Magna Concursos

Foram encontradas 130 questões.

O Deputado Federal João foi escolhido como Segundo Secretário da Mesa da Câmara dos Deputados. Ao analisar suas competências e prerrogativas, de modo a identificar a amplitude de sua atuação, concluiu corretamente, à luz do Regimento Interno da Câmara dos Deputados, que:
 

Provas

Questão presente nas seguintes provas
Ana, servidora recém-empossada na Câmara dos Deputados, recebeu a incumbência, de seu superior hierárquico, de encaminhar determinado expediente ao denominado “Líder da Minoria”.
Ao consultar o Regimento Interno da Câmara dos Deputados, Ana concluiu corretamente que
 

Provas

Questão presente nas seguintes provas
2982758 Ano: 2023
Disciplina: Medicina
Banca: FGV
Orgão: Câm. Deputados
Atenção: o caso a seguir refere-se a próxima questão.

Homem de 32 anos, natural do interior da Bahia, trabalhador rural, relata cansaço progressivo há 6 meses, atualmente aos moderados esforços, como subir dois lances de escadas. Apresenta também crises de palpitação autolimitadas, com sensação de desmaio, porém sem episódios de síncope. Nega dor torácica, tabagismo, etilismo ou qualquer outra comorbidade. Desde a infância tem o hábito de tomar banhos de rio, e residiu em casa de pau a pique até a adolescência. Mãe falecida de cardiopatia aos 58 anos, um irmão falecido subitamente aos 36 anos.

Exame físico: corado, anictérico, acianótico, eupneico em repouso. Frequência cardíaca: 70 bpm, Pressão arterial: 96x58mmHg, murmúrio vesicular reduzido na base direita com crepitação em ambos os 1/3 inferiores, turgência jugular patológica, ictus globoso palpável no 5º espaço intercostal esquerdo, na linha axilar anterior, ritmo cardíaco regular em 3T (B3), bulhas hipofonéticas, sopro sistólico 3+/6+ em foco mitral com irradiação axilar, aumento do volume abdominal com hepatimetria 14 cm, membros inferiores com edema bilateral até joelhos 2+/4, com cacifo. Pulsos pediosos palpáveis. Ecocardiograma mostrou disfunção sistólica moderada do ventrículo esquerdo (fração de ejeção 38%) com presença de aneurisma e trombo apicais, e disfunção sistólica leve do ventrículo direito. Eletrocardiograma de admissão está abaixo.

Enunciado 2982758-1
Em relação ao diagnóstico subjacente mais provável, assinale a opção que apresenta o gênero e a espécie do vetor associado à transmissão do agente etiológico responsável pela doença.
 

Provas

Questão presente nas seguintes provas
2982757 Ano: 2023
Disciplina: Medicina
Banca: FGV
Orgão: Câm. Deputados
Atenção: o caso a seguir refere-se a próxima questão.

Homem de 62 anos, refere há 4 meses cansaço aos esforços, edema de membros inferiores e dispneia paroxística noturna. Nega dor torácica, hipertensão arterial, diabetes, tabagismo ou história familiar de cardiopatia. Relata também perda ponderal de 8 kg no período, parestesia nos membros inferiores e tonteira frequente, principalmente ao levantar.

Ao exame: eupneico em ar ambiente, hipocorado, acianótico, afebril. Frequência cardíaca: 80 bpm; pressão arterial: 96x52 mmHg; ausculta respiratória com crepitação bibasal, ritmo cardíaco regular, em 3 tempos (B4), bulhas normofonéticas, sem sopros. Turgência jugular patológica a 90º. Abdome com fígado a 10 cm do rebordo costal direito, doloroso (hepatimetria 16 cm). Membros inferiores com edema bilateral com cacifo 2+/4+ e hipoestesia ao exame neurológico. Fundoscopia sem alterações. Seu eletrocardiograma está abaixo.

Enunciado 2982757-1

Após a investigação hematológica negativa, o paciente realizou ecocardiograma transtorácico que mostrou aumento significativo da espessura das paredes do ventrículo esquerdo (13mm), disfunção diastólica grau II, aspecto cintilante do miocárdio e redução do strain global longitudinal do ventrículo esquerdo poupando o ápice.
Considerando este resultado e de acordo com o algoritmo de investigação não-invasiva da doença, o exame de imagem mais indicado para orientar o diagnóstico do subtipo etiológico seria a(o)
 

Provas

Questão presente nas seguintes provas
2982756 Ano: 2023
Disciplina: Medicina
Banca: FGV
Orgão: Câm. Deputados
Atenção: o caso a seguir refere-se a próxima questão.

Mulher de 68 anos, com hipertensão e dislipidemia, foi atendida na emergência devido à dor torácica com 90 minutos de evolução. O eletrocardiograma de admissão foi compatível com uma síndrome coronariana aguda com supradesnível de ST de parede inferior.

Encaminhada imediatamente à hemodinâmica e submetida à angioplastia com implante de stent no segmento proximal da coronária direita com sucesso. Houve resolução da dor e do supradesnível do segmento ST, e não havia lesões residuais. Mantida dupla antiagregação plaquetária, ao ser internada na unidade cardiointensiva seu eletrocardiograma revelou o traçado abaixo. No momento do registro a paciente estava assintomática, com frequência cardíaca 70 bpm, pressão arterial 124x66 mmHg, e sem sinais de congestão pulmonar.

Enunciado 2982756-1

Assinale a opção que indica a arritmia que está presente no traçado de admissão na unidade cardiointensiva.
 

Provas

Questão presente nas seguintes provas
2982755 Ano: 2023
Disciplina: Medicina
Banca: FGV
Orgão: Câm. Deputados
Em relação à comunicação interatrial, no contexto das cardiopatias congênitas identificadas na vida adulta, assinale a afirmativa incorreta.
 

Provas

Questão presente nas seguintes provas
2982754 Ano: 2023
Disciplina: Medicina
Banca: FGV
Orgão: Câm. Deputados
Assinale a opção que não apresenta uma adaptação cardiovascular fisiológica, possivelmente observada durante a gravidez.
 

Provas

Questão presente nas seguintes provas
2982753 Ano: 2023
Disciplina: Medicina
Banca: FGV
Orgão: Câm. Deputados
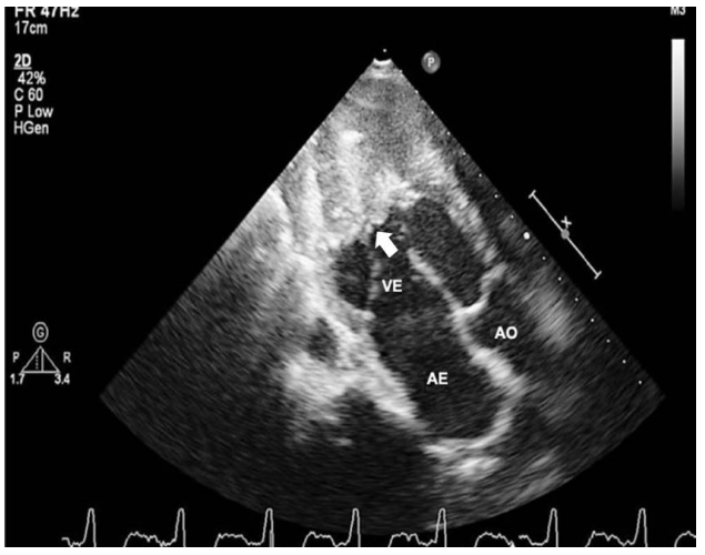
Analise a imagem a seguir.
Enunciado 2982753-1

(VE: ventrículo esquerdo; AE: átrio esquerdo; AO: aorta)

Entre as possíveis etiologias de miocardiopatias restritivas apresentadas a seguir, a mais associada ao padrão de obliteração apical fibrótica e/ou trombótica de um ou ambos os ventrículos, conforme visualizado no ecocardiograma acima(seta), é a
 

Provas

Questão presente nas seguintes provas
2982752 Ano: 2023
Disciplina: Medicina
Banca: FGV
Orgão: Câm. Deputados
Em relação ao exame físico cardiológico, assinale a condição que pode se manifestar com um sopro sistólico que reduz de intensidade com o agachamento e aumenta de intensidade com as manobras de Valsalva e contração isométrica (handgrip).
 

Provas

Questão presente nas seguintes provas
2982751 Ano: 2023
Disciplina: Medicina
Banca: FGV
Orgão: Câm. Deputados
As opções a seguir podem reduzir a qualidade da imagem e, assim, comprometer o rendimento da angiotomografia coronariana para diagnosticar obstruções intraluminais, à exceção de uma. Assinale-a.
 

Provas

Questão presente nas seguintes provas