada gradual da droga faz-se necessária quando utilizada por
Provas
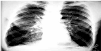
O rX é mais compatível com quadro de

Provas
A rigidez matinal nos quadros de osteoartrose, em geral,
Provas
A foto é mais compatível com quadro de

Provas
Paciente apresenta quadro agudo de oligoartrite em punho e joelhos. Pode-se afirmar que se trata, mais provavelmente, de
Provas
Caderno Container