Foram encontradas 72.922 questões.
3799912
Ano: 2024
Disciplina: Odontologia
Banca: Avança SP
Orgão: Pref. São Lourenço Serra-SP
Disciplina: Odontologia
Banca: Avança SP
Orgão: Pref. São Lourenço Serra-SP
Provas:
Observe as letras indicadas abaixo e marque a alternativa que corresponde às indicações corretas.

Provas
Questão presente nas seguintes provas
3799911
Ano: 2024
Disciplina: Odontologia
Banca: Avança SP
Orgão: Pref. São Lourenço Serra-SP
Disciplina: Odontologia
Banca: Avança SP
Orgão: Pref. São Lourenço Serra-SP
Provas:
O tempo de indução é definido como o período
da deposição da solução anestésica até o bloqueio
completo da condução. A respeito do tempo de
indução, marque a alternativa correta.
Provas
Questão presente nas seguintes provas
3799909
Ano: 2024
Disciplina: Odontologia
Banca: Avança SP
Orgão: Pref. São Lourenço Serra-SP
Disciplina: Odontologia
Banca: Avança SP
Orgão: Pref. São Lourenço Serra-SP
Provas:
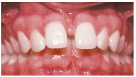
Além de avaliar a oclusão de um paciente, o
ortodontista examina o alinhamento específico
dos dentes e arcos.
Dentre os problemas mais comuns de mau alinhamento, o que se caracteriza por um aumento vertical da sobreposição dos incisivos superiores, onde os incisivos inferiores podem não ser visíveis (como o exemplo da figura acima); é denominado:
Dentre os problemas mais comuns de mau alinhamento, o que se caracteriza por um aumento vertical da sobreposição dos incisivos superiores, onde os incisivos inferiores podem não ser visíveis (como o exemplo da figura acima); é denominado:
Provas
Questão presente nas seguintes provas
3799908
Ano: 2024
Disciplina: Odontologia
Banca: Avança SP
Orgão: Pref. São Lourenço Serra-SP
Disciplina: Odontologia
Banca: Avança SP
Orgão: Pref. São Lourenço Serra-SP
Provas:
O raspador ultrassônico proporciona rápida
remoção de cálculo e reduz a fadiga das mãos do
operador.
A utilização de um raspador ultrassônico está contra indicada para:
A utilização de um raspador ultrassônico está contra indicada para:
Provas
Questão presente nas seguintes provas
3799907
Ano: 2024
Disciplina: Odontologia
Banca: Avança SP
Orgão: Pref. São Lourenço Serra-SP
Disciplina: Odontologia
Banca: Avança SP
Orgão: Pref. São Lourenço Serra-SP
Provas:
Observe os pontos na imagem sinalizados como
a e b. As áreas onde se encontram os pontos a e
b, são consideradas respectivamente como:


Provas
Questão presente nas seguintes provas
3799906
Ano: 2024
Disciplina: Odontologia
Banca: Avança SP
Orgão: Pref. São Lourenço Serra-SP
Disciplina: Odontologia
Banca: Avança SP
Orgão: Pref. São Lourenço Serra-SP
Provas:
Analise a figura abaixo e marque a alternativa que representa o tipo de procedimento a ser realizado.

Provas
Questão presente nas seguintes provas
3799905
Ano: 2024
Disciplina: Odontologia
Banca: Avança SP
Orgão: Pref. São Lourenço Serra-SP
Disciplina: Odontologia
Banca: Avança SP
Orgão: Pref. São Lourenço Serra-SP
Provas:
O auxílio do ASB/TSB, durante o exame clínico
periodontal é essencial já que este deve ser um
exame meticuloso, com a coleta de muitos dados
para elaboração do plano de tratamento.
Neste exame são relevantes a verificação dos seguintes dados, EXCETO:
Neste exame são relevantes a verificação dos seguintes dados, EXCETO:
Provas
Questão presente nas seguintes provas
3799904
Ano: 2024
Disciplina: Odontologia
Banca: Avança SP
Orgão: Pref. São Lourenço Serra-SP
Disciplina: Odontologia
Banca: Avança SP
Orgão: Pref. São Lourenço Serra-SP
Provas:
Na utilização da matriz e porta matriz em região
de dentes posteriores, são critérios a serem
adotados para a instalação:
Provas
Questão presente nas seguintes provas
3799903
Ano: 2024
Disciplina: Odontologia
Banca: Avança SP
Orgão: Pref. São Lourenço Serra-SP
Disciplina: Odontologia
Banca: Avança SP
Orgão: Pref. São Lourenço Serra-SP
Provas:
Em relação ao preparo do paciente para registro
dos dentes, analise os passos descritos abaixo e
marque a alternativa que enumera corretamente a
sequência a ser seguida pelo ASB.
( ) Assegurar que os lápis de cor, borracha, formulário de exame clínico e uma superfície plana estejam disponíveis. Nota: Se o registro for eletrônico, não há necessidade de lápis. Verificar se o teclado está coberto adequadamente para o controle de infecção.
( ) Sentar o paciente e colocar um guardanapo.
( ) Transferir para o dentista o espelho e o explorador.
( ) Durante o procedimento, usar a seringa de ar para limpar o espelho bucal e ajustar a luz conforme necessário.
( ) Registrar as notações específicas conforme o dentista for ditando.
( ) Reposicionar o paciente na posição supina.
( ) Assegurar que os lápis de cor, borracha, formulário de exame clínico e uma superfície plana estejam disponíveis. Nota: Se o registro for eletrônico, não há necessidade de lápis. Verificar se o teclado está coberto adequadamente para o controle de infecção.
( ) Sentar o paciente e colocar um guardanapo.
( ) Transferir para o dentista o espelho e o explorador.
( ) Durante o procedimento, usar a seringa de ar para limpar o espelho bucal e ajustar a luz conforme necessário.
( ) Registrar as notações específicas conforme o dentista for ditando.
( ) Reposicionar o paciente na posição supina.
Provas
Questão presente nas seguintes provas
3799902
Ano: 2024
Disciplina: Odontologia
Banca: Avança SP
Orgão: Pref. São Lourenço Serra-SP
Disciplina: Odontologia
Banca: Avança SP
Orgão: Pref. São Lourenço Serra-SP
Provas:
Para responder à questão abaixo observe as marcações no odontograma.

Os pontos azuis marcados acima correspondem respectivamente a:
Provas
Questão presente nas seguintes provas
Cadernos
Caderno Container