Foram encontradas 30.341 questões.
O procedimento recomendado para focalizar em um aumento de 100 vezes em um microscópio óptico com lente ocular de 10x é
Provas
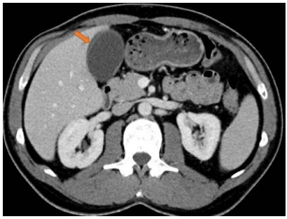
Observe o exame a seguir para responder as questões 39 e 40.

A seta em destaque aponta para
Provas
Observe o exame a seguir para responder as questões 39 e 40.

O método de imagem utilizado evidencia
Provas
Leia o texto a seguir e responda as questões 37 e 38.
Dessa forma, dezenas as pessoas que tiveram contato com o material radioativo começaram a passar mal. Os sintomas eram os mesmos, e todos sofriam de diarreias, vômitos, tonteira etc. A princípio, os médicos e os próprios catadores acreditavam que estavam sentindo os efeitos de uma intoxicação alimentar. |
Disponível em: https://mundoeducacao.uol.com.br/quimica/acidente-com-cesio137-goiania. Acesso em: 05 set. 2022.
A principal função da colimação nas ampolas de raio x é
Provas
Leia o texto a seguir e responda as questões 37 e 38.
Dessa forma, dezenas as pessoas que tiveram contato com o material radioativo começaram a passar mal. Os sintomas eram os mesmos, e todos sofriam de diarreias, vômitos, tonteira etc. A princípio, os médicos e os próprios catadores acreditavam que estavam sentindo os efeitos de uma intoxicação alimentar. |
Disponível em: https://mundoeducacao.uol.com.br/quimica/acidente-com-cesio137-goiania. Acesso em: 05 set. 2022.
Os sintomas descritos no texto foram causados pela exposição à radiação no acidente com Césio-137, em Goiânia, em 1987. Esses sintomas apresentados são efeitos
Provas
É chamado de processamento as etapas sequenciais de utilização para conversão da imagem crua/latente em imagem radiográfica visível. Ele pode ser realizado de forma manual ou automática. A ordem das etapas do processamento manual são, respectivamente,
Provas
O exame no qual o contraste baritado é administrado por via oral, junto com alimentos, para avaliação de aspiração é
Provas
Na avaliação de um nódulo hepático, um dos exames realizados é a tomografia computadorizada do abdome. A sequência das fases de aquisição das imagens deve ser, respectivamente,
Provas
Segundo o Conselho Nacional de Energia Nuclear (CNEN), a dose limite efetiva anual de corpo inteiro para o trabalhador exposto à radiação, calculada pela média aritmética dos últimos 5 (cinco) anos, deve ser inferior a:
Provas
A incidência radiográfica de Mortise é indicada para pesquisa de fraturas e luxações do tornozelo por permitir boa visualização do domus talar e reduz a sobreposição óssea. Nessa incidência, o posicionamento adequado é realizado
Provas
Caderno Container