Magna Concursos

Foram encontradas 810 questões.

3685694 Ano: 2025
Disciplina: Medicina
Banca: FUVEST
Orgão: USP
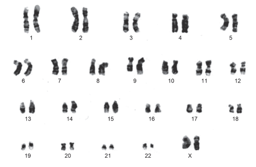
O exame de cariótipo de um paciente do sexo feminino revelou uma anormalidade cromossômica:



Enunciado 3685694-1


Assinale a alternativa que apresenta a condição clínica associada à essa mutação e a correta descrição do cariótipo, respectivamente.
 

Provas

Questão presente nas seguintes provas
3685693 Ano: 2025
Disciplina: Biologia
Banca: FUVEST
Orgão: USP
A técnica de DNA recombinante permite a manipulação e combinação de segmentos de DNA de diferentes origens para gerar novas sequências genéticas. Assinale a alternativa que descreve corretamente um dos princípios básicos da técnica de DNA recombinante.
 

Provas

Questão presente nas seguintes provas
3685692 Ano: 2025
Disciplina: Biologia
Banca: FUVEST
Orgão: USP
Considerando a regulação da expressão gênica, assinale a alternativa que representa corretamente uma característica funcional de genes.
 

Provas

Questão presente nas seguintes provas
3685691 Ano: 2025
Disciplina: Biologia
Banca: FUVEST
Orgão: USP
Genética evolutiva humana: os benefícios da diversidade
genética 
    Em qualquer população, os indivíduos diferem geneticamente uns dos outros em muitos de seus genes. "A genética de populações é uma disciplina científica que busca avaliar o grau de diversidade genética dentro de um grupo composto por vários indivíduos", explica Lluis Quintana-Murci, chefe da Unidade de Genética Evolutiva Humana do Institut Pasteur. "Ela analisa a distribuição dos genes e identifica quaisquer alterações em sua frequência, com o objetivo de aprimorar nossa compreensão sobre as origens de nossa espécie, as migrações humanas e como nos adaptamos geneticamente às mudanças ambientais." A genética de populações nos permite estudar "as origens e a idade da população humana, bem como a história da colonização do planeta." A disciplina também esclarece "o impacto de nossa hereditariedade em nossa saúde, nossas predisposições a certas doenças e até mesmo nossas respostas diferenciadas a tratamentos terapêuticos", explica Lluis Quintana-Murci, que acrescenta: "A genética de populações também investiga como o habitat histórico de uma população e seu estilo de vida influenciaram nosso genoma... e nosso epigenoma" – aquelas "marcas" associadas ao genoma que não modificam diretamente o DNA em si. 
Adaptado de Institut Pasteur. Human evolutionary genetics: the benefits of
genetic diversity. Disponível em: https://www.pasteur.fr; Tradução livre.
Considerando os efeitos das mutações e a distribuição espacial da diversidade genética, assinale a alternativa que melhor descreve o impacto das mutações e dos polimorfismos na evolução das populações humanas.
 

Provas

Questão presente nas seguintes provas
3685690 Ano: 2025
Disciplina: Biologia
Banca: FUVEST
Orgão: USP
Genética evolutiva humana: os benefícios da diversidade
genética 
    Em qualquer população, os indivíduos diferem geneticamente uns dos outros em muitos de seus genes. "A genética de populações é uma disciplina científica que busca avaliar o grau de diversidade genética dentro de um grupo composto por vários indivíduos", explica Lluis Quintana-Murci, chefe da Unidade de Genética Evolutiva Humana do Institut Pasteur. "Ela analisa a distribuição dos genes e identifica quaisquer alterações em sua frequência, com o objetivo de aprimorar nossa compreensão sobre as origens de nossa espécie, as migrações humanas e como nos adaptamos geneticamente às mudanças ambientais." A genética de populações nos permite estudar "as origens e a idade da população humana, bem como a história da colonização do planeta." A disciplina também esclarece "o impacto de nossa hereditariedade em nossa saúde, nossas predisposições a certas doenças e até mesmo nossas respostas diferenciadas a tratamentos terapêuticos", explica Lluis Quintana-Murci, que acrescenta: "A genética de populações também investiga como o habitat histórico de uma população e seu estilo de vida influenciaram nosso genoma... e nosso epigenoma" – aquelas "marcas" associadas ao genoma que não modificam diretamente o DNA em si. 
Adaptado de Institut Pasteur. Human evolutionary genetics: the benefits of
genetic diversity. Disponível em: https://www.pasteur.fr; Tradução livre.
Considerando o impacto de variações genéticas nas populações humanas e os efeitos ambientais, assinale a alternativa que descreve corretamente a função das mutações e polimorfismos genéticos na adaptação humana.
 

Provas

Questão presente nas seguintes provas
3685689 Ano: 2025
Disciplina: Biologia
Banca: FUVEST
Orgão: USP
O genoma humano é composto por elementos codificantes e não codificantes que desempenham papéis importantes na regulação da expressão gênica, na estabilidade genômica e em processos celulares. Apesar de grande parte do genoma não codificar proteínas, essas regiões podem conter sequências regulatórias e elementos repetitivos que influenciam a estrutura e função do genoma. Com base nessas informações, assinale a alternativa correta.
 

Provas

Questão presente nas seguintes provas
3685688 Ano: 2025
Disciplina: Biologia
Banca: FUVEST
Orgão: USP
A renovação celular de tecidos envolve processos regulados por células-tronco e células progenitoras. Esses processos são modulados por fatores intrínsecos e extrínsecos que determinam o equilíbrio entre autorrenovação, diferenciação e apoptose. Sobre esses mecanismos, assinale a alternativa correta.
 

Provas

Questão presente nas seguintes provas
3685687 Ano: 2025
Disciplina: Medicina
Banca: FUVEST
Orgão: USP
O heredograma a seguir representa o padrão de herança de uma família onde alguns indivíduos são afetados pela doença de Huntington, uma desordem neurodegenerativa hereditária, causada por uma mutação no gene HTT, que provoca comprometimento significativo da capacidade motora e cognitiva dos indivíduos afetados.


Enunciado 3685687-1


Considerando as informações apresentadas, trata-se de um padrão de herança

Note e adote:
Os indivíduos afetados estão representados em preto e os indivíduos não doentes, em branco. Mulheres são representadas pelos círculos e homens, pelos quadrados.
 

Provas

Questão presente nas seguintes provas
3685686 Ano: 2025
Disciplina: Biologia
Banca: FUVEST
Orgão: USP
A citogenética permite identificar alterações cromossômicas que estão associadas a doenças hereditárias causadas por mutações. Assinale a alternativa que descreve corretamente o uso de técnicas citogenéticas na identificação de heranças monogênicas.
 

Provas

Questão presente nas seguintes provas
3685685 Ano: 2025
Disciplina: Biologia
Banca: FUVEST
Orgão: USP
Doenças genéticas podem resultar de mutações em diferentes regiões do genoma, com impactos variados no funcionamento celular. Essas mutações podem ocorrer em genes codificadores, regiões regulatórias ou elementos intergênicos, e sua manifestação clínica depende de diversos fatores moleculares e ambientais. Considerando o impacto dessas mutações e os mecanismos moleculares subjacentes, assinale a alternativa correta.
 

Provas

Questão presente nas seguintes provas