Foram encontradas 15.490 questões.
Ao realizar uma radiografia de tórax em um paciente pediátrico, o técnico experiente
decide utilizar uma grade antidifusora para melhorar a qualidade da imagem. É o principal benefício da
utilização da grade antidifusora nesse contexto:
Provas
Questão presente nas seguintes provas
Em relação a diferenciação entre as costelas anteriores de posteriores, analise e
marque a alternativa correta:
I. As costelas posteriores são orientadas mais ou menos horizontalmente.
II. As costelas anteriores se articulam com o esterno ou entre si por meio de cartilagem, que não é sempre visível nas radiografias até mais tarde na vida, quando a cartilagem pode calcificar-se.
III. Cada par de costelas posteriores se articula com o corpo das vértebras torácicas.
I. As costelas posteriores são orientadas mais ou menos horizontalmente.
II. As costelas anteriores se articulam com o esterno ou entre si por meio de cartilagem, que não é sempre visível nas radiografias até mais tarde na vida, quando a cartilagem pode calcificar-se.
III. Cada par de costelas posteriores se articula com o corpo das vértebras torácicas.
Provas
Questão presente nas seguintes provas
- Anatomia e Fisiologia HumanaSistema Renal
- Equipamentos RadiológicosOperação de Equipamentos e Posição Radiológica
- Equipamentos RadiológicosExames Radiológicos em Contraste, Gerais e Especiais
Porções dos contornos dos rins podem ser visíveis em radiografias convencionais se
uma quantidade adequada de gordura perirrenal estiver presente. O comprimento do rim é
aproximadamente a altura de __________ corpos vertebrais lombares ou cerca de 10 a 14 cm em um
adulto.
Com base em seus conhecimentos, assinale a alternativa que preenche a lacuna.
Com base em seus conhecimentos, assinale a alternativa que preenche a lacuna.
Provas
Questão presente nas seguintes provas
Durante a realização de uma radiografia digital, um técnico experiente ajusta a técnica
radiográfica para um paciente obeso. Considerando a atenuação dos raios X pelos tecidos biológicos,
dos seguintes ajustes na técnica radiográfica, seria mais apropriado para obter uma imagem de
qualidade:
Provas
Questão presente nas seguintes provas
Em relação a rotina de abdome agudo, sobre as incidências e o que procurar, assinale
a alternativa correta que corresponde a incidência para procurar de gás no retossigmoide.
Provas
Questão presente nas seguintes provas
- Protocolos de Exames de Medicina NuclearBases Físicas e Tecnológicas
- Protocolos de Exames de Medicina NuclearTécnicas Radiográficas em Tomografia Computadorizada
Em relação a tomossíntese digital da mama, é correto afirmar:
Provas
Questão presente nas seguintes provas
A avaliação de cinco fatores técnicos ajudará a determinar se uma radiografia de tórax
está adequada para interpretação ou se algum artefato pode levá-lo ao erro. Assinale a alternativa correta,
que corresponde ao fator que deve ser observado o processo espinhoso deve estar equidistante entre
as extremidades mediais das clavículas.
Provas
Questão presente nas seguintes provas
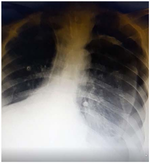
Caso clínico para responder à questão.

Um paciente de 50 anos de idade encontra-se, internado na UTI por conta de choque séptico de foco pulmonar, em ventilação mecânica na modalidade pressão e no modo assisto-controlado. Pela manhã foi submetido a acesso venoso central em veia axilar guiado por ultrassonografia. Ao exame físico, notou-se que o paciente está com hipotensão e taquicardia. A primeira hipótese diagnóstica é pneumotórax e é realizada radiografia com imagem apresentada.
Provas
Questão presente nas seguintes provas
- Anatomia e Fisiologia HumanaPlanos de Delimitação do Corpo e Eixos
- Equipamentos RadiológicosOperação de Equipamentos e Posição Radiológica
Na radiografia panorâmica odontológica, qual é a orientação correta para posicionar o paciente?
Provas
Questão presente nas seguintes provas
- Contaminação RadioativaEfeitos Biológicos das Radiações
- Fundamentos de Dosimetria e Radiobiologia
- Protocolos de Exames de Medicina NuclearBases Físicas e Tecnológicas
- Protocolos de Exames de Medicina NuclearTécnicas Radiográficas em Tomografia Computadorizada
Ao realizar uma incidência oblíqua, qual é o objetivo principal?
Provas
Questão presente nas seguintes provas
Cadernos
Caderno Container