Foram encontradas 50 questões.
Assinale a alternativa que apresenta apenas resíduos do grupo C.
Provas
O processo de filtragem que usa uma membrana semipermeável para remover as impurezas presentes na água, como sais e outras partículas, denomina-se
Provas
Os resíduos do serviço de saúde que devem ser destinados para sepultamento, cremação, incineração ou outra destinação licenciada pelo órgão ambiental competente pertencem ao grupo de resíduos
Provas
Sobre os resíduos do serviço de saúde (RSS), assinale a alternativa correta.
Provas
Em relação à ficha de segurança laboratorial de produtos biológicos e químicos (FISPQ), o responsável por informar e treinar os trabalhadores sobre, no mínimo, identificação do produto, composição, identificação dos perigos, medidas de primeiros socorros, medidas de combate a incêndio, medidas de controle para derramamento ou vazamento, instruções para manuseio e armazenamento e medidas de controle de exposição e proteção individual é o
Provas
Sobre a ficha de segurança laboratorial de produtos biológicos e químicos (FISPQ), analise as assertivas e assinale a alternativa que aponta as corretas.
I. A FISPQ é um documento confidencial, porém, para não comprometer a saúde e a segurança dos usuários e a proteção do meio ambiente, as informações referentes ao(s) perigo(s) de substância(s) ou mistura(s), ainda que consideradas confidenciais, devem ser fornecidas.
II. Na FISPQ, não é necessário informar a composição completa do produto químico.
III. O fornecedor deve tornar disponível ao receptor/usuário uma FISPQ completa, na qual estão relatadas informações pertinentes quanto à segurança, à saúde e ao meio ambiente.
IV. O fornecedor tem o dever de manter a FISPQ sempre atualizada e tornar disponível ao usuário/receptor a edição mais recente.
Provas
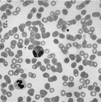
A imagem a seguir mostra uma lâmina de tecido sanguíneo. A respeito do material observado, assinale a alternativa correta.

Provas
Relacione as colunas e assinale a alternativa com a sequência correta.
- Corante basófilo que se comporta como cátion e tem caráter básico.
- De modo geral, as células e os tecidos dos cortes que contêm muitos grupos básicos têm afinidade com esse corante e se coram em rosa.
- Solução saturada de ácido pícrico para análise das fibras de colágeno tipo I e tipo III simultaneamente.
( ) Eosina.
( ) Picrosirius red.
( ) Hematoxilina e azul de metileno.
Provas
A criomicrotomia é uma técnica utilizada para a obtenção de cortes histológicos. Ela é indicada especialmente
Provas
Um técnico deve realizar a coloração de um material que foi submetido a cortes histológicos. Para isso, ele deve retirar a parafina e submeter o material a sucessivos banhos em xilol e álcool. O processo que ele realizará denomina-se
Provas
Caderno Container