Foram encontradas 33.994 questões.
O fisioterapeuta atua em diversas áreas, e para tanto, precisa deter conhecimento a respeito de diversas patologias e comprometimentos que o indivíduo possa vir a apresentar. Assim sendo, saber identificar e descrever malformações faz parte da atuação fisioterapêutica. Diante dessa afirmativa, assinale a alternativa que apresenta o termo usado para descrever a substituição do músculo por tecido fibroso e adiposo; a ausência de parte ou todo em um ou mais músculos; e, malformação de estruturas ósseas, respectivamente.
Provas
A ausculta pulmonar, ou seja, ouvir os pulmões com auxílio do estetoscópio é um método útil de avaliação. Dada a proximidade com a superfície torácica das vias aéreas da criança, bem como a delgada espessura da parede torácica de bebês e crianças pequenas, os sons respiratórios são facilmente transmitidos e a especificidade anatômica pode ser diminuída, como resultado, a ausculta, em particular no neonato ou no neonato prematuro, pode não ser tão precisa quanto na criança mais crescida ou no adulto, mesmo assim, o terapeuta deve tentar determinar a presença de sons respiratórios normais e anormais ao longo dos campos pulmonares. Logo, informe se é verdadeiro (V) ou falso (F) para o que se afirma a respeito dos sons adventícios e assinale a alternativa com a sequência correta.
( ) Sibilos são considerados sons musicais produzidos pelo fluxo de ar ao longo de vias aéreas estreitadas, podem ser inspiratórios ou expiratórios, monofônicos ou polifônicos. Os sibilos expiratórios provavelmente são mais comuns e representam a obstrução das vias aéreas a partir de broncoespasmo ou secreções.
( ) Estertores, por vezes chamados crepitação, não são sons musicais, podem ser ouvidos durante expiração, são sons que podem representar o fechamento súbito de vias aéreas previamente esvaziadas. Os estertores expiratórios muitas vezes denotam a presença de líquido nas vias aéreas menores.
( ) Atritos pleurais são sons ásperos, semelhantes ao rangido de couro, que costumam indicar o atrito de tecidos inflamatórios entre si.
( ) Triturações audíveis são sons de estertores ouvidos com frequência sobre o mediastino quando há vazamento de ar para dentro dessa área.
Provas
A massagem com gelo é usada para aplicar tratamentos frios em áreas pequenas e de formato regular, é mais eficaz nos casos que envolvem espasmo muscular, contusões e outras lesões pequenas, limitadas a uma área bem localizada, e para produzir dormência em áreas relativamente pequenas da pele. O paciente pode ser capaz de aplicar o auto tratamento, seja na clínica ou como parte do programa de tratamento domiciliar. Quando apropriado, esse método de aplicação de frio é conveniente, prático e eficiente em termos de tempo de tratamento com frio. Logo, são contraindicações da massagem com gelo, exceto:
Provas
O joelho é formado pelos côndilos do fêmur e da tíbia, entre a superfície posterior da patela e a superfície patelar do fêmur, sendo acoplados por ligamentos, cápsula articular, meniscos e músculos que realizam a sua estabilização. A estabilidade dessa articulação depende da interação entre a sua geometria, da restrição dos tecidos moles, das cargas aplicadas pelo peso corporal e das ações musculares proximais e distais. Diante deste pressuposto, analise as assertivas com relação ao ligamento cruzado posterior e assinale a alternativa correta.
I. O ligamento cruzado posterior (LCP) é composto por dois feixes, anterolateral e posteromedial, que se originam na região anterolateral da fossa intercondilar do côndilo femoral medial e se inserem na região posterior da fossa intercondilar na faceta posterior da tíbia. A função primária do LCP é limitar a translação posterior da tíbia em relação ao fêmur, além de restringir secundariamente as rotações externa, interna e varo-valgo.
II. Dentre as lesões do joelho, as lesões isoladas do ligamento cruzado posterior (LCP) são menos comuns do que aquelas que envolvem o canto posterolateral concomitante ou outras lesões ligamentares. Em pacientes com lesões isoladas do LCP, o mecanismo de lesão mais comum inclui uma força direcionada posteriormente na tíbia proximal com o joelho flexionado e o tornozelo em plantiflexão, como em uma queda com o joelho flexionado, e até mesmo uma hiperflexão ou hiperextensão do joelho.
III. O diagnóstico de ruptura desse ligamento é frequentemente estabelecido pelo exame físico, sobretudo se for realizado logo após a lesão, por meio de anamnese, inspeção e testes específicos, como o de Lachman e da gaveta anterior, que avaliam a estabilidade anterior do joelho. O intervalo de tempo mais confiável para examinar o joelho é imediatamente após a lesão e o exame neste momento evita a interferência de espasmos musculares e de derrame excessivo, que causa dor e proteção.
IV. Um paciente com lesão isolada do ligamento cruzado posterior (LCP) pode relatar vaga dor no joelho, rigidez, inchaço ou desconforto com atividades que exigem níveis mais altos de flexão do joelho, como agachar-se, ajoelhar-se ou caminhar em uma escada. Já no caso de pacientes que relatam mecanismos lesionais de alta energia, dor, instabilidade ou incapacidade de realizar pequenas atividades diárias, sugere-se a investigação de lesões ligamentares concomitantes.
V. Dentre os testes clínicos, o teste da gaveta posterior é o mais sensível e específico para os casos de insuficiência do ligamento cruzado posterior (LCP). O teste ativo do quadríceps é usado para avaliar a integridade do LCP sem a aplicação de força passiva ou externa. Havendo dúvida, o diagnóstico pode ser confirmado por exames de imagem de ressonância nuclear magnética.
Provas
Também conhecidos como testes neurodinâmicos, os testes neurais avaliam tanto os aspectos mecânicos quanto os fisiológicos do sistema nervoso periférico. Existem os testes neurais utilizados no quadrante superior assim como os testes neurais do quadrante inferior, eles podem ser utilizados para disfunções da coluna que causam sintomas de dores radiculares ou radiculopatias. Leia a descrição a seguir e assinale a alternativa que apresenta o nome do teste neurodinâmico descrito.
“A posição inicial do teste com o paciente em sedestação na maca, realizar a flexão das colunas cervical, torácica e lombar, com os membros superiores estendidos atrás da coluna. Para a posição final, manter a posição inicial e realizar a extensão do joelho e a flexão dorsal do tornozelo. Para diferenciação de sintomas manter a posição anterior e realizar a extensão da coluna cervical para a diferenciação de sintomas musculoesqueléticos ou neurodinâmicos.”
Provas
Assinale a alternativa que apresenta técnicas contraindicadas para pacientes asmáticos com broncoespasmo.
Provas
Assinale a alternativa correta referente a complicações da traqueostomia.
Provas
Assinale a alternativa que apresenta consequências clínicas trazidas pela auto-peep com hiperinsuflação.
Provas
A Ventilação com Alta Frequência Oscilatória (VAFO) é única quando comparada a outras formas de ventilação de alta frequência. Sobre essa modalidade é correto afirmar:
Provas
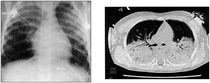
Paciente vítima de atropelamento, sexo masculino, 45 anos, altura 1,85 m, peso 80 Kg, após 3 dias na UTI, em IOT sob VM Modo Pressão Suporte com SatO2 = 88%, Pressão suporte (PS) = 25 cmH2O, FiO2 = 50%, Peep = 5 cmH2O, Volume corrente (VC) = 650 mL com hipoxemia de PaO2 = 57 mmHg, apresentou os seguintes exames de imagem, sendo descartada causa cardíaca.

(Arquivo pessoal; imagens usadas com autorização)
Qual a medida ventilatória inicial recomendada para esse paciente?
Provas
Caderno Container