Foram encontradas 40 questões.
O tratamento indicado para pacientes com empiema
tuberculoso em fase III (classificação da ATS), com condições clínicas e respiratórias precárias, é:
Provas
Questão presente nas seguintes provas
Paciente do sexo masculino, de 21 anos, altura de
1,90 m, IMC: 19 kg/m2, apresenta-se no pronto-socorro
com queixa de dor torácica de início súbito, ventilatório-dependente, em hemitórax esquerdo, após crise de riso
intenso, há duas horas. Nega dispneia. Relata episódio
semelhante, que se resolveu espontaneamente em três
dias, há seis meses. Exame físico: murmúrio vesicular
discretamente diminuído em ápice de hemitórax esquerdo
anterior. Demais parâmetros de exame físico dentro da
normalidade.
Assinale a alternativa que apresenta corretamente a etiologia do quadro apresentado.
Assinale a alternativa que apresenta corretamente a etiologia do quadro apresentado.
Provas
Questão presente nas seguintes provas
Paciente com derrame pleural neoplásico, Karnofsky
Performance Status (KPS) > 70, é submetido à drenagem pleural, porém o pulmão permanece encarcerado e
o débito do dreno é de 400 mL por dia.
A conduta adequada para esse paciente consiste em
A conduta adequada para esse paciente consiste em
Provas
Questão presente nas seguintes provas
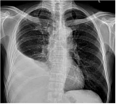
Paciente de 28 anos, procedente de zona de garimpo,
tabagista e etilista, apresenta queixa de tosse seca e dor
torácica à direita há trinta dias, com febre esporádica.
Apresenta episódios de tosse com secreção amarelada
e laivos de sangue há dez dias, sem melhora ou piora.
Emagreceu 6 kg no período de quarenta dias. Exame
físico: emagrecido, Tax: 37,4 ºC, submacicez e murmúrio
vesicular diminuído em base do hemitórax direito.
Radiografia de tórax a seguir:
(Arquivo pessoal; imagem usada com autorização)
O diagnóstico e a conduta corretos são, respectivamente:
Radiografia de tórax a seguir:
(Arquivo pessoal; imagem usada com autorização)
O diagnóstico e a conduta corretos são, respectivamente:
Provas
Questão presente nas seguintes provas
Paciente de 36 anos, do sexo masculino, internado em
unidade de terapia intensiva por dez dias, foi submetido
a intubação traqueal por cinco dias, devido a covid-19, há
cerca de quarenta dias. Ingressa em serviço de cirurgia
torácica com dispneia leve, tosse irritativa, desproporção
entre o que parece que o paciente tem de secreção e o
que ele expectora, roncos e sibilos em região paraesternal.
O diagnóstico e a conduta corretos são, respectivamente:
O diagnóstico e a conduta corretos são, respectivamente:
Provas
Questão presente nas seguintes provas
Um paciente foi submetido a pneumonectomia direita por
carcinoma espinocelular em brônquio principal. Quarenta
dias após a operação, relata dispneia aos médios esforços.
Exame físico: murmúrio vesicular abolido em região posterior de hemitórax direito e audível na região anterior. Som
semelhante a cornagem na ausculta do tórax à inspiração
profunda. Desvio dos focos das bulhas cardíacas para a
direita. Esforço expiratório moderado.
Esse paciente apresenta
Esse paciente apresenta
Provas
Questão presente nas seguintes provas
Paciente de 60 anos tem adenocarcinoma de pulmão em
lobo superior esquerdo. Mediastinoscopia negativa.
Com base nesses dados, assinale a alternativa que apresenta corretamente um contexto no qual a lobectomia pulmonar proposta poderia ser realizada (de forma não proibitiva), mas potencialmente com alto risco de complicações.
Com base nesses dados, assinale a alternativa que apresenta corretamente um contexto no qual a lobectomia pulmonar proposta poderia ser realizada (de forma não proibitiva), mas potencialmente com alto risco de complicações.
Provas
Questão presente nas seguintes provas
Paciente, com 32 anos de idade, apresenta queixa de
tosse irritativa há três meses, há uma semana com
escarro amarelado e laivos de sangue. Ausculta pulmonar com murmúrio vesicular diminuído em ápice pulmonar
direito. Radiografia de tórax revela atelectasia de lobo
superior direito. Tomografia de tórax: atelectasia de LSD e
lesão exofítica em óstio de brônquio lobar superior direito.
Broncoscopia: lesão avermelhada, superfície lisa, não infiltrativa, com protrusão pelo óstio de lobo superior direito,
não permitindo a passagem do aparelho para o brônquio
lobar superior direito. Brônquio intermediário livre e sem
sinais de infiltração. Biópsia: agrupamentos de pequenas
células, com cromatina pontilhada, moderada quantidade
de citoplasma e raras mitoses.
De acordo com o quadro clínico e os aspectos de imagem, de broncoscopia e do anatomopatológico, o diagnóstico e a conduta correta são, respectivamente:
De acordo com o quadro clínico e os aspectos de imagem, de broncoscopia e do anatomopatológico, o diagnóstico e a conduta correta são, respectivamente:
Provas
Questão presente nas seguintes provas
É um preditor adequado para complicações pós-operatórias e para a investigação pré-operatória inicial, em pacientes enfisematosos candidatos a ressecção pulmonar
por câncer de pulmão,
Provas
Questão presente nas seguintes provas
Paciente de 65 anos, hipertenso e tabagista, está em
preparação pré-operatória para lobectomia superior
esquerda por carcinoma espinocelular de pulmão, medindo 3,0 x 2,0 x 2,0 cm. PET/CT: pulmões expandidos,
lesão única, localizada centralmente no lobo superior
esquerdo (LSE), captante, apenas no LSE. Sem sinais
de captações anômalas em outros sítios, incluindo no
mediastino.
A prova de função pulmonar evidencia o seguinte:
Para o pós-operatório (PPO) desse paciente, a estimativa do valor predito é igual a
A prova de função pulmonar evidencia o seguinte:
Para o pós-operatório (PPO) desse paciente, a estimativa do valor predito é igual a
Provas
Questão presente nas seguintes provas
Cadernos
Caderno Container