Magna Concursos

Foram encontradas 130 questões.

2982710 Ano: 2023
Disciplina: Medicina
Banca: FGV
Orgão: Câm. Deputados
Uma variedade de manifestações cardiovasculares pode ser observada em pacientes com doenças reumatológicas sistêmicas. Embora o acometimento coronariano possa ocorrer por meio de diversos mecanismos diferentes, a aterosclerose prematura representa um processo fisiopatológico frequente.
Entre as doenças abaixo, assinale a que está mais associada ao desenvolvimento prematuro de doença coronariana aterosclerótica, independentemente dos fatores de risco aterogênicos tradicionais.
 

Provas

Questão presente nas seguintes provas
2982709 Ano: 2023
Disciplina: Medicina
Banca: FGV
Orgão: Câm. Deputados
Homem de 68 anos portador de marca-passo definitivo tipo DDD há 6 anos devido à síncope e ao bloqueio atrioventricular total intermitente, sem outras comorbidades. Será submetido à extração dentária única e relata alergia à penicilina.
Considerando o perfil de risco do paciente, assinale a opção que apresenta a conduta mais adequada referente à profilaxia de endocardite infecciosa.
 

Provas

Questão presente nas seguintes provas
2982708 Ano: 2023
Disciplina: Medicina
Banca: FGV
Orgão: Câm. Deputados
Em relação às miocardiopatias associadas a substâncias tóxicas, assinale a opção correta.
 

Provas

Questão presente nas seguintes provas
2982707 Ano: 2023
Disciplina: Medicina
Banca: FGV
Orgão: Câm. Deputados
As opções a seguir apresentam alterações ecocardiográficas que podem ser encontradas na presença de tamponamento cardíaco, à exceção de uma. Assinale-a.
 

Provas

Questão presente nas seguintes provas
2982706 Ano: 2023
Disciplina: Medicina
Banca: FGV
Orgão: Câm. Deputados
Atenção: o caso seguir refere-se a próxima questão.

Homem de 65 anos, com hipertensão arterial, diabetes insulinodependente, dislipidemia e tabagista (25 maços/ano). Portador também de doença arterial periférica com claudicação intermitente de membros inferiores. Refere angina progressiva nos últimos meses, em uso regular de anlodipina, enalapril, atenolol, aspirina, atorvastatina, mononitrato de isossorbida e insulina NPH com aderência adequada de todas as medicações.

Ao exame na admissão: eupneico em ar ambiente, corado, frequência cardíaca: 62 bpm; pressão arterial: 122x76 mmHg, pulmões sem alterações; ritmo cardíaco regular, 3 tempos (B4), bulhas normofonéticas, sem sopros. Presença de sopro na carótida direita. Abdome flácido, com sopro audível no epigastro, indolor, sem visceromegalias. Membros inferiores sem edema e pulso pedioso impalpável.

Devido ao quadro cardiológico foi submetido à coronariografia diagnóstica, que mostrou doença coronariana obstrutiva multiarterial. Cerca de 24 horas após o exame, o paciente evoluiu com desconforto abdominal, febre (38ºC), amaurose fugaz no olho direito, além de alterações cutâneas sugestivas de livedo reticular nos membros inferiores e cianose associada à dor em múltiplos pododáctilos bilateralmente. Laboratório inicial revelou leucocitose com eosinofilia, elevação da creatinina e de marcadores inflamatórios. Eletrocardiograma sem alterações agudas.
Assinale a alteração retiniana visualizada na fundoscopia que poderia corroborar o diagnóstico anterior.
 

Provas

Questão presente nas seguintes provas
2982705 Ano: 2023
Disciplina: Medicina
Banca: FGV
Orgão: Câm. Deputados
Atenção: o caso seguir refere-se a próxima questão.

Homem de 65 anos, com hipertensão arterial, diabetes insulinodependente, dislipidemia e tabagista (25 maços/ano). Portador também de doença arterial periférica com claudicação intermitente de membros inferiores. Refere angina progressiva nos últimos meses, em uso regular de anlodipina, enalapril, atenolol, aspirina, atorvastatina, mononitrato de isossorbida e insulina NPH com aderência adequada de todas as medicações.

Ao exame na admissão: eupneico em ar ambiente, corado, frequência cardíaca: 62 bpm; pressão arterial: 122x76 mmHg, pulmões sem alterações; ritmo cardíaco regular, 3 tempos (B4), bulhas normofonéticas, sem sopros. Presença de sopro na carótida direita. Abdome flácido, com sopro audível no epigastro, indolor, sem visceromegalias. Membros inferiores sem edema e pulso pedioso impalpável.

Devido ao quadro cardiológico foi submetido à coronariografia diagnóstica, que mostrou doença coronariana obstrutiva multiarterial. Cerca de 24 horas após o exame, o paciente evoluiu com desconforto abdominal, febre (38ºC), amaurose fugaz no olho direito, além de alterações cutâneas sugestivas de livedo reticular nos membros inferiores e cianose associada à dor em múltiplos pododáctilos bilateralmente. Laboratório inicial revelou leucocitose com eosinofilia, elevação da creatinina e de marcadores inflamatórios. Eletrocardiograma sem alterações agudas.
Considerando o quadro descrito, assinale a opção que apresenta o diagnóstico mais provável.
 

Provas

Questão presente nas seguintes provas
2982704 Ano: 2023
Disciplina: Medicina
Banca: FGV
Orgão: Câm. Deputados
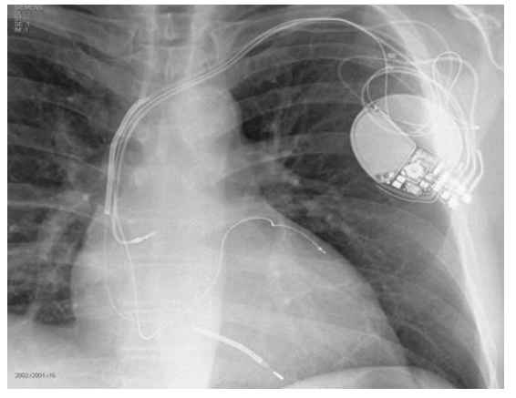
No contexto de pacientes com insuficiência cardíaca, assinale o caso descrito a seguir que teria maior benefício de receber o dispositivo observado na radiografia a seguir.
Enunciado 2982704-1

Abreviaturas: BRD: Bloqueio de ramo direito / BRE: Bloqueio de ramo esquerdo / FE: Fração de ejeção / IC: Insuficiência cardíaca / NYHA: New York Heart Association.
 

Provas

Questão presente nas seguintes provas
2982703 Ano: 2023
Disciplina: Medicina
Banca: FGV
Orgão: Câm. Deputados
Em relação às responsabilidades dos médicos do trabalho e demais médicos que atendem o trabalhador, conforme a Resolução nº 2.323/2022 do Conselho Federal de Medicina, avalie as afirmativas a seguir.
I. Fornecer atestados e pareceres para o trabalhador sempre que necessário, considerando que o repouso, o acesso a terapias ou o afastamento da exposição nociva faz parte do tratamento.
II. Quando requerido pelo paciente, deve o médico pôr a sua disposição ou a de seu representante legal tudo o que se refira ao seu atendimento, em especial cópia dos exames e do prontuário médico.
III. O médico do trabalho, ao ser solicitado pelo médico assistente do trabalhador, deverá produzir relatório com descrição dos riscos ocupacionais e da organização do trabalho e entregá-lo ao trabalhador ou ao seu responsável legal mediante recibo de entrega.
Está correto o que se afirma em
 

Provas

Questão presente nas seguintes provas
2982702 Ano: 2023
Disciplina: Medicina
Banca: FGV
Orgão: Câm. Deputados
Entre as potenciais etiologias de pericardite aguda, assinale a situação em que não haveria benefício do uso da colchicina para o tratamento sintomático e/ou prevenção de recorrências.
 

Provas

Questão presente nas seguintes provas
2982701 Ano: 2023
Disciplina: Medicina
Banca: FGV
Orgão: Câm. Deputados
Atenção: o caso a seguir refere-se a próxima questão.

Mulher de 43 anos, com hipertensão diagnosticada há 5 anos, em uso regular de anlodipina, enalapril, atenolol e hidroclorotiazida, com aderência adequada de todas as medicações. Está realizando atividade física regular, com dieta adequada e IMC de 28 kg/m2 . Todos os anti-hipertensivos estão em doses máximas toleradas e nega uso de outras medicações. Refere diagnóstico recente de síndrome de apneia do sono, adequadamente controlada com um gerador de pressão positiva contínua (CPAP) noturno. Mãe com diagnóstico de hipertensão aos 38 anos.

Ao exame: eupneica em ar ambiente, corada, frequência cardíaca: 68bpm; pressão arterial: 168x96mmHg no membro superior direito e 166x92mmHg no membro superior esquerdo. Murmúrio universalmente audível sem ruídos adventícios; Ritmo cardíaco regular, 3 tempos (B4), bulhas normofonéticas, sem sopros ou turgência jugular. Abdome flácido, indolor, sem visceromegalias ou sopros. Membros inferiores sem edema. Laboratório em jejum: glicemia 98mg/dL; creatinina 1,0mg/dL; Na+ 140mEq/L; K+ 3,0mEq/L, aldosterona 26ng/dL, atividade de renina plasmática 0,8ng/mL/h. Eletrocardiograma: Bradicardia sinusal e sinais de sobrecarga ventricular esquerda. Tomografia de abdome sem alterações
Considerando que a paciente do caso não é candidata à cirurgia, por recusar o procedimento, assinale a afirmativa que apresenta a melhor opção terapêutica para o manejo da hipertensão.
 

Provas

Questão presente nas seguintes provas