Foram encontradas 15.541 questões.
Provas
Provas
Provas
Provas
( ) Otimização deve ser aplicada para que se tenha a certeza de que a exposição médica diagnóstica ou terapêutica resulte sempre em benefício real para a saúde do indivíduo irradiado e/ou para a sociedade, em comparação com o prejuízo que possa causar.
( ) Justificação estabelece que, justificada determinada prática, ela deve ser realizada com doses individuais tão baixas quanto razoavelmente exequíveis, considerando os fatores econômicos e sociais, além das restrições de dose aplicáveis.
( ) Limites de dose individuais são valores de dose efetiva ou de dose equivalente, estabelecidos para exposição ocupacional e exposição do público, decorrentes de práticas controladas, cujas magnitudes não devem ser excedidas.
( ) Prevenção de acidentes neste princípio zela pela redução da probabilidade de ocorrência de acidentes durante o projeto, a operação de equipamentos e de instalações.
Assinale a sequência correta.
Provas
1. Antissepsia
2. Assepsia
3. Desinfecção
4. Limpeza
( ) É a remoção mecânica e/ou química da sujidade, visando à remoção de resíduos orgânicos, realizada anteriormente à desinfecção e à esterilização.
( ) É o procedimento que visa ao controle da infecção a partir do uso de substâncias biocidas de uso na pele ou mucosas.
( ) É o conjunto de métodos empregados para impedir que determinado local, superfície, equipamento e/ou instrumental seja contaminado.
( ) Processo físico ou químico que elimina as formas vegetativas de microrganismos, exceto os esporulados.
Marque a sequência correta.
Provas
Provas
I.A Tomografia Computadorizada (TC) é preferível à RM quando a resolução de tecidos moles precisa ser alta e detalhada (p. ex., para avaliar alterações da medula espinal ou intracranianas ou para avaliar suspeita de tumores musculoesqueléticos, inflamação, trauma ou alterações articulares).
II.A colangiopancreatografia por ressonância magnética (MRCP) é particularmente útil como um método de imagem não invasivo, altamente preciso de imagem dos sistemas biliares e ductos pancreáticos.
III.A angiorressonância (MRA) é utilizada para examinar as artérias com boa precisão diagnóstica e esse método é menos invasivo do que angiografia convencional. Às vezes, utiliza-se um agente de contraste à base de gadolínio.
IV.Na RM, os meios de contraste podem ser utilizados para destacar as estruturas vasculares e para ajudar a caracterizar inflamações e tumores.
Estão corretas as afirmativas:
Provas
A lesão nodular hepática descrita nesse caso é o(a):
Provas
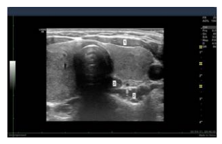
A ultrassonografia cervical, um dos métodos auxiliares mais disponíveis atualmente, não emite radiação ionizante e não tem custos importantes após a aquisição do equipamento. Esse método permite a classificação de diversas patologias e serve como o primeiro método de acesso diagnóstico por meio de punções guiadas e, algumas vezes, intervenções como aspiração, alcoolização ou ablação. Contudo, é um método que requer grande conhecimento anatômico para a correta categorização das estruturas.
Observe a imagem a seguir, na qual se identificam três marcas anatômicas em uma ultrassonografia cervical.

Na imagem acima, os números 1, 2 e 3 correspondem, respectivamente, ao(à):
Provas
Caderno Container