Foram encontradas 1.460 questões.
Criança de 4 anos é atendida na unidade de saúde com o dor abdominal recorrente. O quadro é pior pela manhã antes ir para escola, mas retorna outras vezes ao longo do dia. Em alguns momentos, ela chora de dor e agora não quer ir para a escola com medo de a dor retornar.
Nesse momento, é correto afirmar que
Provas
Em uma criança que apresenta descamação gordurosa e amarela do couro cabeludo e manchas eritematosas no pescoço e dobras axilares, a etiologia mais provável é infecção por
Provas
Mulher solteira nulípara de 31 anos se apresenta para um exame periódico de saúde. Ela não tem sintomas ginecológicos e sua última menstruação foi há 3 semanas. Relata que usa anticoncepcional oral e tem ciclos regulares. O exame de Papanicolau realizado há 2 semanas mostra neoplasia intraepitelial escamosa de alto grau.
Nesse momento, a conduta inicial correta é
Provas
Considerando um paciente com anemia ferropriva que inicia o tratamento com ferro oral, qual teste será o primeiro a indicar que o paciente está respondendo?
Provas
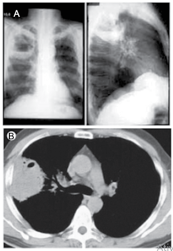
Mulher de 85 anos, portadora de distúrbio crônico da deglutição, com vários episódios anteriores de aspiração e engasgos, procurou o pronto-socorro por apresentar febre alta, tosse produtiva (“catarro espesso”), dor torácica à direita e dispneia há uma semana. Na admissão: temp. ax. 38,0 ºC, sat.O2: 90%; PA: 125x85 mmHg; FC: 98 bpm. Após as medidas iniciais de estabilização e reanimação, foram realizados exames de imagem demonstrados a seguir.

Com base nos dados clínicos e exames demonstrados, o diagnóstico da paciente é:
Provas
Com relação ao timoma, um tipo de neoplasia primária mediastinal, assinale a alternativa correta.
Provas
Com relação aos tumores carcinoides pulmonares, assinale a alternativa correta.
Provas
O papel da metastasectomia pulmonar (MP) em pacientes com câncer colorretal tem sido discutido em vários estudos nos últimos anos.
Com relação a este tema, assinale a alternativa correta.
Provas
O procedimento de Chamberlain é indicado na seguinte situação:
Provas
Empiema pleural é uma infecção do espaço pleural que comumente corresponde a um exsudato.
Sobre seu manejo, assinale a alternativa correta.
Provas
Caderno Container