Foram encontradas 4.037.085 questões.
Com base na Lei Federal nº 8.080/1990 (Lei Orgânica do SUS), assinale a alternativa INCORRETA.
Provas
Paciente de 7 anos de idade vem se queixando para sua mãe de perda urinária constante e disúria. Já teve alguns episódios de infecção urinária. Ao prosseguir a investigação, observou-se duplicidade pielo-ureteral completa, com ureter ectópico no rim direito. Considerando esse quadro, assinale a alternativa correta.
Provas
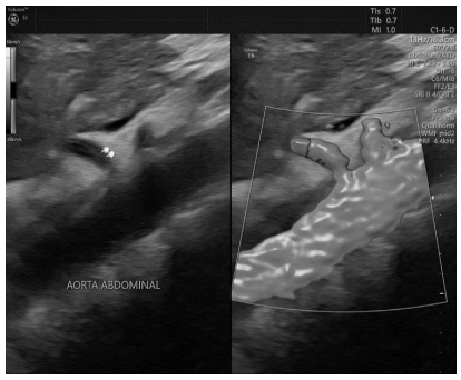
Em relação ao doppler, assinale a alternativa correta.
Provas
Qual estrutura está apontada na imagem a seguir e quais vasos se ramificam diretamente dela em condições habituais?

Provas
Assinale a alternativa que apresenta os músculos que fazem parte do manguito rotador.
Provas
Paciente com artrite reumatoide irá necessitar do uso de imunobiológico. Ao avaliar os exames, ela apresenta um PPD de 5 mm e radiografia de tórax sem alterações. Diante do exposto, assinale a alternativa que apresenta a conduta adequada.
Provas
Paciente em uso de golimumabe para tratamento de espondiloartrite axial apresenta elevação de TGO e TGP em duas vezes o limite superior da normalidade. De acordo com o Protocolo Clínico e as Diretrizes Terapêuticas de espondiloartrite axial, nesse caso, uma conduta adequada é
Provas
Assinale a alternativa que apresenta uma das competências da direção municipal do Sistema de Saúde.
Provas
Para um paciente com diagnóstico recente de dermatomiosite, qual é a recomendação quanto ao início da prática de exercício físico?
Provas
Assinale a alternativa que apresenta um objetivo específico da Rede de Atenção à Saúde das Pessoas com Doenças Crônicas.
Provas
Caderno Container