Magna Concursos

Foram encontradas 208 questões.

4063738 Ano: 2026
Disciplina: Medicina
Banca: FUVEST
Orgão: USP
Criança, 5 anos de idade, traqueostomizada desde os 2 anos, quando foi vítima de acidente automobilístico, tendo ficado internada em terapia intensiva, momento em que ficou entubada por um longo tempo. Atualmente, a criança tem ótimo desenvolvimento neuropsicomotor, consegue se alimentar normalmente, e você está planejando a decanulação. A endoscopia flexível evidencia uma via aérea muito favorável, sem alterações nasais, faríngeas ou laríngeas que prejudiquem a sua intenção. Com base no caso descrito, assinale a alternativa que apresenta a conduta mais adequada.
 

Provas

Questão presente nas seguintes provas
4063737 Ano: 2026
Disciplina: Medicina
Banca: FUVEST
Orgão: USP
Menino, 7 anos de idade, com queixa de obstrução nasal e rinorreia posterior. Ao longo da sua vida, já foi internado por 4 vezes por pneumonias. Ao exame de endoscopia nasal, observa-se fossas nasais estreitas, pólipos nasais ocupando dois terços e secreção mucoide em ambas as fossas nasais. Imagens de tomografia dos seios da face são apresentadas a seguir:  

Enunciado 4540970-1


Considerando a paciente em questão, qual dos exames abaixo confirmaria a principal hipótese diagnóstica?
 

Provas

Questão presente nas seguintes provas
4063736 Ano: 2026
Disciplina: Medicina
Banca: FUVEST
Orgão: USP
Homem, 56 anos de idade, sofreu queda da própria altura com impacto direto do dorso nasal contra o solo. Apresenta-se com epistaxe volumosa há cerca de 5 minutos. Ao exame inicial, apresenta-se agitado e confuso, com voz abafada, eliminando coágulos pela cavidade oral. Apresentando sangramento ativo pela fossa nasal esquerda. Apresenta pulsos periféricos finos, extremidades frias. PA de 92x50 mmHg, FC de 128 bpm, SpO2 de 90% em ar ambiente. Diante desse quadro, qual deve ser a primeira medida a ser instituída?
 

Provas

Questão presente nas seguintes provas
4063735 Ano: 2026
Disciplina: Medicina
Banca: FUVEST
Orgão: USP
Mulher, 53 anos de idade, encaminhada para avaliação de obstrução nasal bilateral e epistaxe há 4 meses. Relata ter iniciado proptose progressiva à direita há cerca de 8 meses, evoluindo há 45 dias com amaurose no olho direito e importante redução da acuidade visual no olho esquerdo. Refere dor leve em região periorbitária direita e frontal bilateral. É hipertensa, com controle clínico adequado. Ressonância magnética evidencia lesão expansiva envolvendo toda a cavidade nasal, invasão orbitária à direita e comprometimento bilateral do seio cavernoso. Sem metástases à distância ou linfonodomegalias cervicais. A biópsia nasal confirmou carcinoma nasossinusal indiferenciado (SNUC). Assinale a alternativa que apresenta a melhor conduta para esta paciente.
 

Provas

Questão presente nas seguintes provas
4063734 Ano: 2026
Disciplina: Medicina
Banca: FUVEST
Orgão: USP
Menino, 10 anos de idade, com hemofilia, dá entrada no pronto-socorro com sangramento nasal de grande volume pela fossa nasal esquerda, após ter coçado o nariz. Pais referem que a criança tem rinite, e os sintomas estavam descompensados nos últimos dias. Para conter o sangramento, você precisou tamponar o nariz da criança. Assinale a alternativa que indica o provável local-sítio do sangramento desse paciente.
 

Provas

Questão presente nas seguintes provas
4063733 Ano: 2026
Disciplina: Medicina
Banca: FUVEST
Orgão: USP
Homem, 45 anos de idade, em uso de mepolizumabe por rinossinusite crônica com pólipo nasal associada a asma e a dessensibilização à aspirina. Após 6 meses de tratamento, ele apresenta diminuição do SNOT-22 de 67 para 42 e melhora do teste do olfato (de anosmia para hiposmia moderada). No entanto, à endoscopia, os pólipos nasais persistiam com o mesmo tamanho. Assinale a alternativa que apresenta a conduta mais adequada.
 

Provas

Questão presente nas seguintes provas
4063732 Ano: 2026
Disciplina: Medicina
Banca: FUVEST
Orgão: USP
Menino, 14 anos de idade, previamente hígido, vem apresentando obstrução nasal progressiva à direita nos últimos 10 meses, associada à epistaxe de grande volume e rinorreia constante ipsilateral. Nega outras queixas. Ao exame apresenta lesão avermelhada ocupando a fossa nasal direita, não pulsátil. Sem outras demais alterações ao exame físico. Foram realizados exames de imagem, com os achados apresentados a seguir:


Enunciado 4540965-1


Com base nessas informações, assinale a alternativa que apresenta a conduta mais indicada.
 

Provas

Questão presente nas seguintes provas
4063731 Ano: 2026
Disciplina: Medicina
Banca: FUVEST
Orgão: USP
Homem, 51 anos de idade, apresenta obstrução nasal e rinorreia espessa unilateral à esquerda há cerca de 7 meses, sem resposta após múltiplos esquemas antibióticos. No mesmo período, evoluiu com perda ponderal não intencional (~6 kg), astenia e indisposição. Nega tosse ou dispneia. Nas últimas semanas, passou a referir dor nasal e percebeu deformidade progressiva do dorso nasal, com afundamento recente (“nariz em sela”). À endoscopia nasal, observa-se sinéquia entre concha média e parede lateral da fossa nasal esquerda, além de mucosa friável e tecido de granulação em meato médio. A biópsia nasal evidenciou processo inflamatório granulomatoso e sinais de vasculite. Tomografia de tórax normal. Além do achado histopatológico, qual alteração laboratorial reforça a principal hipótese diagnóstica?
 

Provas

Questão presente nas seguintes provas
4063730 Ano: 2026
Disciplina: Medicina
Banca: FUVEST
Orgão: USP
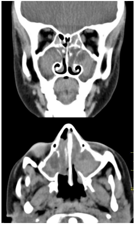
Mulher, 52 anos de idade, apresentou dor dentária há 3 meses. Na ocasião, foi submetida à extração do segundo molar superior direito, com fechamento adequado e cicatrização completa do alvéolo dentário. Desde então, evoluiu com rinorreia purulenta unilateral à direita, cacosmia e sensação de pressão facial ipsilateral. Realizou tratamento com amoxicilina-clavulanato por 14 dias, sem melhora clínica. A endoscopia nasal à direita e a tomografia de seios da face sem contraste demonstraram as imagens apresentadas a seguir:


Enunciado 4540963-1


Com base nesse quadro, qual a melhor conduta a ser adotada?
 

Provas

Questão presente nas seguintes provas
4063729 Ano: 2026
Disciplina: Medicina
Banca: FUVEST
Orgão: USP
Homem, 28 anos de idade, refere sonolência diurna leve, roncos intensos e apneias presenciadas pela parceira há cerca de 2 anos. Ao exame físico apresenta IMC de 25,4 kg/m2 , amígdalas grau 3 à direita e 4 à esquerda, Mallampati modificado grau 2 e língua com colapso parcial anteroposterior (grau 1). Cavidade nasal sem alterações. Realizou polissonografia tipo 1, mostrando tempo total de sono de 7,5 horas, eficiência de sono de 87%, índice de apneia e hipopneia de 18 eventos/h, com saturação mínima de 92%. Tentou realizar prova terapêutica com CPAP, sem sucesso. Diante deste quadro, assinale a alternativa que apresenta a conduta mais indicada para este paciente.
 

Provas

Questão presente nas seguintes provas