Foram encontradas 340 questões.
No caso de realizar-se um transplante de medula óssea, as células natural killer e os linfócitos T do doador podem ajudar na destruição de focos de células tumorais e de restos do sistema imunológico do receptor após o transplante. Para que isso aconteça será necessário
Provas
- Banco de Dados RelacionalRestrições de IntegridadeIntegridade Referencial
- Banco de Dados RelacionalTipos de ChavesChave Estrangeira
- Banco de Dados RelacionalTipos de ChavesChave Primária
O conceito básico para identificar linhas e estabelecer relações entre linhas de tabelas em um banco de dados relacional é o da chave. Uma chave é uma coluna ou uma combinação de colunas cujos valores distinguem uma linha das demais dentro de uma tabela, e não aceita valores nulos. Já uma chave é uma coluna ou uma combinação de colunas, cujos valores aparecem necessariamente como identificadores únicos de uma tabela. Esse último tipo de chave possibilita a implementação de relacionamentos em um banco de dados relacional.
Assinale a alternativa que completa, corretamente, as lacunas.
Provas
Em relação ao abdome agudo obstrutivo, afirma-se:
I. A suboclusão do intestino delgado responde bem ao tratamento conservador em cerca de 80% dos casos, mas a ausência de melhora clínica após 24 a 48 horas configura indicação para tratamento cirúrgico.
II. A laparotomia com cecostomia é o tratamento de escolha para a pseudo-obstrução de colon (Síndrome de Olgivie).
III. O achado de leucocitose no hemograma sugere a presença de isquemia intestinal.
Está(ão) correta(s)
Provas
Das principais medidas de diagnóstico e tratamento na eventualidade de transfusão incompatível, assinale a INCORRETA.
Provas
Doença de acúmulo chamada de Wilson está relacionada com que órgão e substância?
Provas
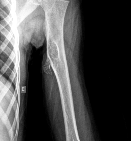
Criança de 5 anos, feminina, apresenta no exame físico área de entumescimento de partes moles no aspecto medial do terço proximal do úmero esquerdo com sinais de estar fixa aos planos profundos e livre em relação à pele e ao subcutâneo, sem sinais flogísticos e quase indolor.
Segue-se imagens de US e Rx do segmento corpóreo.


O quadro clínico e imagenológico sugere
Provas
Sobre o uso clínico da Lidocaína é correto afirmar:
Provas
Para responder, leia o texto destacado a seguir.
TEXTO 01
STENDHAL E NÓS
Luiz Antônio de Assis Brasil
É conhecida a história do jovem protagonista de A Cartuxa de Parma, romance publicado em 1839, de Stendhal. Fabrizio del Dongo, inexperiente, admirador de Napoleão, vê-se inscrito no exército do Grande Corso e, depois de peripécias românticas, vê-se envolvido num tremendo episódio bélico sob o comando do General Ney, assiste a mortes cruéis e é ferido na coxa por uma lança, do que se cura sem problemas.
A partir daí, como diz seu criador literário, Fabrizio se tornou outro homem, "...tanto que fez reflexões profundas sobre as coisas que lhe aconteceram. Deixara de ser uma criança, exceto por uma coisa: o que ele assistira foi uma batalha? e em segundo lugar, essa batalha foi Waterloo?". Quer dizer: ele estivera no maior combate do século 19, aquele que causou a derrota final de Napoleão, aquele que abriu caminho para o redesenho geopolítico da Europa e, no entanto, só bem depois é que Fabrizio ficou sabendo disso.
Ante tudo o que acontece em nosso país e nosso Estado –– e no mundo, aliás –– os cidadãos, embaraçados e muitas vezes sufocados pela culpa e duvidando de sua própria inteligência, sentem que estão perante um momento histórico, do qual não haverá volta e que poderá transformar o mundo, mas cujas ações, métodos e finalidades ainda não estão claras. Talvez seja da essência das manifestações de rua justamente essa não clareza imediata. Sem sucesso, tentamos aplicar paradigmas cartesianos para entendê-las. Do governo espera-se a agilidade e a lucidez para estabelecer pontes de diálogo, pois somente o diálogo permanente e aberto pode traçar ações para responder às perguntas voláteis das ruas; voláteis, mas nem por isso menos idôneas. Talvez esteja na errância propositiva a principal marca do movimento, mas essa é uma explicação pela rama.
Só daqui a algum tempo saberemos, de maneira completa, o que nos ocorre hoje. Tal como Fabrizio del Dongo, estamos em meio a uma batalha –– e, em alguns momentos, batalha literal –– da qual sairemos, todos, com algumas lesões, mas seguramente mais sábios. E não precisaremos pensar em Waterloo.
Disponível em: <http://zerohora.clicrbs.com.br/rs/cultura-e-lazer/segundo-caderno/noticia/2013/07/luiz-antonio-de-assis-brasilstendhal- e-nos-4200795.html>. Acesso em 16 de julho de 2013. (adaptado)
Assinale verdadeiro (V) ou falso (F) nas afirmações sobre o seguinte fragmento:
e, depois de peripécias românticas, vê-se envolvido num tremendo episódio bélico sob o comando do General Ney, assiste a mortes cruéis e é ferido na coxa por uma lança, do que se cura sem problemas.
( ) Em num tremendo episódio bélico, o emprego do artigo indefinido introduz no texto a primeira referência a um conhecido fato histórico.
( ) Em assiste a mortes cruéis, o emprego da preposição decorre de o verbo assumir o sentido de presenciar.
( ) Em é ferido na coxa por uma lança, o emprego da voz passiva auxilia a coesão por manter Fabrizio como o mesmo sujeito gramatical que o das outras orações do fragmento.
A sequência correta é
Provas
Uma lista encadeada circular, com objetivo de armazenar valores inteiros, é composta por nós declarados conforme a estrutura seguinte:

A criação dessa lista é feita através de uma subrotina, que recebe o número n de elementos como parâmetro, e é definida pelo seguinte código:

Com o objetivo de exibir na tela os elementos da lista, foram construídas quatro subrotinas. Todas elas recebem como parâmetro um apontador para um nó da lista e são apresentadas a seguir.
I.

II.

III.

IV.

Considere os objetivos de exibir todos os valores armazenados na lista, sem repetição, e que o programa termine normalmente. Agora, assinale a alternativa que identifica as subrotinas que estão de acordo com esses objetivos.
Provas
Virgínia Apgar, médica anestesiologista obstétrica, em 1953, publicou um método de avaliação do recém-nascido na Sala de Parto. Hoje, após adaptações, é muito conhecido o "Índice de Apgar". Observe o seguinte: uma criança no quinto minuto de vida apresenta características, como
* frequência cardíaca de 105 bpm;
* coloração de pele rósea;
* pouca flexão de membros;
* respiração lenta e irregular;
* ausência de resposta à irritabilidade reflexa.
Então, seu Índice de Apgar é
Provas
Caderno Container