Magna Concursos

Foram encontradas 1.460 questões.

2896335 Ano: 2023
Disciplina: Biologia
Banca: VUNESP
Orgão: UNICAMP
Provas:

Em relação aos testes de coagulação, podemos afirmar que

 

Provas

Questão presente nas seguintes provas
2896334 Ano: 2023
Disciplina: Biologia
Banca: VUNESP
Orgão: UNICAMP
Provas:

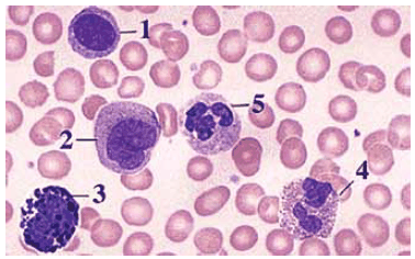
Assinale a alternativa correta das células identificadas com as numerações de 1 a 5, de forma sequencial crescente.

Enunciado 3161352-1

 

Provas

Questão presente nas seguintes provas
2896333 Ano: 2023
Disciplina: Biologia
Banca: VUNESP
Orgão: UNICAMP
Provas:

Assinale a alternativa correta.

 

Provas

Questão presente nas seguintes provas
2896332 Ano: 2023
Disciplina: Biologia
Banca: VUNESP
Orgão: UNICAMP
Provas:

Assinale a alternativa correta quanto aos processos automatizados para realização de exames nas diversas especialidades laboratoriais.

 

Provas

Questão presente nas seguintes provas
2896331 Ano: 2023
Disciplina: Biologia
Banca: VUNESP
Orgão: UNICAMP
Provas:

Em relação a preparação de soluções e reagentes, podemos afirmar que:

 

Provas

Questão presente nas seguintes provas
2896330 Ano: 2023
Disciplina: Biologia
Banca: VUNESP
Orgão: UNICAMP
Provas:

Para se obter 200 mL de uma solução a 5% de sulfato de zinco, a partir de um frasco de 1.000 mL a 20% dessa mesma substância, serão necessários quantos mililitros (mL) da solução original e água destilada, respectivamente?

 

Provas

Questão presente nas seguintes provas
2896329 Ano: 2023
Disciplina: Biologia
Banca: VUNESP
Orgão: UNICAMP
Provas:

Baseando-se na descrição a seguir, assinale a alternativa correta quanto as metodologias utilizadas rotineiramente em laboratórios clínicos: “medem a concentração de partículas grandes, por exemplo, complexo antígeno-anticorpo, sendo que se baseiam na dispersão de partículas em suspensão, ou seja, quando um feixe de luz colimado atinge uma partícula em suspensão, porções da luz são absorvidas, refletidas ou dispersas pela solução particulada. Mede-se, portanto, a luz dispersa ou a redução de luz devido à formação de partículas”.

 

Provas

Questão presente nas seguintes provas
2896328 Ano: 2023
Disciplina: Biologia
Banca: VUNESP
Orgão: UNICAMP
Provas:

Utilizando a Lei de Beer-Lambert ou simplesmente Lei de Beer, calcule a concentração de ureia no soro com base nas informações a seguir, referentes a um método enzimático-colorimétrico.

Absorbância da Amostra = 0,30.

Absorbância do Padrão = 0,45.

Concentração do Padrão = 60 mg/dL.

Linearidade = 200 mg/dL.

Sensibilidade = 3 mg/dL.

Comprimento de onda = 580 nm.

 

Provas

Questão presente nas seguintes provas
2896327 Ano: 2023
Disciplina: Biologia
Banca: VUNESP
Orgão: UNICAMP
Provas:

Qual o método estatístico que é utilizado para avaliação de ensaios quantitativos, recomendado para pequenas amostragens (n !$ \le !$ 30), demonstrando a média das diferenças entre duas populações de dados e validando ou invalidando a hipótese de que a diferença é significativa a partir do nível de confiança estabelecido, geralmente de 0,05 ou 5%?

 

Provas

Questão presente nas seguintes provas
2896326 Ano: 2023
Disciplina: Biologia
Banca: VUNESP
Orgão: UNICAMP
Provas:

Quais analitos abaixo sofrem interferência do ciclo circadiano e exigem recomendações específicas quanto à coleta?

 

Provas

Questão presente nas seguintes provas