Magna Concursos

Foram encontradas 40 questões.

3654444 Ano: 2025
Disciplina: Medicina
Banca: VUNESP
Orgão: UNIFESP
O tipo mais comum de hérnia diafragmática congênita é causado por
 

Provas

Questão presente nas seguintes provas
3654443 Ano: 2025
Disciplina: Medicina
Banca: VUNESP
Orgão: UNIFESP
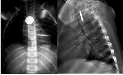
Menina de 3 anos, há uma hora, engoliu um corpo estranho enquanto brincava sozinha em seu quarto. Ninguém presenciou a ingestão. Desde então, apresenta disfagia, sem sialorreia e sem nenhum outro sintoma. As radiografias de tórax realizadas estão apresentadas na imagem a seguir.

Enunciado 4377314-1
(Arquivo pessoal; imagem usada com autorização)

A conduta é:
 

Provas

Questão presente nas seguintes provas
3654442 Ano: 2025
Disciplina: Medicina
Banca: VUNESP
Orgão: UNIFESP
A associação de onfalocele com defeitos no diafragma central e no esterno, malformações cardíacas e no pericárdio caracterizam a:
 

Provas

Questão presente nas seguintes provas
3654441 Ano: 2025
Disciplina: Medicina
Banca: VUNESP
Orgão: UNIFESP
Em relação às malformações congênitas das vias aéreas pulmonares (MCVAPs), assinale a alternativa correta.
 

Provas

Questão presente nas seguintes provas
3654440 Ano: 2025
Disciplina: Medicina
Banca: VUNESP
Orgão: UNIFESP
Recém-nascido com 25 dias de vida apresentou quadro súbito de abdome agudo inflamatório. Foi submetido à laparotomia exploradora que identificou apendicite aguda, tratada por apendicectomia e limpeza da cavidade abdominal.

Associa-se à apendicite no período neonatal:
 

Provas

Questão presente nas seguintes provas
3654439 Ano: 2025
Disciplina: Medicina
Banca: VUNESP
Orgão: UNIFESP
Menina de 10 meses está em avaliação pré-operatória para tratamento cirúrgico de malformação anorretal (cloaca). No exame perineal, identifica-se a seguinte lesão.

Enunciado 4377310-1
(Arquivo pessoal; imagem usada com autorização)

A suspeita diagnóstica é de:
 

Provas

Questão presente nas seguintes provas
3654438 Ano: 2025
Disciplina: Medicina
Banca: VUNESP
Orgão: UNIFESP
A oclusão traqueal pré-natal é uma estratégia de tratamento válida para
 

Provas

Questão presente nas seguintes provas
3654437 Ano: 2025
Disciplina: Medicina
Banca: VUNESP
Orgão: UNIFESP
O procedimento de Ladd é o tratamento cirúrgico clássico para má rotação intestinal e envolve
 

Provas

Questão presente nas seguintes provas
3654436 Ano: 2025
Disciplina: Medicina
Banca: VUNESP
Orgão: UNIFESP
Em relação à válvula de uretra posterior (VUP) em um menino, assinale a alternativa correta.
 

Provas

Questão presente nas seguintes provas
3654435 Ano: 2025
Disciplina: Medicina
Banca: VUNESP
Orgão: UNIFESP
Em pacientes submetidos ao tratamento cirúrgico para doença de Hirschsprung, a incidência de complicações funcionais a longo prazo ainda é considerada elevada e incluem constipação intestinal, escapes fecais e enterocolite.

Assinale a alternativa que apresenta uma conduta que pode influenciar nos resultados pós-operatórios, evitando essas complicações.
 

Provas

Questão presente nas seguintes provas