Foram encontradas 30 questões.
Paciente feminina de 60 anos chega ao consultório queixando de dor abdominal há 6 anos. Vem fazendo uso de simeticona e analgésicos (dipirona e paracetamol), com melhora parcial e momentânea. Quando dorme, os sintomas melhoram. Evacua diariamente, classificando suas fezes como escala 2 de Bristol. A dor por vezes piora com a evacuação, mas na maioria das vezes, não interfere. História patológica pregressa: hipertensão arterial sistêmica em uso regular de hidroclorotiazida. Câncer de colo do útero aos 30 anos tratada com histerectomia total somado à quimioterapia (é considerada curada), por esse motivo, não teve filhos. A colonoscopia da paciente não evidenciou alterações. Sobre o quadro, é INCORRETO:
Provas
Paciente masculino, 64 anos, veio encaminhado para avaliação de quadro de fraqueza, perda de peso (23Kgs nos últimos seis meses) e evacuações diarreicas cerca de 20x ao dia, sem muco, sangue ou pus. Em uso domiciliar de glicazida 60mg ao dia devido a diagnóstico recente de diabetes. Ao exame físico emagrecido, com índice de massa corpórea de 15 Kg/m² , com placas orais sugestivas de monilíase, erosões crostosas e placas amarronzadas no dorso e membros, com fígado endurecido, palpável a 4 cm do rebordo costal direito. Exames laboratoriais evidenciaram anemia normocítica e normocromica, discreta plaquetose, hipoalbuminemia, com sorologias para hepatites virais e HIV negativas. Exame de fezes com gap osmolar fecal de 5,02 Osm / kg H2O, ausência de hemácias, leucócitos, leveduras, ácidos graxos, helmintos ou protozoários. Tomografia contrastada de abdome mostrou lesão sólida com captação de contraste de 2,4cm em corpo / cauda de pâncreas e múltiplas lesões nodulares hepáticas, estas evidenciadas na figura a seguir:

Com relação a este caso é correto afirmar:
Provas
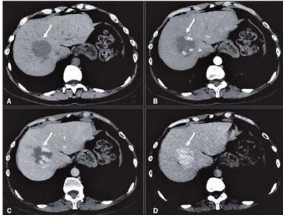
Os cortes abaixo são de uma tomografia computadorizada com contraste para avaliação de uma lesão focal hepática. Analise as imagens e marque a afirmação correta sobre a lesão focal encontrada.

Provas
Paciente feminina, 34 anos, eutrófica, veio encaminhada para avaliação de doença hepática colestática. Nega uso de medicações, chás ou suplementos. Referiu antecedente de colecistectomia por videolaparoscopia há 5 anos por litíase biliar sintomática, sem intercorrências, porém com episódios posteriores de dor em cólica em abdome superior. Ressonância magnética de abdome com irregularidades difusas de vias biliares, associadas a falhas de enchimento na colangiografia, compatível com litíase intra-hepática. Investigação sérica de hepatites virais, autoanticorpos hepáticos, perfil de cobre, ferro e dosagem de alfa 1 antitripsina sem alterações relevantes. Endoscopia digestiva alta e colonoscopia normais. Apresenta elevação de fosfatase alcalina e gama glutamil transferase. Qual a principal hipótese diagnóstica?
Provas
Das alternativas a seguir, qual faz parte dos critérios de ROMA IV para diagnóstico de constipação funcional:
Provas
Homem com 55 anos queixava-se de fraqueza e desconforto inespecífico em hipocôndrio direito há 6 meses. Negava edema, aumento do volume abdominal, ascite, hemorragia digestiva, icterícia, prurido, febre ou perda de peso. Exames mostravam elevação de transaminases, fosfatase alcalina e gama glutamil transferase, todas 2x o limite superior da normalidade. Sorologias virais, fator anti-núcleo e antimitocôndria eram negativos e colangiorressonância era normal. Tinha eletroforese de proteínas séricas com discreta elevação policlonal da fração gama. A biópsia do fígado mostrou hepatite granulomatosa, sem agressão biliar, sem plasmócitos ou rosetas hepatocitárias. Diante da principal hipótese diagnóstica, marque a alternativa que contenha, respectivamente, um exame complementar que reforce essa hipótese / possível opção terapêutica:
Provas
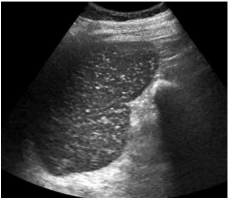
Homem de 68 anos refere diversos episódios prévios de hemorragia digestiva alta por varizes esofágicas. Conta ter tratado esquistossomose há muito tempo. Diz que o seu baço é grande há vários anos. Na ultrassonografia de abdome, foram evidenciadas imagens no parênquima esplênico (foto). A que correspondem essas imagens?

Provas
Paciente 35 anos apresentou quadro de prurido e icterícia com elevação de enzimas hepáticas canaliculares (8x o limite superior) há 1 mês, além de linfadenomegalia cervical e inguinal. Negava febre, uso de medicamentos, chás/ervas e perdeu 3 kg. Iniciou ácido ursodesoxicólico e colestiramina, com melhora parcial do prurido e das enzimas hepáticas. Sorologias para HIV e hepatites eram virais negativas, bem como fator anti-núcleo, anticorpos antimúsculo liso, antimitocôndria e anti-LKM. Ressonância magnetica de abdome contrastada com colangiorressonância era normal. Foi realizada exérese de linfonodo cervical e a histologia foi compatível com linfoma de Hodgkin. Biópsia hepática: infiltrado inflamatório linfocitário periportal leve, sem atipias, com ductopenia acentuada, sendo evidenciados menos de 50% dos ductos biliares originais, com intensa reação ductular. Não foi descrita a presença de granulomas, emperipolese ou rosetas hepatocitárias; também não se evidenciou infiltração do linfoma no fragmento hepático. Assinale a alternativa que contém respectivamente diagnóstico / possível fator causal:
Provas
Feminina, 65 anos, iniciou quadro de diarreia há 4 meses, após quadro de trombose de veia porta. Na investigação com equipe de hematologia e hepatologia, não foi identificado fator causal. A diarreia ocorria em vários episódios ao dia, sem sangue ou pus. Durante a noite acordava 1 ou 2 vezes para evacuar. Colonoscopia realizada descreve enantema de reto, sigmoide e cólon descendente, com apagamento da trama vascular submucosa, poupando os 5cm de reto distal. Estudo histopatológico evidencia distorção da arquitetura das criptas com infiltrado inflamatório transmucoso e discreto sinal de criptite. Quanto ao diagnóstico e terapia, podemos afirmar que:
Provas
Homem, 51 anos, realizou medida de gradiente de pressão venosa hepática (HVPG) para avaliação de hipertensão portal. O traçado do exame realizado se encontra a seguir:

Qual etiologia de hipertensão portal abaixo é compatível com este traçado?
Provas
Caderno Container