Foram encontradas 120 questões.
Provas
Provas
Provas
A respeito da organização e da defesa do Estado e das instituições democráticas, julgue o item subseqüente.
O estado de defesa e o estado de sítio constituem duas medidas excepcionais para a restauração da ordem pública em momentos de anormalidade. Em ambos os casos, o controle político pelo Congresso Nacional sobre a decretação dessas medidas é prévio, visto que há necessidade de autorização para que o presidente da República as decrete.
Provas
Disciplina: Atualidades e Conhecimentos Gerais
Banca: CESPE / CEBRASPE
Orgão: CBM-DF
Provas
Julgue o item abaixo, relativo à administração pública e aos militares das Forças Armadas, nos estados e no DF.
Suponha-se que determinada lei distrital tenha concedido reajustes de vencimentos aos integrantes do Corpo de Bombeiros Militar do Distrito Federal (CBMDF), sob o argumento de que, além das atribuições definidas em lei, incumbe à corporação a execução de atividades de defesa civil. Nessa situação hipotética, é correto afirmar que a lei distrital invadiu competência privativa da União, à qual compete organizar e manter as polícias civil e militar do DF, bem como o CBMDF.
Provas
Provas
Disciplina: Atualidades e Conhecimentos Gerais
Banca: CESPE / CEBRASPE
Orgão: CBM-DF
Provas
Provas

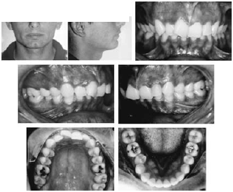
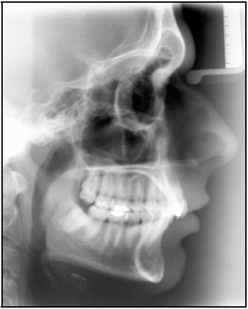
- discrepância de modelo do arco inferior: -4,00 mm
- discrepância de modelo do arco superior: -9,00 mm

| grandezas | norma | paciente |
| SNA | 82º | 80º |
| SNB | 80º | 74º |
| ANB | 2º | 6º |
| WITS | -1 mm | +8 mm |
| SNGoGn | 32º | 24º |
| FMA | 25º | 22º |
| ENAENP.GoMe | 25º | 14º |
| 1.NA | 22º | 19º |
| 1-NA | 4 mm | 2 mm |
| 1.NB | 25º | 27º |
| 1-NB | 4 mm | 4 mm |
| Pog-NB | 2,5 mm | 3 mm |
| FMIA | 68º | 56º |
| IMPA | 87º | 107º |
| H.NB | 12º | 13º |
| H-Nariz | 9-11 mm | 6 mm |
| ângulo nasolabial | 110º | 127º |
| S-Go × 100% / N-Me | 62% a 65% | 71% |
Provas
Caderno Container