Foram encontradas 1.060 questões.
Observe a imagem.

(Arquivo pessoal; imagem utilizada com autorização)
A imagem sugere a presença de
Provas
Questão presente nas seguintes provas
Ao realizar-se ecocardiograma transesofágico, nota-se a
imagem a seguir.
(GOLDSTEIN, S. A. et al. ASE’s Comprehensive Echocardiography. 2nd edition. Elsevier Health Sciences, 2016)
As setas superior e inferior indicam respectivamente:
(GOLDSTEIN, S. A. et al. ASE’s Comprehensive Echocardiography. 2nd edition. Elsevier Health Sciences, 2016)
As setas superior e inferior indicam respectivamente:
Provas
Questão presente nas seguintes provas
Assinale a alternativa correta em relação ao achado indicado pela seta na imagem a seguir.

(Arquivo pessoal; imagem utilizada com autorização)
Provas
Questão presente nas seguintes provas
Assinale a alternativa correta sobre o uso da ecocardiografia na miocardiopatia hipertrófica (MCH).
Provas
Questão presente nas seguintes provas
Assinale a alternativa correta sobre o uso da vena
contracta em paciente com insuficiência mitral.
Provas
Questão presente nas seguintes provas
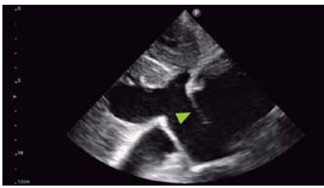
Observe a imagem.

(Arquivo pessoal; imagem utilizada com autorização)
A seta indica:
Provas
Questão presente nas seguintes provas
Homem, 75 anos, realizado ecocardiograma que demonstra septo sigmoide, com discreta obstrução dinâmica da
via de saída do ventrículo esquerdo (velocidade máxima
do fluxo de 2 m/s; gradiente sistólico máximo de 16 mmHg)
e calcificação da valva aórtica com redução de sua abertura, sendo observados, ao Doppler contínuo, velocidade máxima de 4 m/s e gradiente sistólico máximo de
64 mmHg. Com isso, pode-se inferir que o gradiente sistólico máximo transvalvar aórtico real é de
Provas
Questão presente nas seguintes provas
Assinale a alternativa correta sobre estimar a área valvar
aórtica pela ecocardiografia.
Provas
Questão presente nas seguintes provas
Assinale a alternativa que apresenta a correta associação entre a doença sistêmica e possíveis achados
ecocardiográficos.
Provas
Questão presente nas seguintes provas
Mulher, 55 anos, é encaminhada para realização de ecocardiograma com avaliação do strain miocárdico antes do
início de quimioterapia para câncer de mama. Ao realizar
o exame, qual das seguintes estratégias pode ser utilizada para aumento do frame rate (quadros por segundo)?
Provas
Questão presente nas seguintes provas
Cadernos
Caderno Container