Foram encontradas 1.045 questões.
A assincronia ventilatória ocorre quando há uma interferência de diferentes fatores relacionados, tanto com o
paciente como com o ventilador mecânico. Dessa forma,
assinale a alternativa que define corretamente o tipo de
assincronia, bem como suas causas.
Provas
Questão presente nas seguintes provas
De acordo com o caso clínico apresentado a seguir, responda
a questão.
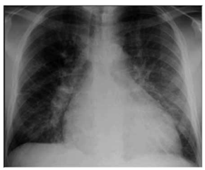
Paciente do sexo masculino, 57 anos de idade, acompanhado pela esposa, procurou serviço de urgência por dispneia aos pequenos esforços, edema de membros inferiores,
diminuição do volume urinário, tosse seca associada a dispneia progressiva. Os sintomas se iniciaram há, aproximadamente, 6 meses, com dispneia seguida de edema. A dispneia,
que era aos esforços moderados, rapidamente progrediu até
estar presente no repouso. À ausculta pulmonar apresentou
roncos e estertores em bases pulmonares. Ao raio X apresentou a radiografia a seguir:

(Arquivo pessoal, imagem usada com autorização)
Provas
Questão presente nas seguintes provas
De acordo com o caso clínico apresentado a seguir, responda
a questão.
Paciente do sexo masculino, 57 anos de idade, acompanhado pela esposa, procurou serviço de urgência por dispneia aos pequenos esforços, edema de membros inferiores,
diminuição do volume urinário, tosse seca associada a dispneia progressiva. Os sintomas se iniciaram há, aproximadamente, 6 meses, com dispneia seguida de edema. A dispneia,
que era aos esforços moderados, rapidamente progrediu até
estar presente no repouso. À ausculta pulmonar apresentou
roncos e estertores em bases pulmonares. Ao raio X apresentou a radiografia a seguir:

(Arquivo pessoal, imagem usada com autorização)
Provas
Questão presente nas seguintes provas
De acordo com o caso clínico apresentado a seguir, responda
a questão.
Paciente do sexo masculino, 57 anos de idade, acompanhado pela esposa, procurou serviço de urgência por dispneia aos pequenos esforços, edema de membros inferiores,
diminuição do volume urinário, tosse seca associada a dispneia progressiva. Os sintomas se iniciaram há, aproximadamente, 6 meses, com dispneia seguida de edema. A dispneia,
que era aos esforços moderados, rapidamente progrediu até
estar presente no repouso. À ausculta pulmonar apresentou
roncos e estertores em bases pulmonares. Ao raio X apresentou a radiografia a seguir:

(Arquivo pessoal, imagem usada com autorização)
Provas
Questão presente nas seguintes provas
A mensuração das pressões inspiratórias e expiratórias
máximas são medidas ventilatórias simples utilizadas
para avaliação muscular respiratória. São contraindicações absolutas e relativas para sua realização:
Provas
Questão presente nas seguintes provas
Em relação aos dispositivos de oxigenioterapia, correlacione a coluna I e II e assinale a alternativa que define,
corretamente, as suas características.
COLUNA I:
I. Cânula nasal.
II. Máscara de Venturi.
III. Máscara com reservatório.
IV. Máscara de macronebulização.
COLUNA II:
A – Alto fluxo, utiliza fluxos de 6-15 L/min, gerando FiO2 de até 40%, permite umidificação, também conhecida como “tenda”, produz ruído excessivo e possui alta dispersão de partículas IV.
B – Baixo fluxo, utiliza fluxos de 1 a 5 L/min, preenche toda via aérea, permite que o gás entre a cada respiração, pode ser usada com umidificação, porém pode causar ressecamento, dermatites e sangramento I.
C – Alto fluxo, utiliza fluxos de 10 a 15 L/min, gerando FiO2 de 50 a 100%, também conhecida como máscara não reinalante, produz pouca dispersão de partículas, fluido excessivo e não se utiliza umidificação III.
D – Baixo ou alto fluxo, utiliza fluxos de 3 a 15 L/min, gerando FiO2 de 24 a 50%, fácil adaptação e concentração de O2 conhecida, produz ruído excessivo e favorece dispersão de partículas II.
COLUNA I:
I. Cânula nasal.
II. Máscara de Venturi.
III. Máscara com reservatório.
IV. Máscara de macronebulização.
COLUNA II:
A – Alto fluxo, utiliza fluxos de 6-15 L/min, gerando FiO2 de até 40%, permite umidificação, também conhecida como “tenda”, produz ruído excessivo e possui alta dispersão de partículas IV.
B – Baixo fluxo, utiliza fluxos de 1 a 5 L/min, preenche toda via aérea, permite que o gás entre a cada respiração, pode ser usada com umidificação, porém pode causar ressecamento, dermatites e sangramento I.
C – Alto fluxo, utiliza fluxos de 10 a 15 L/min, gerando FiO2 de 50 a 100%, também conhecida como máscara não reinalante, produz pouca dispersão de partículas, fluido excessivo e não se utiliza umidificação III.
D – Baixo ou alto fluxo, utiliza fluxos de 3 a 15 L/min, gerando FiO2 de 24 a 50%, fácil adaptação e concentração de O2 conhecida, produz ruído excessivo e favorece dispersão de partículas II.
Provas
Questão presente nas seguintes provas
Os trocadores de calor e umidade Heat and Moisture
Exchangers (HMEs) são dispositivos colocados entre o
tubo endotraqueal e o circuito do ventilador do paciente,
a fim de umidificar a via aérea do paciente. Em relação às
suas características, temos:
Provas
Questão presente nas seguintes provas
Durante o procedimento da intubação orotraqueal,
podem ocorrer efeitos adversos que são decorrentes da
estimulação da laringe durante a laringoscopia. Assinale
a alternativa que contém as principais alterações durante
esse procedimento.
Provas
Questão presente nas seguintes provas
O ciclo ativo da respiração é um procedimento muito
empregado pela fisioterapia em ambiente hospitalar e
consiste em:
Provas
Questão presente nas seguintes provas
As barreiras potenciais para a mobilização na UTI podem
ser relacionadas a sintomas e condições do paciente.
Correlacione a coluna I e II em relação ao tipo de barreiras e suas características.
I – Barreiras:
1 – Relacionadas ao Paciente.
2 – Organizacionais.
3 – Culturais.
4 – Relacionadas ao processo.
II – Características:
A – Falta de planejamento e organização, risco para os funcionários (estresse e lesão), rastreio diário ausente e ordem de repouso prolongada.
B – Instabilidades gerais, dor, delirium e sedação profunda.
C – Falta de programa, protocolo de mobilidade precoce, equipamento limitado e alta precoce.
D – Falta de conhecimento sobre os riscos, falta de apoio e engajamento dos profissionais e mobilidade não é prioridade.
I – Barreiras:
1 – Relacionadas ao Paciente.
2 – Organizacionais.
3 – Culturais.
4 – Relacionadas ao processo.
II – Características:
A – Falta de planejamento e organização, risco para os funcionários (estresse e lesão), rastreio diário ausente e ordem de repouso prolongada.
B – Instabilidades gerais, dor, delirium e sedação profunda.
C – Falta de programa, protocolo de mobilidade precoce, equipamento limitado e alta precoce.
D – Falta de conhecimento sobre os riscos, falta de apoio e engajamento dos profissionais e mobilidade não é prioridade.
Provas
Questão presente nas seguintes provas
Cadernos
Caderno Container