Foram encontradas 40 questões.
Observe a figura a seguir, na qual a microscopia óptica representa nefrite lúpica e sua classificação de acordo com
ISN/RPS (International Society of Nephrology e Renal Pathology Society):
Com base nesse contexto, qual o tratamento preconizado na fase de indução?
Com base nesse contexto, qual o tratamento preconizado na fase de indução?
Provas
Questão presente nas seguintes provas
Na diálise peritoneal, qual das seguintes alterações apresenta contraindicação relativa em relação ao método dialítico?
Provas
Questão presente nas seguintes provas
Assinale a alternativa que apresenta corretamente alteração(ões) que pode(m) causar perda sensorial, auditiva e visual
durante a hemodiálise.
Provas
Questão presente nas seguintes provas
Assinale a alternativa que apresenta corretamente as alterações no sistema de coagulação na síndrome nefrótica
descompensada.
Provas
Questão presente nas seguintes provas
Na investigação da amiloidose com mutação na molécula de transtirretina, imunofixação sérica e urinária das imunoglobulinas negativas, cintilografia cardíaca com pirofosfato positiva e acometimento renal predominando na região peritubular
e intersticial.
Trata-se da
Trata-se da
Provas
Questão presente nas seguintes provas
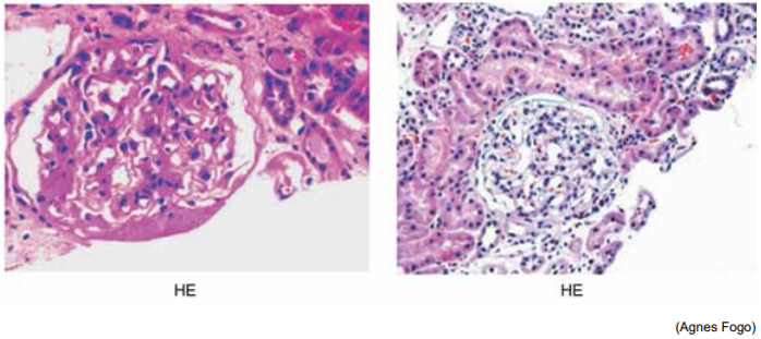
Observe as imagens a seguir, referentes a uma biópsia renal:

Assinale a alternativa que apresenta corretamente o diagnóstico provável.
Provas
Questão presente nas seguintes provas
Na terapia de indução na imunossupressão do transplante renal, qual imunossupressor é um anticorpo não depletor de linfócito?
Provas
Questão presente nas seguintes provas
Em um paciente com hipertensão arterial com suspeita diagnóstica de hiperaldosteronismo primário (HAP),
foram realizados testes para confirmação diagnóstica.
É provável que a suspeita de HAP+ seja confirmada se o teste
É provável que a suspeita de HAP+ seja confirmada se o teste
Provas
Questão presente nas seguintes provas
Vários estudos apontam para os marcadores inflamatórios e seu grau de evidência como preditor na progressão
da DRC e na sobrevida.
Um marcador inflamatório com evidência consistente é:
Provas
Questão presente nas seguintes provas
Considere a descrição a seguir.
Glicofosfoproteína secretada pelo epitélio luminal do túbulo distal e do segmento espesso da alça de Henle que é um potente inibidor da nucleação do crescimento, da agregação e da adesão de cristais de oxalato de cálcio.
Trata-se da
Glicofosfoproteína secretada pelo epitélio luminal do túbulo distal e do segmento espesso da alça de Henle que é um potente inibidor da nucleação do crescimento, da agregação e da adesão de cristais de oxalato de cálcio.
Trata-se da
Provas
Questão presente nas seguintes provas
Cadernos
Caderno Container