Magna Concursos

Foram encontradas 208 questões.

4063638 Ano: 2026
Disciplina: Medicina
Banca: FUVEST
Orgão: USP
Provas:
Adolescente, 15 anos de idade, com diagnóstico recente de linfoma não-Hodgkin de alto grau, iniciou quimioterapia há 48 horas e encontra-se internado na UTI pediátrica para monitorização. Evolui nas últimas 12 horas com náuseas intensas, vômitos, fraqueza muscular progressiva, parestesias em membros superiores e inferiores, redução importante da diurese e episódio de confusão mental. Ao exame físico, apresenta FC de 135 bpm, PA de 100x60 mmHg, FR de 26 irpm e diurese estimada de 0,3 mL/kg/h. 

• Exames laboratoriais:
K+ sérico: 6,9 mEq/L
Fósforo: 8,2 mg/dL
Ca2+ total: 6,8 mg/dL
Ácido úrico: 14 mg/dL
Creatinina: 3,4 mg/dL (valor prévio de 0,8 mg/dL)
LDH: 2.500 U/L

A gasometria arterial demonstra pH de 7,22 e HCO3 de 14 mEq/L. O eletrocardiograma evidencia ondas T apiculadas e discreto alargamento do complexo QRS. Diante desse quadro clínico e laboratorial, qual deve ser a conduta terapêutica inicial mais adequada neste momento?
 

Provas

Questão presente nas seguintes provas
4063637 Ano: 2026
Disciplina: Medicina
Banca: FUVEST
Orgão: USP
Provas:
Menino, 8 anos de idade, previamente hígido, é admitido na UTI pediátrica com história de fraqueza progressiva há cinco dias, iniciada em membros inferiores e evoluindo de forma ascendente. Nas últimas 24 horas passou a apresentar incapacidade de deambular, dificuldade para sustentar a cabeça, voz hipofônica, disfagia leve e tosse ineficaz. Ao exame físico, observa-se tetraparesia flácida simétrica com arreflexia global, FR de 30 irpm, SpO2 de 93% em ar ambiente e instabilidade autonômica com episódios de taquicardia sinusal e variações pressóricas. A gasometria arterial demonstra pH de 7,36, PaCO2 de 44 mmHg e PaO2 de 72 mmHg. A punção lombar evidencia proteínas de 180 mg/dL com 2 leucócitos/mm³. Considerando a evolução clínica e o risco de deterioração respiratória, assinale a alternativa que apresenta a conduta mais apropriada neste momento.
 

Provas

Questão presente nas seguintes provas
4063636 Ano: 2026
Disciplina: Medicina
Banca: FUVEST
Orgão: USP
Provas:
Menino, 13 anos de idade, previamente hígido, encontra-se internado na UTI pediátrica há 24 horas por miocardite viral confirmada. Evoluía com disfunção ventricular moderada e monitorização contínua. Subitamente apresenta perda abrupta da consciência, ausência de pulso central palpável e queda da pressão arterial não mensurável. A equipe inicia imediatamente reanimação cardiopulmonar de alta qualidade. O monitor cardíaco é apresentado na imagem a seguir:

Enunciado 4536523-1

Após o início de compressões torácicas eficazes e ventilação adequada, qual deve ser a próxima conduta imediata?
 

Provas

Questão presente nas seguintes provas
4063635 Ano: 2026
Disciplina: Medicina
Banca: FUVEST
Orgão: USP
Provas:
Adolescente, 15 anos de idade, com diagnóstico de miastenia gravis generalizada anti-AChR positiva, em uso regular de piridostigmina e prednisona em baixa dose, é admitida na UTI pediátrica após quadro de infecção respiratória há cinco dias. Nas últimas 24 horas, apresenta piora progressiva da fraqueza muscular, disfagia, voz anasalada, dificuldade para manter a cabeça ereta e dispneia aos mínimos esforços. Ao exame físico, observa-se FR de 34 irpm, SpO2 de 89% em ar ambiente, uso de musculatura acessória, incapacidade de contar até 10 em uma única expiração, fraqueza importante de flexores cervicais e tosse ineficaz. A gasometria arterial demonstra pH de 7,31, PaCO2 de 52 mmHg e PaO2 de 65 mmHg. Diante desse quadro, assinale a alternativa que apresenta a conduta inicial mais apropriada.
 

Provas

Questão presente nas seguintes provas
4063634 Ano: 2026
Disciplina: Medicina
Banca: FUVEST
Orgão: USP
Provas:
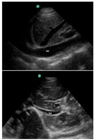
Lactente, 4 meses de vida, 6 kg, é admitido com suspeita de sepse grave. Está hipotenso com PA de 55x35 mmHg, FC de 180 bpm, extremidades frias e tempo de enchimento capilar prolongado. Foi realizado ultrassom dirigido (POCUS) de leito apresentado na imagem a seguir, demonstrando a veia cava inferior na expiração e na inspiração, além do ventrículo esquerdo hiperdinâmico com cavidades pequenas e ausência de derrame pericárdico ou outras anormalidades estruturais significativas.

Enunciado 4536521-1

Com base nos achados do ultrassom e na avaliação clínica, qual é a interpretação fisiopatológica mais provável e qual conduta deve ser realizada inicialmente?
 

Provas

Questão presente nas seguintes provas
4063633 Ano: 2026
Disciplina: Medicina
Banca: FUVEST
Orgão: USP
Provas:
Adolescente de 13 anos de idade é admitido na UTI pediátrica após acidente automobilístico com trauma torácico fechado. Chega intubado, sedado e em ventilação mecânica invasiva em modo volume controlado, com volume corrente de 6 mL/kg, frequência respiratória de 20 incursões por minuto, PEEP de 8 cmH2O e FiO2 de 60%. Inicialmente apresenta estabilidade hemodinâmica. Após aproximadamente 30 minutos de internação, evolui subitamente com FC de 160 bpm, PA de 68x40 mmHg, SpO2 de 82% e murmúrio vesicular diminuído no hemitórax direito. Observa-se aumento das pressões ventilatórias, com pressão de pico elevando-se de 30 para 55 cmH2O e pressão de platô de 22 para 40 cmH2O. A ultrassonografia pulmonar à beira-leito no hemitórax direito demonstra ausência de deslizamento pleural, ausência de linhas B, presença de “lung point” e padrão em “código de barras” no modo M. A avaliação ecocardiográfica subcostal evidencia ventrículo esquerdo pequeno, compressão de câmaras direitas e ausência de derrame pericárdico. Diante desse quadro clínico e ultrassonográfico, qual é a conduta imediata mais adequada?
 

Provas

Questão presente nas seguintes provas
4063632 Ano: 2026
Disciplina: Medicina
Banca: FUVEST
Orgão: USP
Provas:
Lactente, 8 meses de idade cronológica, nascido prematuro de 32 semanas, atualmente com idade corrigida de 6 meses, é admitido na UTI pediátrica após parada cardiorrespiratória prolongada por provável síndrome da morte súbita do lactente. Após 24 horas de estabilização clínica, apresenta Glasgow 3, ausência de resposta supraespinal a estímulos dolorosos, pupilas fixas e dilatadas bilateralmente (5 mm), ausência de reflexo fotomotor, ausência de reflexo córneo-palpebral, ausência de reflexo óculocefálico, sem movimentos respiratórios espontâneos em ventilação assistida. Parâmetros atuais com temperatura central de 36,5 °C.PAM adequada para idade. PaCO2 basal de 40 mmHg. PaO2 de 120 mmHg, sem uso de sedativos nas últimas 24 horas e sem distúrbios metabólicos ou eletrolíticos. EEG realizado demonstra silêncio elétrico. De acordo com a Resolução CFM nº 2173/2017 e os critérios específicos para lactentes, qual o próximo passo adequado?
 

Provas

Questão presente nas seguintes provas
4063631 Ano: 2026
Disciplina: Medicina
Banca: FUVEST
Orgão: USP
Provas:
Paciente de 10 anos de idade, previamente hígido, internado por peritonite secundária a apendicite perfurada. Evoluiu com sepse e insuficiência respiratória aguda. Encontra-se em ventilação mecânica invasiva há 24 horas. Apesar de ajustes progressivos, mantém hipoxemia refratária, definida por PaO2 de 55 mmHg, FiO2 de 0,8 e relação P/F ≈ 68. 

• Modo Pressão Controlada (PCV):
Pressão inspiratória acima da PEEP: 25 cmH2O
PEEP: 8 cmH2O
FR: 22 irpm
Tempo inspiratório: 0,8 s
FiO2: 0,8

• Parâmetros observados:
Pressão de pico: 33 cmH2O
Volume corrente resultante: 9 mL/kg
Complacência dinâmica reduzida
Driving pressure estimada: 25 cmH2O

• Gasometria arterial:
pH 7,28
PaCO2 50 mmHg

Paciente hemodinamicamente estável, sem uso de altas doses de vasopressores. Qual o melhor ajuste ventilatório neste momento com base em ventilação protetora baseada em evidências?
 

Provas

Questão presente nas seguintes provas
4063630 Ano: 2026
Disciplina: Informática
Banca: FUVEST
Orgão: USP
Provas:
Em um relatório técnico elaborado no Microsoft Word 365, versão em português, diversas figuras foram inseridas ao longo do documento, cada uma acompanhada de legenda automática (por exemplo: “Figura 1”, “Figura 2”, etc.). No corpo do texto, deseja-se fazer menção a uma dessas figuras de modo que, caso a numeração das figuras seja alterada automaticamente (por inserção, exclusão ou reorganização de elementos), a referência no texto também seja atualizada de forma automática, sem necessidade de edição manual. Assinale a alternativa que apresenta corretamente o procedimento necessário para garantir esse comportamento dinâmico.
 

Provas

Questão presente nas seguintes provas
4063629 Ano: 2026
Disciplina: Informática
Banca: FUVEST
Orgão: USP
Provas:
Em uma planilha do Microsoft Excel 365, versão em português, um setor financeiro está calculando o valor total de um adicional incidente sobre pagamentos mensais, conforme imagem a seguir:

Enunciado 4536516-1

  A célula B2 contém o valor base de cada pagamento;
  A célula D2 contém a taxa fixa de adicional correspondente a 5% (0,05);
•  Na célula C2, deseja-se calcular o valor do adicional multiplicando o valor base (B2) pela taxa fixa (D2). 

Posteriormente, a fórmula da célula C2 será copiada para as células abaixo (C3, C4, C5...), mantendo sempre a referência fixa à taxa armazenada em D2. Assinale a alternativa que apresenta corretamente a fórmula que deve ser inserida na célula C2 para garantir esse comportamento.
 

Provas

Questão presente nas seguintes provas